验证数据展示
经过测试的应用
| Positive WB detected in | mouse embryo tissue |
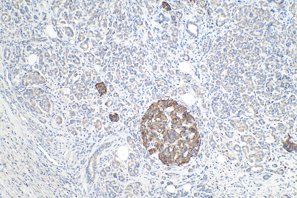
| Positive IHC detected in | human pancreas cancer tissue, human stomach cancer tissue, human lung cancer tissue Note: suggested antigen retrieval with TE buffer pH 9.0; (*) Alternatively, antigen retrieval may be performed with citrate buffer pH 6.0 |
推荐稀释比
| 应用 | 推荐稀释比 |
|---|---|
| Western Blot (WB) | WB : 1:200-1:1000 |
| Immunohistochemistry (IHC) | IHC : 1:250-1:1000 |
| It is recommended that this reagent should be titrated in each testing system to obtain optimal results. | |
| Sample-dependent, Check data in validation data gallery. | |
发表文章中的应用
| WB | See 3 publications below |
| IHC | See 1 publications below |
产品信息
28546-1-AP targets Midkine in WB, IHC, ELISA applications and shows reactivity with Human, mouse samples.
| 经测试应用 | WB, IHC, ELISA Application Description |
| 文献引用应用 | WB, IHC |
| 经测试反应性 | Human, mouse |
| 文献引用反应性 | human, mouse |
| 免疫原 |
CatNo: Ag29185 Product name: Recombinant human MDK protein Source: e coli.-derived, PGEX-4T Tag: GST Domain: 79-143 aa of BC011704 Sequence: EFGADCKYKFENWGACDGGTGTKVRQGTLKKARYNAQCQETIRVTKPCTPKTKAKAKAKKGKGKD 种属同源性预测 |
| 宿主/亚型 | Rabbit / IgG |
| 抗体类别 | Polyclonal |
| 产品类型 | Antibody |
| 全称 | midkine (neurite growth-promoting factor 2) |
| 别名 | ARAP, FLJ27379, MDK, Midkine, MK, MK1, NEGF2 |
| 计算分子量 | 16 kDa |
| 观测分子量 | 16 kDa |
| GenBank蛋白编号 | BC011704 |
| 基因名称 | Midkine |
| Gene ID (NCBI) | 4192 |
| RRID | AB_2881168 |
| 偶联类型 | Unconjugated |
| 形式 | Liquid |
| 纯化方式 | Antigen affinity purification |
| UNIPROT ID | P21741 |
| 储存缓冲液 | PBS with 0.02% sodium azide and 50% glycerol, pH 7.3. |
| 储存条件 | Store at -20°C. Stable for one year after shipment. Aliquoting is unnecessary for -20oC storage. |
实验方案
| Product Specific Protocols | |
|---|---|
| IHC protocol for Midkine antibody 28546-1-AP | Download protocol |
| WB protocol for Midkine antibody 28546-1-AP | Download protocol |
| Standard Protocols | |
|---|---|
| Click here to view our Standard Protocols |
发表文章
| Species | Application | Title |
|---|---|---|
EBioMedicine Spatial and single-cell colocalisation analysis reveals MDK-mediated immunosuppressive environment with regulatory T cells in colorectal carcinogenesis | ||
Mol Ther Oncol Comprehensive machine learning-based integration develops a novel prognostic model for glioblastoma | ||
ACS Nano Precise Photodynamic Therapy by Midkine Nanobody-Engineered Nanoparticles Remodels the Microenvironment of Pancreatic Ductal Adenocarcinoma and Potentiates the Immunotherapy |






