验证数据展示
产品信息
86877-1-PBS targets GLYR1 as part of a matched antibody pair:
MP02739-1: 86877-2-PBS capture and 86877-1-PBS detection (validated in Cytometric bead array)
Unconjugated rabbit recombinant monoclonal antibody in PBS only (BSA and azide free) storage buffer at a concentration of 1 mg/mL, ready for conjugation. Created using Proteintech’s proprietary in-house recombinant technology. Recombinant production enables unrivalled batch-to-batch consistency, easy scale-up, and future security of supply.
This conjugation ready format makes antibodies ideal for use in many applications including: ELISAs, multiplex assays requiring matched pairs, mass cytometry, and multiplex imaging applications.Antibody use should be optimized by the end user for each application and assay.
| 经测试应用 | WB, IF/ICC, Cytometric bead array, Indirect ELISA Application Description |
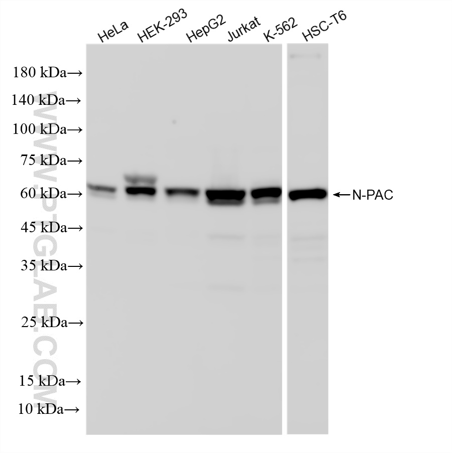
| 经测试反应性 | human, rat |
| 免疫原 |
CatNo: Ag6637 Product name: Recombinant human N-PAC protein Source: e coli.-derived, PGEX-4T Tag: GST Domain: 133-484 aa of BC064940 Sequence: WQPTASEPVKDADPHFHHFLLSQTEKPAVCYQAITKKLKICEEETGSTSIQAADSTAVNGSITPTDKKIGFLGLGLMGSGIVSNLLKMGHTVTVWNRTAEKCDLFIQEGARLGRTPAEVVSTCDITFACVSDPKAAKDLVLGPSGVLQGIRPGKCYVDMSTVDADTVTELAQVIVSRGGRFLEAPVSGNQQLSNDGMLVILAAGDRGLYEDCSSCFQAMGKTSFFLGEVGNAAKMMLIVNMVQGSFMATIAEGLTLAQVTGQSQQTLLDILNQGQLASIFLDQKCQNILQGNFKPDFYLKYIQKDLRLAIALGDAVNHPTPMAAAANEVYKRAKALDQSDNDMSAVYRAYIH 种属同源性预测 |
| 宿主/亚型 | Rabbit / IgG |
| 抗体类别 | Recombinant |
| 产品类型 | Antibody |
| 全称 | cytokine-like nuclear factor n-pac |
| 别名 | 3-hydroxyisobutyrate dehydrogenase-like protein, Cytokine-like nuclear factor N-PAC, Glyoxylate reductase 1 homolog, HIBDL, hNDF |
| 计算分子量 | 61 kDa |
| 观测分子量 | 60 kDa |
| GenBank蛋白编号 | BC064940 |
| 基因名称 | N-PAC |
| Gene ID (NCBI) | 84656 |
| 偶联类型 | Unconjugated |
| 形式 | Liquid |
| 纯化方式 | Protein A purification |
| UNIPROT ID | Q49A26 |
| 储存缓冲液 | PBS only, pH 7.3. |
| 储存条件 | Store at -80°C. The product is shipped with ice packs. Upon receipt, store it immediately at -80°C |
背景介绍
GlyR1 (glyoxylate/successful semi-Aldehyde Reductase 1) is a plant-specific NADPH- dependent reductase, which mainly locates in cytoplasm. It was originally regarded as "glyoxal/succinate semialdehyde reductase", which can reduce glyoxylate, an intermediate product of photorespiration, to glycolate, and also reduce succinate semialdehyde produced by GABA metabolism to γ-hydroxybutyric acid, thus eliminating active aldehydes and alleviating oxidative damage caused by abiotic stress. In invasive breast cancer cells, GLYR1 was detected to "flip" from the nucleus to the cell membrane (ecto-GLYR1) and became a new tumor-specific antigen. Humanized antibody and CAR-NK/CAR-T systems have been established for the membrane epitope, and will soon enter the clinical safety assessment. This means that GLYR1 itself can also be used as a "membrane target antigen" for precise tumor treatment.




