验证数据展示
经过测试的应用
| Positive WB detected in | mouse embryo tissue | 
| Positive IP detected in | mouse skeletal muscle tissue | 
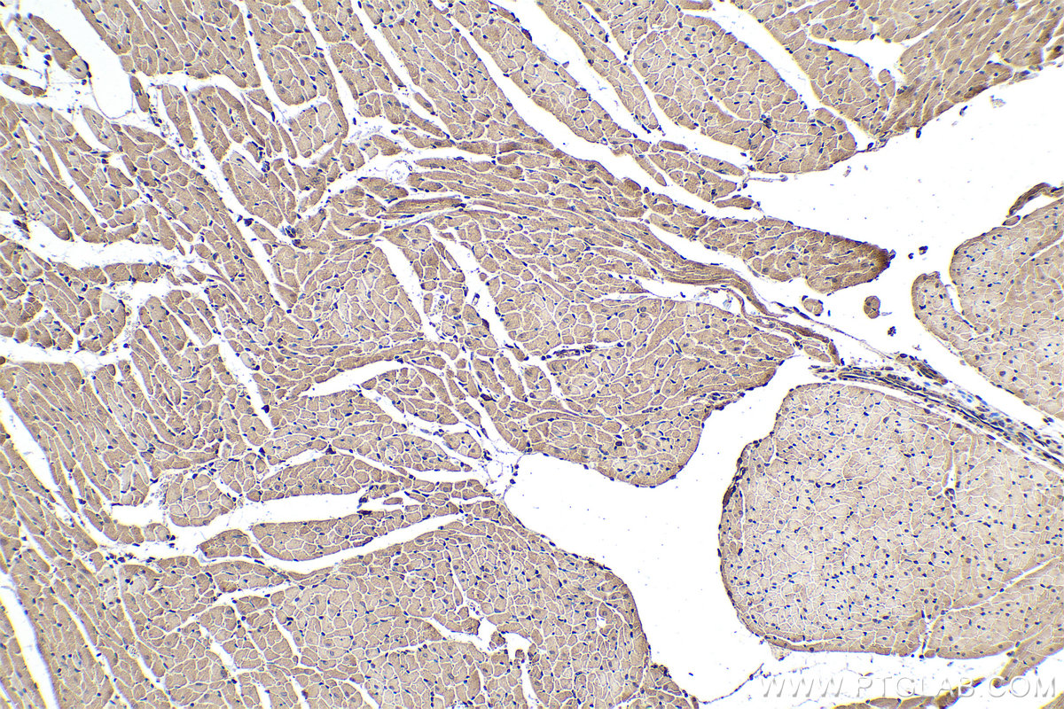
| Positive IHC detected in | rat heart tissue, mouse heart tissue Note: suggested antigen retrieval with TE buffer pH 9.0; (*) Alternatively, antigen retrieval may be performed with citrate buffer pH 6.0  | 
推荐稀释比
| 应用 | 推荐稀释比 | 
|---|---|
| Western Blot (WB) | WB : 1:500-1:2000 | 
| Immunoprecipitation (IP) | IP : 0.5-4.0 ug for 1.0-3.0 mg of total protein lysate | 
| Immunohistochemistry (IHC) | IHC : 1:250-1:1000 | 
| It is recommended that this reagent should be titrated in each testing system to obtain optimal results. | |
| Sample-dependent, Check data in validation data gallery. | |
产品信息
22287-1-AP targets MYH3 in WB, IHC, IF, IP, ELISA applications and shows reactivity with human, mouse, rat samples.
| 经测试应用 | WB, IP, IHC, ELISA Application Description | 
| 文献引用应用 | WB, IF | 
| 经测试反应性 | human, mouse, rat | 
| 文献引用反应性 | human, mouse, rat, bovine | 
| 免疫原 | 
                                             Peptide 种属同源性预测 | 
                                    
| 宿主/亚型 | Rabbit / IgG | 
| 抗体类别 | Polyclonal | 
| 产品类型 | Antibody | 
| 全称 | myosin, heavy chain 3, skeletal muscle, embryonic | 
| 别名 | eMyHC, HEMHC, MYH3, MYHC EMB, MYHSE1, Myosin 3, Myosin heavy chain 3, SMHCE | 
| 计算分子量 | 234 kDa | 
| 观测分子量 | 220-230 kDa | 
| GenBank蛋白编号 | NM_002470 | 
| 基因名称 | MYH3 | 
| Gene ID (NCBI) | 4621 | 
| RRID | AB_2879060 | 
| 偶联类型 | Unconjugated | 
| 形式 | Liquid | 
| 纯化方式 | Antigen affinity purification | 
| UNIPROT ID | P11055 | 
| 储存缓冲液 | PBS with 0.02% sodium azide and 50% glycerol, pH 7.3. | 
| 储存条件 | Store at -20°C. Stable for one year after shipment. Aliquoting is unnecessary for -20oC storage. | 
实验方案
| Product Specific Protocols | |
|---|---|
| IHC protocol for MYH3 antibody 22287-1-AP | Download protocol | 
| IP protocol for MYH3 antibody 22287-1-AP | Download protocol | 
| WB protocol for MYH3 antibody 22287-1-AP | Download protocol | 
| Standard Protocols | |
|---|---|
| Click here to view our Standard Protocols | 
发表文章
| Species | Application | Title | 
|---|---|---|
Basic Res Cardiol Alkaline nucleoplasm facilitates contractile gene expression in the mammalian heart. | ||
Int J Mol Sci Molecular and Metabolic Mechanism of Low-Intensity Pulsed Ultrasound Improving Muscle Atrophy in Hindlimb Unloading Rats. | ||
FASEB J miR-206 family is important for mitochondrial and muscle function, but not essential for myogenesis in vitro. | ||
Am J Pathol B4GALNT2 (GALGT2) Gene Therapy Reduces Skeletal Muscle Pathology in the FKRP P448L Mouse Model of Limb Girdle Muscular Dystrophy 2I. | 





