验证数据展示
经过测试的应用
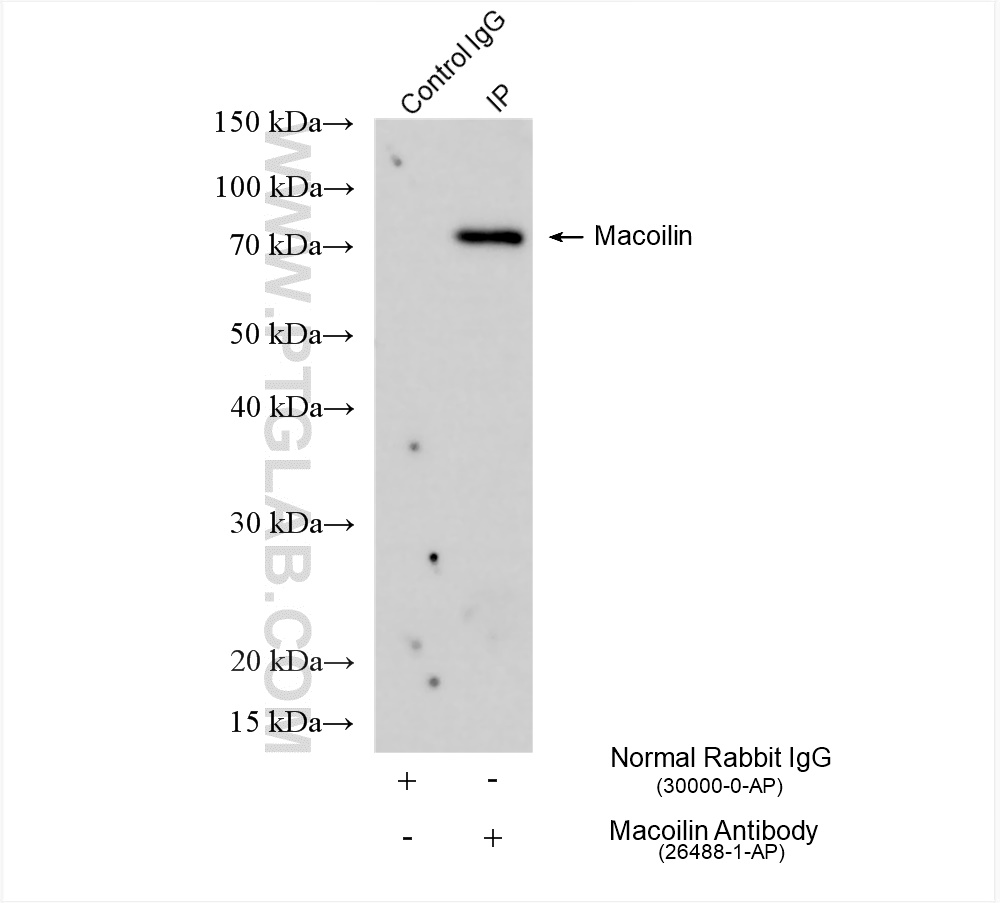
| Positive IP detected in | Neuro-2a cells |
推荐稀释比
| 应用 | 推荐稀释比 |
|---|---|
| Immunoprecipitation (IP) | IP : 0.5-4.0 ug for 1.0-3.0 mg of total protein lysate |
| It is recommended that this reagent should be titrated in each testing system to obtain optimal results. | |
| Sample-dependent, Check data in validation data gallery. | |
产品信息
26488-1-AP targets Macoilin in IP, ELISA applications and shows reactivity with human samples.
| 经测试应用 | IP, ELISA Application Description |
| 经测试反应性 | human |
| 免疫原 |
CatNo: Ag24428 Product name: Recombinant human TMEM57 protein Source: e coli.-derived, PGEX-4T Tag: GST Domain: 497-664 aa of BC032427 Sequence: ASRGECTETLRNRIRELEAEGKKLTMDMKVKEDQIRELELKVQELRKYKENEKDTEVLMSALSAMQDKTQHLENSLSAETRIKLDLFSALGDAKRQLEIAQGQILQKDQEIKDLKQKIAEVMAVMPSITYSAATSPLSPVSPHYSSKFVETSPSGLDPNASVYQPLKK 种属同源性预测 |
| 宿主/亚型 | Rabbit / IgG |
| 抗体类别 | Polyclonal |
| 产品类型 | Antibody |
| 全称 | transmembrane protein 57 |
| 别名 | TMEM57, transmembrane protein 57 |
| 计算分子量 | 664 aa, 76 kDa |
| 观测分子量 | 76 kDa |
| GenBank蛋白编号 | BC032427 |
| 基因名称 | TMEM57 |
| Gene ID (NCBI) | 55219 |
| 偶联类型 | Unconjugated |
| 形式 | Liquid |
| 纯化方式 | Antigen affinity purification |
| UNIPROT ID | Q8N5G2 |
| 储存缓冲液 | PBS with 0.02% sodium azide and 50% glycerol, pH 7.3. |
| 储存条件 | Store at -20°C. Stable for one year after shipment. Aliquoting is unnecessary for -20oC storage. |
实验方案
| Product Specific Protocols | |
|---|---|
| IP protocol for Macoilin antibody 26488-1-AP | Download protocol |
| Standard Protocols | |
|---|---|
| Click here to view our Standard Protocols |
