验证数据展示
经过测试的应用
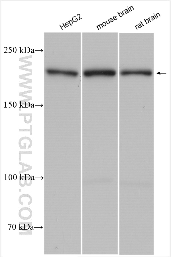
| Positive WB detected in | HepG2 cells, mouse brain tissue, rat brain tissue |
| Positive IHC detected in | human colon tissue, mouse colon tissue Note: suggested antigen retrieval with TE buffer pH 9.0; (*) Alternatively, antigen retrieval may be performed with citrate buffer pH 6.0 |
推荐稀释比
| 应用 | 推荐稀释比 |
|---|---|
| Western Blot (WB) | WB : 1:2000-1:16000 |
| Immunohistochemistry (IHC) | IHC : 1:200-1:800 |
| It is recommended that this reagent should be titrated in each testing system to obtain optimal results. | |
| Sample-dependent, Check data in validation data gallery. | |
产品信息
29996-1-AP targets MYO5B in WB, IHC, ELISA applications and shows reactivity with Human, mouse, rat samples.
| 经测试应用 | WB, IHC, ELISA Application Description |
| 经测试反应性 | Human, mouse, rat |
| 免疫原 |
CatNo: Ag31590 Product name: Recombinant human MYO5B protein Source: e coli.-derived, PGEX-4T Tag: GST Domain: 940-1114 aa of NM_001080467 Sequence: EFKTLSEQLSVTTSTYTMEVERLKKELVHYQQSPGEDTSLRLQEEVESLRTELQRAHSERKILEDAHSREKDELRKRVADLEQENALLKDEKEQLNNQILCQSKDEFAQNSVKENLMKKELEEERSRYQNLVKEYSQLEQRYDNLRDEMTIIKQTPGHRRNPSNQSSLESDSNYP 种属同源性预测 |
| 宿主/亚型 | Rabbit / IgG |
| 抗体类别 | Polyclonal |
| 产品类型 | Antibody |
| 全称 | myosin VB |
| 别名 | KIAA1119, MYO5B, myosin VB |
| 计算分子量 | 214KD |
| 观测分子量 | 200 kDa |
| GenBank蛋白编号 | NM_001080467 |
| 基因名称 | MYO5B |
| Gene ID (NCBI) | 4645 |
| RRID | AB_2935496 |
| 偶联类型 | Unconjugated |
| 形式 | Liquid |
| 纯化方式 | Antigen affinity purification |
| UNIPROT ID | Q9ULV0 |
| 储存缓冲液 | PBS with 0.02% sodium azide and 50% glycerol, pH 7.3. |
| 储存条件 | Store at -20°C. Stable for one year after shipment. Aliquoting is unnecessary for -20oC storage. |
背景介绍
MYO5B is a member of the class V of unconventional, dimeric nonfilamentous myosins, which may be involved in vesicular trafficking. Members of the Rab family of small GTPases, consisting of Rab11a, Rab11b, and Rab25, have recently emerged as potential mediators of vesicle transport by MYO5B (PMID: 21282656). MYO5B is required for polarization of hepatocytes and mutations of MYO5B could disrupt epithelial cell polarity. Loss-of-Function of MYO5B caused by mutation is the main cause of microvillus inclusion disease (MVID). Recently it was reported that the expression of MYO5B was downregulated in gastric cancer and inactivation of MYO5B may contribute to tumorigenesis (PMID: 22134786).
实验方案
| Product Specific Protocols | |
|---|---|
| IHC protocol for MYO5B antibody 29996-1-AP | Download protocol |
| WB protocol for MYO5B antibody 29996-1-AP | Download protocol |
| Standard Protocols | |
|---|---|
| Click here to view our Standard Protocols |



