Immunohistochemical analysis of paraffin-embedded rat brain tissue slide using 80001-1-RR (TDP43 recombinant antibody) at dilution of 1:4000 (under 10x lens). Heat mediated antigen retrieval with Tris-EDTA buffer (pH 9.0). Multi-rAb™ Polymer HRP-Goat anti-Rabbit Recombinant secondary antibody RGAR011 was used for detection.
Immunohistochemical analysis of paraffin-embedded mouse colon tissue slide using 80008-1-RR (smooth muscle actin recombinant antibody) at dilution of 1:10000 (under 10x lens). Heat mediated antigen retrieval with Tris-EDTA buffer (pH 9.0). Multi-rAb™ Polymer HRP-Goat anti-rabbit Recombinant secondary antibody RGAR011 was used for detection.
Immunohistochemical analysis of paraffin-embedded rat colon tissue slide using 80008-1-RR (smooth muscle actin recombinant antibody) at dilution of 1:10000 (under 10x lens). Heat mediated antigen retrieval with Tris-EDTA buffer (pH 9.0). Multi-rAb™ Polymer HRP-Goat anti-rabbit Recombinant secondary antibody RGAR011 was used for detection.
Immunohistochemical analysis of paraffin-embedded mouse skeletal muscle tissue slide using 12715-1-AP (Dystrophin polyclonal antibody) at dilution of 1:10000 (under 10x lens). Heat mediated antigen retrieval with Tris-EDTA buffer (pH 9.0). Multi-rAb™ Polymer HRP-Goat anti-rabbit Recombinant secondary antibody RGAR011 was used for detection.
Immunohistochemical analysis of paraffin-embedded mouse colon tissue slide using 20874-1-AP (E-cadherin polyclonal antibody) at dilution of 1:5000 (under 10x lens). Heat mediated antigen retrieval with Tris-EDTA buffer (pH 9.0). Multi-rAb™ Polymer HRP-Goat anti-rabbit Recombinant secondary antibody RGAR011 was used for detection.
Immunohistochemical analysis of paraffin-embedded mouse skin tissue slide using 20874-1-AP (E-cadherin polyclonal antibody) at dilution of 1:5000 (under 10x lens). Heat mediated antigen retrieval with Tris-EDTA buffer (pH 9.0). Multi-rAb™ Polymer HRP-Goat anti-rabbit Recombinant secondary antibody RGAR011 was used for detection.
Immunohistochemical analysis of paraffin-embedded human liver tissue slide using 80165-1-RR (TMEM173/STING antibody) at dilution of 1:2000. Heat mediated antigen retrieval with Tris-EDTA buffer (pH 9.0). Multi-rAb™ Polymer HRP-Goat anti-rabbit Recombinant secondary antibody RGAR011 was used for detection.
Immunohistochemical analysis of paraffin-embedded human tonsillitis tissue slide using commercial IVD grade KI67 antibody. Heat mediated antigen retrieval with Tris-EDTA buffer (pH 9.0). Multi-rAb™ Polymer HRP-Goat anti-rabbit Recombinant secondary antibody RGAR011 was used for detection.
Immunohistochemical analysis of paraffin-embedded human colon cancer tissue slide using other vendor's NF-kappa B p65 rabbit recombinant antibody. Heat mediated antigen retrieval with Tris-EDTA buffer (pH 9.0). Multi-rAb™ Polymer HRP-Goat anti-rabbit Recombinant secondary antibody RGAR011 was used for detection.
Immunohistochemical analysis of paraffin-embedded human lymphoma tissue slide using other vendor's BCL2 rabbit recombinant antibody. Heat mediated antigen retrieval with Tris-EDTA buffer (pH 9.0). Multi-rAb™ Polymer HRP-Goat anti-rabbit Recombinant secondary antibody RGAR011 was used for detection.
Immunohistochemical analysis of paraffin-embedded rat ovary tissue slide using 12255-1-AP (RCAS1 antibody) at dilution of 1:1000 (under 10x lens). Heat mediated antigen retrieval with Tris-EDTA buffer (pH 9.0). Multi-rAb™ Polymer HRP-Goat anti-rabbit Recombinant secondary antibody RGAR011 was used for detection. The staining was performed on Celnovte's CNT360-M1 autostainer.
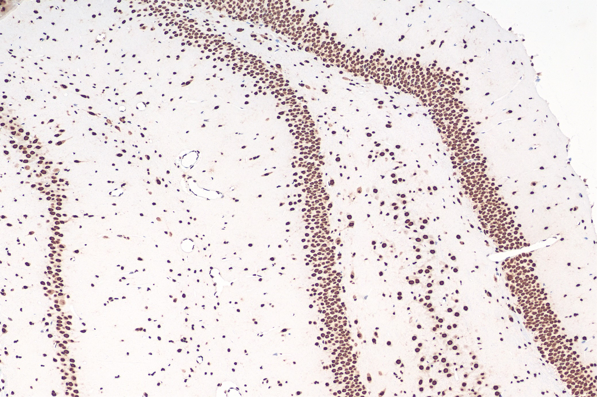
Immunohistochemical analysis of paraffin-embedded mouse cerebellum tissue slide using 12255-1-AP (RCAS1 antibody) at dilution of 1:1000 (under 10x lens). Heat mediated antigen retrieval with Tris-EDTA buffer (pH 9.0). Multi-rAb™ Polymer HRP-Goat anti-rabbit Recombinant secondary antibody RGAR011 was used for detection. The staining was performed on Celnovte's CNT360-M1 autostainer.
Immunohistochemical analysis of paraffin-embedded rat skeletal muscle tissue slide using 12715-1-AP (Dystrophin antibody) at dilution of 1:10000 (under 10x lens). Heat mediated antigen retrieval with Tris-EDTA buffer (pH 9.0). Multi-rAb™ Polymer HRP-Goat anti-rabbit Recombinant secondary antibody RGAR011 was used for detection. The staining was performed on Celnovte's CNT360-M1 autostainer. Multi-rAb™ Polymer HRP-Goat anti-rabbit Recombinant secondary antibody RGAR011 was used for detection. The staining was performed on Celnovte's CNT360-M1 autostainer.
Immunohistochemical analysis of paraffin-embedded mouse tongue tissue slide using 12715-1-AP (Dystrophin antibody) at dilution of 1:10000 (under 10x lens). Heat mediated antigen retrieval with Tris-EDTA buffer (pH 9.0). Multi-rAb™ Polymer HRP-Goat anti-rabbit Recombinant secondary antibody RGAR011 was used for detection. The staining was performed on Celnovte's CNT360-M1 autostainer.
Immunohistochemical analysis of paraffin-embedded mouse skeletal muscle tissue slide using 12715-1-AP (Dystrophin antibody) at dilution of 1:10000 (under 10x lens). Heat mediated antigen retrieval with Tris-EDTA buffer (pH 9.0). Multi-rAb™ Polymer HRP-Goat anti-rabbit Recombinant secondary antibody RGAR011 was used for detection. The staining was performed on Celnovte's CNT360-M1 autostainer.
Immunohistochemical analysis of paraffin-embedded mouse skin tissue slide using 20874-1-AP (E-cadherin antibody) at dilution of 1:5000 (under 10x lens). Heat mediated antigen retrieval with Tris-EDTA buffer (pH 9.0). Multi-rAb™ Polymer HRP-Goat anti-rabbit Recombinant secondary antibody RGAR011 was used for detection. The staining was performed on Celnovte's CNT360-M1 autostainer.
Immunohistochemical analysis of paraffin-embedded human placenta tissue slide using 20874-1-AP (E-cadherin antibody) at dilution of 1:5000 (under 10x lens). Heat mediated antigen retrieval with Tris-EDTA buffer (pH 9.0). Multi-rAb™ Polymer HRP-Goat anti-rabbit Recombinant secondary antibody RGAR011 was used for detection. The staining was performed on Celnovte's CNT360-M1 autostainer.
Immunohistochemical analysis of paraffin-embedded rat brain tissue slide using 80001-1-RR (TDP-43 antibody) at dilution of 1:4000 (under 10x lens). Heat mediated antigen retrieval with Tris-EDTA buffer (pH 9.0). Multi-rAb™ Polymer HRP-Goat anti-rabbit Recombinant secondary antibody RGAR011 was used for detection. The staining was performed on Celnovte's CNT360-M1 autostainer.
Immunohistochemical analysis of paraffin-embedded mouse brain tissue slide using 80001-1-RR (TDP-43 antibody) at dilution of 1:4000 (under 10x lens). Heat mediated antigen retrieval with Tris-EDTA buffer (pH 9.0). Multi-rAb™ Polymer HRP-Goat anti-rabbit Recombinant secondary antibody RGAR011 was used for detection. The staining was performed on Celnovte's CNT360-M1 autostainer.
Immunohistochemical analysis of paraffin-embedded human placenta tissue slide using 80001-1-RR (TDP-43 antibody) at dilution of 1:4000 (under 10x lens). Heat mediated antigen retrieval with Tris-EDTA buffer (pH 9.0). Multi-rAb™ Polymer HRP-Goat anti-rabbit Recombinant secondary antibody RGAR011 was used for detection. The staining was performed on Celnovte's CNT360-M1 autostainer.
Immunohistochemical analysis of paraffin-embedded mouse spleen tissue slide using 81668-1-RR (F4/80 antibody) at dilution of 1:5000 (under 10x lens). Heat mediated antigen retrieval with Tris-EDTA buffer (pH 9.0). Multi-rAb™ Polymer HRP-Goat anti-rabbit Recombinant secondary antibody RGAR011 was used for detection. The staining was performed on Celnovte's CNT360-M1 autostainer.
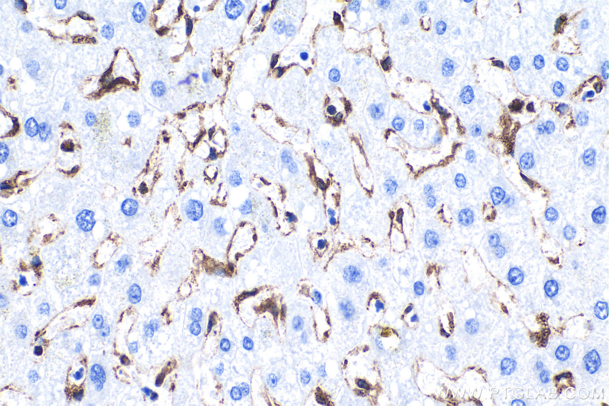
Immunohistochemical analysis of paraffin-embedded mouse liver tissue slide using 81668-1-RR (F4/80 antibody) at dilution of 1:5000 (under 10x lens). Heat mediated antigen retrieval with Tris-EDTA buffer (pH 9.0). Multi-rAb™ Polymer HRP-Goat anti-rabbit Recombinant secondary antibody RGAR011 was used for detection. The staining was performed on Celnovte's CNT360-M1 autostainer.
Immunohistochemical analysis of paraffin-embedded human breast cancer tissue slide using other vendor's ER rabbit recombinant antibody. Heat mediated antigen retrieval with Tris-EDTA buffer (pH 9.0). Multi-rAb™ Polymer HRP-Goat anti-rabbit Recombinant secondary antibody RGAR011 was used for detection.
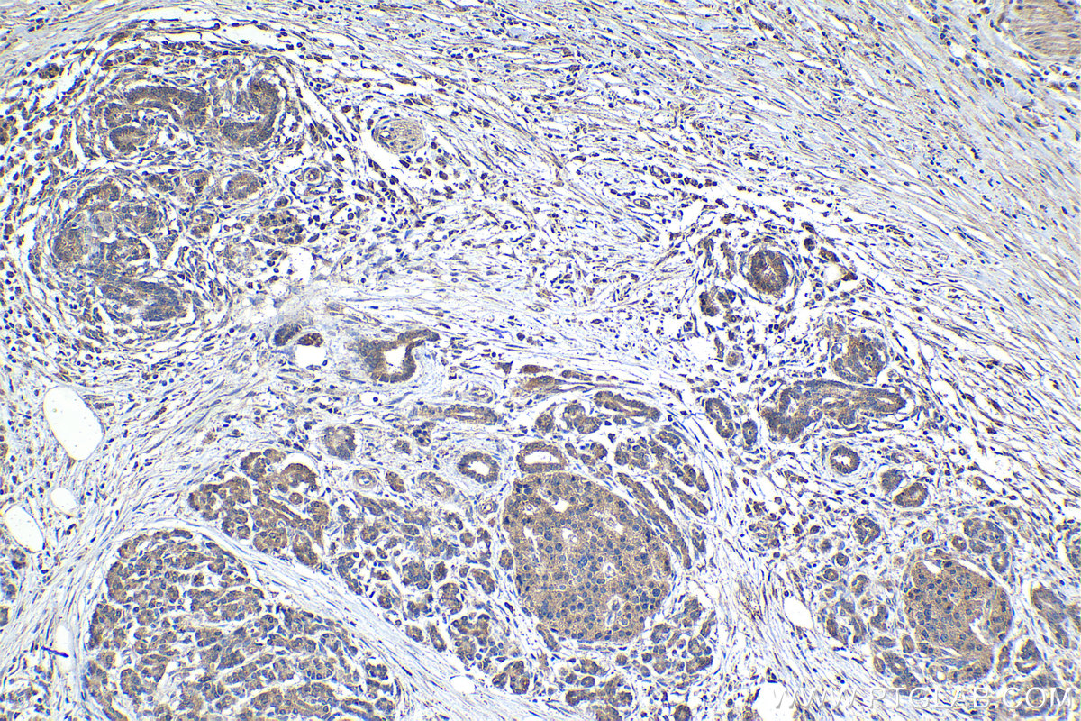
Immunohistochemical analysis of paraffin-embedded human pancreas cancer tissue slide using 21146-1-AP (LARS antibody) at dilution of 1:1000 (under 10x lens). Heat mediated antigen retrieval with Tris-EDTA buffer (pH 9.0). Multi-rAb™ Polymer HRP-Goat anti-rabbit Recombinant secondary antibody RGAR011 was used for detection.
Immunohistochemical analysis of paraffin-embedded human pancreas cancer tissue slide using 21146-1-AP (LARS antibody) at dilution of 1:1000 (under 40x lens). Heat mediated antigen retrieval with Tris-EDTA buffer (pH 9.0). Multi-rAb™ Polymer HRP-Goat anti-rabbit Recombinant secondary antibody RGAR011 was used for detection.