验证数据展示
经过测试的应用
| Positive WB detected in | A549 cells, HepG2 cells, HeLa cells, HEK-293 cells |
| Positive IP detected in | HeLa cells |
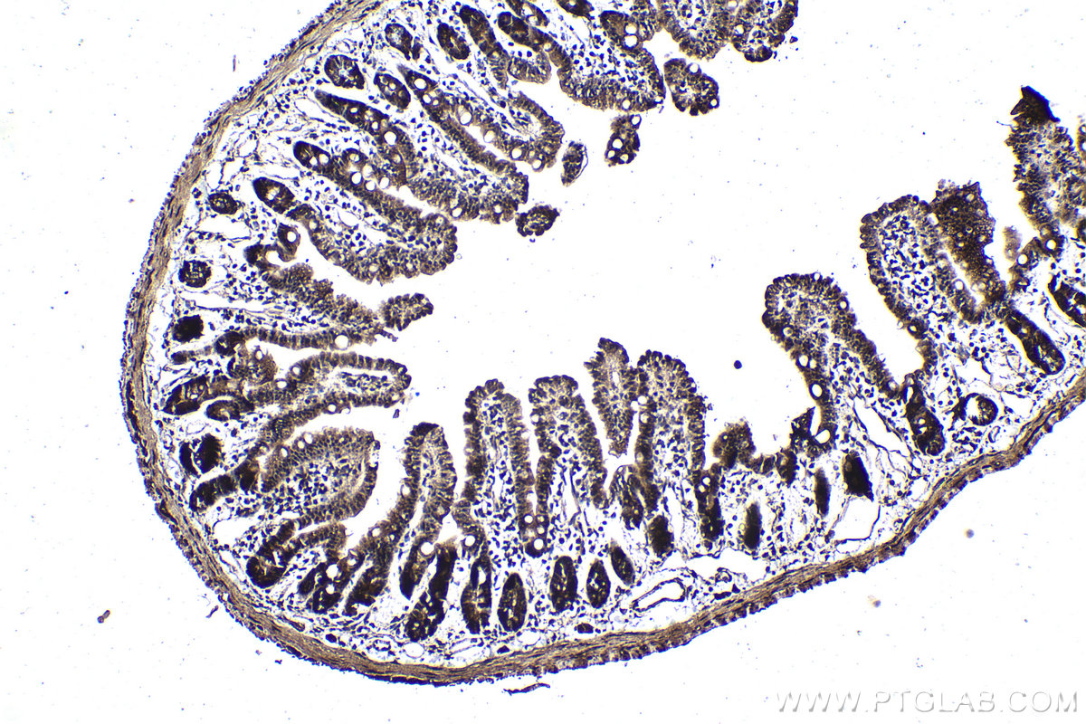
| Positive IHC detected in | mouse kidney tissue, human spleen tissue, mouse small intestine tissue, human pancreas cancer tissue, human urothelial carcinoma tissue, rat kidney tissue, rat small intestine tissue Note: suggested antigen retrieval with TE buffer pH 9.0; (*) Alternatively, antigen retrieval may be performed with citrate buffer pH 6.0 |
| Positive IF/ICC detected in | A431 cells |
推荐稀释比
| 应用 | 推荐稀释比 |
|---|---|
| Western Blot (WB) | WB : 1:500-1:2000 |
| Immunoprecipitation (IP) | IP : 0.5-4.0 ug for 1.0-3.0 mg of total protein lysate |
| Immunohistochemistry (IHC) | IHC : 1:500-1:2000 |
| Immunofluorescence (IF)/ICC | IF/ICC : 1:200-1:800 |
| It is recommended that this reagent should be titrated in each testing system to obtain optimal results. | |
| Sample-dependent, Check data in validation data gallery. | |
发表文章中的应用
| IHC | See 1 publications below |
产品信息
20078-1-AP targets MYSM1-Specific in WB, IHC, IF/ICC, IP, ELISA applications and shows reactivity with human, mouse, rat samples.
| 经测试应用 | WB, IHC, IF/ICC, IP, ELISA Application Description |
| 文献引用应用 | IHC |
| 经测试反应性 | human, mouse, rat |
| 文献引用反应性 | human |
| 免疫原 |
Peptide 种属同源性预测 |
| 宿主/亚型 | Rabbit / IgG |
| 抗体类别 | Polyclonal |
| 产品类型 | Antibody |
| 全称 | Myb-like, SWIRM and MPN domains 1 |
| 别名 | MYSM1, KIAA1915, EC:3.4.19.-, Deubiquitinase MYSM1, 2A-DUB |
| 计算分子量 | 95 kDa |
| 观测分子量 | 81 kDa |
| GenBank蛋白编号 | NM_001085487 |
| 基因名称 | MYSM1 |
| Gene ID (NCBI) | 114803 |
| RRID | AB_10664926 |
| 偶联类型 | Unconjugated |
| 形式 | Liquid |
| 纯化方式 | Antigen affinity purification |
| UNIPROT ID | Q5VVJ2 |
| 储存缓冲液 | PBS with 0.02% sodium azide and 50% glycerol, pH 7.3. |
| 储存条件 | Store at -20°C. Stable for one year after shipment. Aliquoting is unnecessary for -20oC storage. |
背景介绍
MYSM1, also named as KIAA1915, belongs to the peptidase M67A family and MYSM1 subfamily. MYSM1 is a metalloprotease that specifically deubiquitinates monoubiquitinated histone H2A, a specific tag for epigenetic transcriptional repression, thereby acting as a coactivator. Deubiquitination of histone H2A leads to facilitate the phosphorylation and dissociation of histone H1 from the nucleosome. MYSM1 acts as a coactivator by participating in the initiation and elongation steps of androgen receptor (AR)-induced gene activation. It catalyzes the reaction: Ubiquitin C-terminal thioester + H2O = ubiquitin + a thiol. MYSM1 is a marker of cancer. The antibody is specific to MYSM1.
实验方案
| Product Specific Protocols | |
|---|---|
| IF protocol for MYSM1-Specific antibody 20078-1-AP | Download protocol |
| IHC protocol for MYSM1-Specific antibody 20078-1-AP | Download protocol |
| IP protocol for MYSM1-Specific antibody 20078-1-AP | Download protocol |
| WB protocol for MYSM1-Specific antibody 20078-1-AP | Download protocol |
| Standard Protocols | |
|---|---|
| Click here to view our Standard Protocols |















