验证数据展示
经过测试的应用
| Positive WB detected in | NIH/3T3 cells, HeLa cells, Jurkat cells |
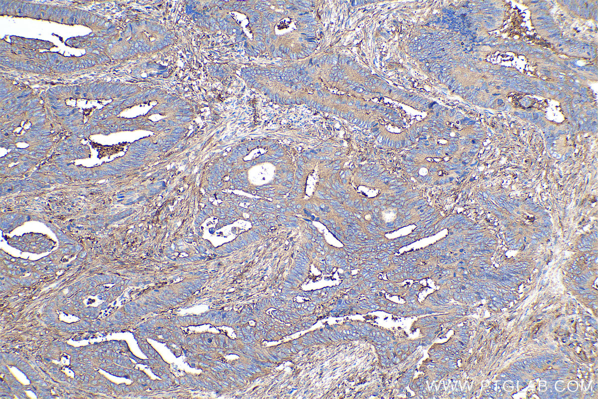
| Positive IHC detected in | human colon cancer tissue Note: suggested antigen retrieval with TE buffer pH 9.0; (*) Alternatively, antigen retrieval may be performed with citrate buffer pH 6.0 |
推荐稀释比
| 应用 | 推荐稀释比 |
|---|---|
| Western Blot (WB) | WB : 1:500-1:1000 |
| Immunohistochemistry (IHC) | IHC : 1:2000-1:8000 |
| It is recommended that this reagent should be titrated in each testing system to obtain optimal results. | |
| Sample-dependent, Check data in validation data gallery. | |
产品信息
16287-1-AP targets MYL12A in WB, IHC, IF, ELISA applications and shows reactivity with human, mouse, rat samples.
| 经测试应用 | WB, IHC, ELISA Application Description |
| 文献引用应用 | WB, IHC, IF |
| 经测试反应性 | human, mouse, rat |
| 文献引用反应性 | human, mouse, pig, frog |
| 免疫原 |
CatNo: Ag9413 Product name: Recombinant human MYL12A protein Source: e coli.-derived, PGEX-4T Tag: GST Domain: 1-171 aa of BC016372 Sequence: MSSKRTKTKTKKRPQRATSNVFAMFDQSQIQEFKEAFNMIDQNRDGFIDKEDLHDMLASLGKNPTDEYLDAMMNEAPGPINFTMFLTMFGEKLNGTDPEDVIRNAFACFDEEATGTIQEDYLRELLTTMGDRFTDEEVDELYREAPIDKKGNFNYIEFTRILKHGAKDKDD 种属同源性预测 |
| 宿主/亚型 | Rabbit / IgG |
| 抗体类别 | Polyclonal |
| 产品类型 | Antibody |
| 全称 | myosin, light chain 12A, regulatory, non-sarcomeric |
| 别名 | Epididymis secretory protein Li 24, HEL-S-24, MLC 2B, MLC-2B, MLCB |
| 计算分子量 | 171 aa, 20 kDa |
| 观测分子量 | 19-20 kDa |
| GenBank蛋白编号 | BC016372 |
| 基因名称 | MYL12A |
| Gene ID (NCBI) | 10627 |
| RRID | AB_2878238 |
| 偶联类型 | Unconjugated |
| 形式 | Liquid |
| 纯化方式 | Antigen affinity purification |
| UNIPROT ID | P19105 |
| 储存缓冲液 | PBS with 0.02% sodium azide and 50% glycerol, pH 7.3. |
| 储存条件 | Store at -20°C. Stable for one year after shipment. Aliquoting is unnecessary for -20oC storage. |
背景介绍
Myosin II is an actin-binding protein composed of MHC (myosin heavy chain), MLCs/MRLCs (myosin regulatory light chains) and ELCs (essential light chains). The Myosin Light Chains are divided into basic MLC (MLC I) and regulatory MLC (MLC II or Myosin Regulatory Light Chain, MRLC). MRLC can be classified into two major types: : class I MRLC found in muscles (MLC1, MLC2, MLC3, MYL4, MYL5, MYL6, MYL7, etc), and class II MRLCs present in non-muscle cells (such as MYL9, MYL12A, MYL12B).
实验方案
| Product Specific Protocols | |
|---|---|
| IHC protocol for MYL12A antibody 16287-1-AP | Download protocol |
| WB protocol for MYL12A antibody 16287-1-AP | Download protocol |
| Standard Protocols | |
|---|---|
| Click here to view our Standard Protocols |
发表文章
| Species | Application | Title |
|---|---|---|
Biochem J Kinase-related protein/telokin inhibits Ca2+-independent contraction in Triton-skinned guinea pig taenia coli. | ||
Front Physiol Distinct Roles of Smooth Muscle and Non-muscle Myosin Light Chain-Mediated Smooth Muscle Contraction. | ||
Biofizika [Novel peptide inhibitors of the myosin light chain kinase suppress hyperpermeability of vascular endothelium]. | ||
EMBO J Salmonella manipulates macrophage migration via SteC-mediated myosin light chain activation to penetrate the gut-vascular barrier | ||
J Assoc Res Otolaryngol Influence of Myosin Regulatory Light Chain and Myosin Light Chain Kinase on the Physiological Function of Inner Ear Hair Cells |





