验证数据展示
经过测试的应用
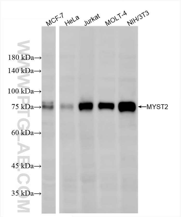
| Positive WB detected in | MCF-7 cells, HeLa cells, Jurkat cells, MOLT-4 cells, NIH/3T3 cells |
推荐稀释比
| 应用 | 推荐稀释比 |
|---|---|
| Western Blot (WB) | WB : 1:2000-1:10000 |
| It is recommended that this reagent should be titrated in each testing system to obtain optimal results. | |
| Sample-dependent, Check data in validation data gallery. | |
产品信息
86486-1-RR targets MYST2 in WB, ELISA applications and shows reactivity with human, mouse samples.
| 经测试应用 | WB, ELISA Application Description |
| 经测试反应性 | human, mouse |
| 免疫原 |
CatNo: Ag4693 Product name: Recombinant human MYST2 protein Source: e coli.-derived, PGEX-4T Tag: GST Domain: 1-370 aa of BC032640 Sequence: MPRRKRNAGSSSDGTEDSDFSTDLEHTDSSESDGTSRRSARVTRSSARLSQSSQDSSPVRNLQSFGTEEPAYSTRRVTRSQQQPTPVTPKKYPLRQTRSSGSETEQVVDFSDRETKNTADHDESPPRTPTGNAPSSESDIDISSPNVSHDESIAKDMSLKDSGSDLSHRPKRRRFHESYNFNMKCPTPGCNSLGHLTGKHERHFSISGCPLYHNLSADECKVRAQSRDKQIEERMLSHRQDDNNRHATRHQAPTERQLRYKEKVAELRKKRNSGLSKEQKEKYMEHRQTYGNTREPLLENLTSEYDLDLFRRAQARASEDLEKLRLQGQITEGSNMIKTIAFGRYELDTWYHSPYPEEYARLGRLYMCEF 种属同源性预测 |
| 宿主/亚型 | Rabbit / IgG |
| 抗体类别 | Recombinant |
| 产品类型 | Antibody |
| 全称 | MYST histone acetyltransferase 2 |
| 别名 | EC:2.3.1.48, HBO1, HBOa, Histone acetyltransferase KAT7, KAT 7 |
| 计算分子量 | 611 aa, 71 kDa |
| 观测分子量 | 71-75 kDa |
| GenBank蛋白编号 | BC032640 |
| 基因名称 | MYST2 |
| Gene ID (NCBI) | 11143 |
| 偶联类型 | Unconjugated |
| 形式 | Liquid |
| 纯化方式 | Protein A purification |
| UNIPROT ID | O95251 |
| 储存缓冲液 | PBS with 0.02% sodium azide and 50% glycerol, pH 7.3. |
| 储存条件 | Store at -20°C. Stable for one year after shipment. Aliquoting is unnecessary for -20oC storage. |
背景介绍
MYST2, also named as HBO1, HBOa MOZ, YBF2/SAS3, SAS2 and TIP60 protein 2, belongs to the MYST (SAS/MOZ) family. It specifically represses AR mediated transcription. MYST2 is a candidate oncogene. It enhances the anchorage-independent growth of breast cancer cells.(PMID:19372580) MYST2 is a histone acetyltransferase (HAT) which could exert oncogenic function in breast cancer. It is an important downstream molecule of ERa, and ERK1/2 signaling pathway may involved in the expression of HBO1 increased by E2.
实验方案
| Product Specific Protocols | |
|---|---|
| WB protocol for MYST2 antibody 86486-1-RR | Download protocol |
| Standard Protocols | |
|---|---|
| Click here to view our Standard Protocols |

