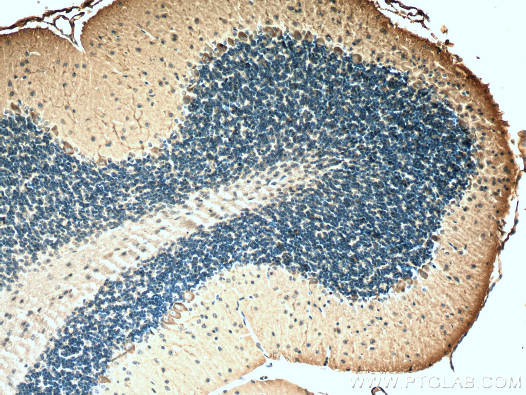
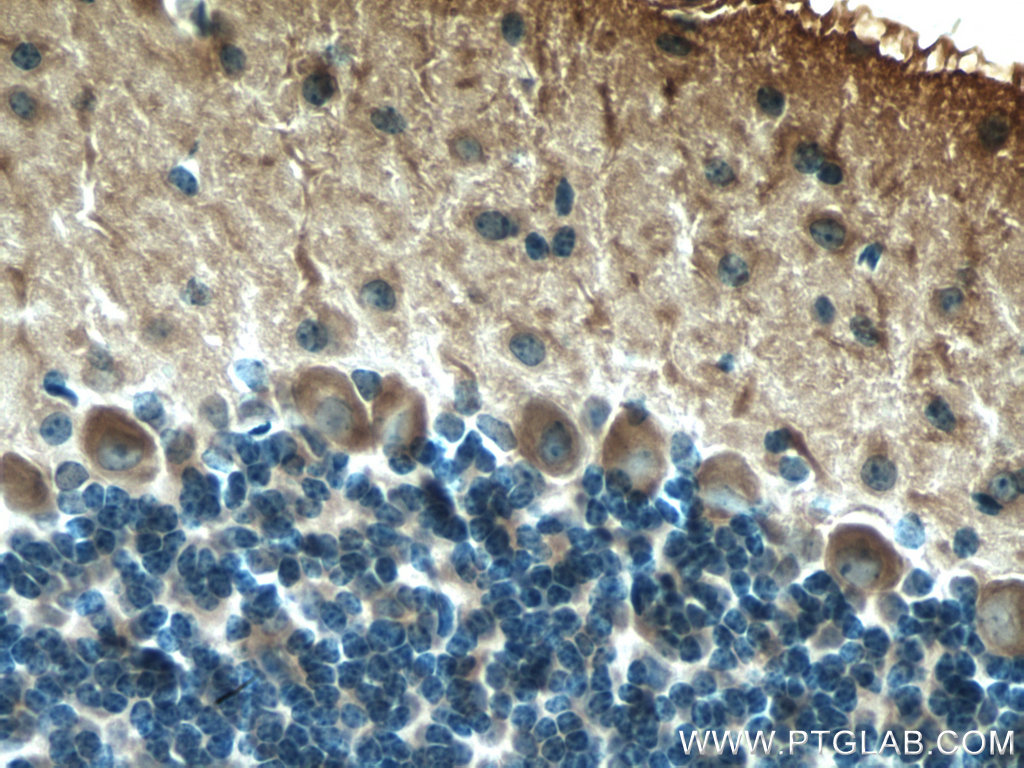
验证数据展示
产品信息
67243-1-PBS targets MYH10 in WB, IHC, IF-P, Indirect ELISA applications and shows reactivity with Human, mouse, rat samples.
| 经测试应用 | WB, IHC, IF-P, Indirect ELISA Application Description |
| 经测试反应性 | Human, mouse, rat |
| 免疫原 |
CatNo: Ag17069 Product name: Recombinant human MYH10 protein Source: e coli.-derived, PET28a Tag: 6*His Domain: 1183-1322 aa of BC150634 Sequence: QEVAELKKALEEETKNHEAQIQDMRQRHATALEELSEQLEQAKRFKANLEKNKQGLETDNKELACEVKVLQQVKAESEHKRKKLDAQVQELHAKVSEGDRLRVELAEKASKLQNELDNVSTLLEEAEKKGIKFAKDAASL 种属同源性预测 |
| 宿主/亚型 | Mouse / IgG2a |
| 抗体类别 | Monoclonal |
| 产品类型 | Antibody |
| 全称 | myosin, heavy chain 10, non-muscle |
| 别名 | MYH10, Myosin 10, Myosin heavy chain 10 |
| 计算分子量 | 1985 aa, 230 kDa |
| 观测分子量 | 200-230 kDa |
| GenBank蛋白编号 | BC150634 |
| 基因名称 | MYH10 |
| Gene ID (NCBI) | 4628 |
| RRID | AB_2882522 |
| 偶联类型 | Unconjugated |
| 形式 | Liquid |
| 纯化方式 | Protein A purification |
| UNIPROT ID | P35580 |
| 储存缓冲液 | PBS only, pH 7.3. |
| 储存条件 | Store at -80°C. The product is shipped with ice packs. Upon receipt, store it immediately at -80°C |
背景介绍
MYH10 (non-muscle II-b, NM IIB) is a member of non-muscle myosin II which plays fundamental roles in the maintenance of cell morphology, cell adhesion, and migration, as well as cell division. MYH10 is mainly present in nerve cells, megakaryocytes, and other non-muscle cells. It has been reported to mediate centrosome reorientation during cell migration and contribute to ciliogenesis. Overexpression of MYH10 has been observed in breast cancer.







