验证数据展示
经过测试的应用
| Positive WB detected in | HeLa cells, human testis tissue, Jurkat cells, NIH/3T3 cells, MCF-7 cells, PC-3 cells |
| Positive IP detected in | HeLa cells |
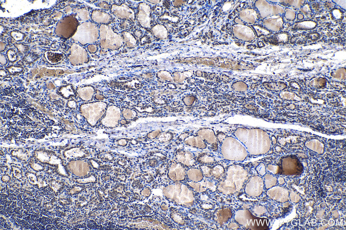
| Positive IHC detected in | human pancreas cancer tissue, human thyroid cancer tissue, mouse stomach tissue, rat stomach tissue, rat testis tissue Note: suggested antigen retrieval with TE buffer pH 9.0; (*) Alternatively, antigen retrieval may be performed with citrate buffer pH 6.0 |
| Positive IF/ICC detected in | NIH/3T3 cells |
推荐稀释比
| 应用 | 推荐稀释比 |
|---|---|
| Western Blot (WB) | WB : 1:1000-1:4000 |
| Immunoprecipitation (IP) | IP : 0.5-4.0 ug for 1.0-3.0 mg of total protein lysate |
| Immunohistochemistry (IHC) | IHC : 1:250-1:1000 |
| Immunofluorescence (IF)/ICC | IF/ICC : 1:50-1:500 |
| It is recommended that this reagent should be titrated in each testing system to obtain optimal results. | |
| Sample-dependent, Check data in validation data gallery. | |
产品信息
13751-1-AP targets MYST2 in WB, IHC, IF/ICC, IP, CoIP, ChIP, ELISA applications and shows reactivity with human, mouse, rat samples.
| 经测试应用 | WB, IHC, IF/ICC, IP, ELISA Application Description |
| 文献引用应用 | WB, IHC, IF, IP, CoIP, ChIP |
| 经测试反应性 | human, mouse, rat |
| 文献引用反应性 | human, mouse, rat |
| 免疫原 |
CatNo: Ag4693 Product name: Recombinant human MYST2 protein Source: e coli.-derived, PGEX-4T Tag: GST Domain: 1-370 aa of BC032640 Sequence: MPRRKRNAGSSSDGTEDSDFSTDLEHTDSSESDGTSRRSARVTRSSARLSQSSQDSSPVRNLQSFGTEEPAYSTRRVTRSQQQPTPVTPKKYPLRQTRSSGSETEQVVDFSDRETKNTADHDESPPRTPTGNAPSSESDIDISSPNVSHDESIAKDMSLKDSGSDLSHRPKRRRFHESYNFNMKCPTPGCNSLGHLTGKHERHFSISGCPLYHNLSADECKVRAQSRDKQIEERMLSHRQDDNNRHATRHQAPTERQLRYKEKVAELRKKRNSGLSKEQKEKYMEHRQTYGNTREPLLENLTSEYDLDLFRRAQARASEDLEKLRLQGQITEGSNMIKTIAFGRYELDTWYHSPYPEEYARLGRLYMCEF 种属同源性预测 |
| 宿主/亚型 | Rabbit / IgG |
| 抗体类别 | Polyclonal |
| 产品类型 | Antibody |
| 全称 | MYST histone acetyltransferase 2 |
| 别名 | KAT7, KAT 7, Histone acetyltransferase KAT7, HBOa, HBO1 |
| 计算分子量 | 611 aa, 71 kDa |
| 观测分子量 | 71 kDa |
| GenBank蛋白编号 | BC032640 |
| 基因名称 | MYST2 |
| Gene ID (NCBI) | 11143 |
| RRID | AB_2266703 |
| 偶联类型 | Unconjugated |
| 形式 | Liquid |
| 纯化方式 | Antigen affinity purification |
| UNIPROT ID | O95251 |
| 储存缓冲液 | PBS with 0.02% sodium azide and 50% glycerol, pH 7.3. |
| 储存条件 | Store at -20°C. Stable for one year after shipment. Aliquoting is unnecessary for -20oC storage. |
背景介绍
MYST2, also named as HBO1, HBOa MOZ, YBF2/SAS3, SAS2 and TIP60 protein 2, belongs to the MYST (SAS/MOZ) family. It specifically represses AR mediated transcription. MYST2 is a candidate oncogene. It enhances the anchorage-independent growth of breast cancer cells.(PMID:19372580) MYST2 is a histone acetyltransferase (HAT) which could exert oncogenic function in breast cancer. It is an important downstream molecule of ERa, and ERK1/2 signaling pathway may involved in the expression of HBO1 increased by E2.
实验方案
| Product Specific Protocols | |
|---|---|
| IF protocol for MYST2 antibody 13751-1-AP | Download protocol |
| IHC protocol for MYST2 antibody 13751-1-AP | Download protocol |
| IP protocol for MYST2 antibody 13751-1-AP | Download protocol |
| WB protocol for MYST2 antibody 13751-1-AP | Download protocol |
| Standard Protocols | |
|---|---|
| Click here to view our Standard Protocols |
发表文章
| Species | Application | Title |
|---|---|---|
Cancer Cell Transcriptional Regulation of the Warburg Effect in Cancer by SIX1.
| ||
Adv Sci (Weinh) Transcriptional Regulation of De Novo Lipogenesis by SIX1 in Liver Cancer Cells | ||
Autophagy KAT7-mediated CANX (calnexin) crotonylation regulates leucine-stimulated MTORC1 activity. | ||
Cancer Res Hbo1 is a cyclin E/CDK2 substrate that enriches breast cancer stem-like cells. | ||
Mol Cell Proteomics Acetylproteomic analysis reveals functional implications of lysine acetylation in human spermatozoa (sperm). | ||
Mol Cell Proteomics Regulation of acetylation restores proteolytic function of diseased myocardium in mouse and human. |




















