验证数据展示
经过测试的应用
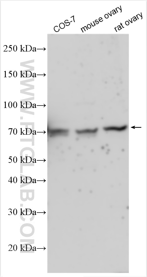
| Positive WB detected in | COS-7 cells, mouse ovary tissue, rat ovary tissue |
推荐稀释比
| 应用 | 推荐稀释比 |
|---|---|
| Western Blot (WB) | WB : 1:500-1:2000 |
| It is recommended that this reagent should be titrated in each testing system to obtain optimal results. | |
| Sample-dependent, Check data in validation data gallery. | |
产品信息
31581-1-AP targets MXRA8 in WB, ELISA applications and shows reactivity with human samples.
| 经测试应用 | WB, ELISA Application Description |
| 经测试反应性 | human |
| 免疫原 |
CatNo: Ag33429 Product name: Recombinant human MXRA8 protein Source: e coli.-derived, PGEX-4T Tag: GST Domain: 168-308 aa of BC017312 Sequence: DGEKEVLAVARGAPALLTCVNRGHVWTDRHVEEAQQVVHWDRQPPGVPHDRADRLLDLYASGERRAYGPLFLRDRVAVGADAFERGDFSLRIEPLEVADEGTYSCHLHHHYCGLHERRVFHLTVAEPHAEPPPRGSPGNGS 种属同源性预测 |
| 宿主/亚型 | Rabbit / IgG |
| 抗体类别 | Polyclonal |
| 产品类型 | Antibody |
| 全称 | matrix-remodelling associated 8 |
| 别名 | Limitrin, MXRA 8 |
| 计算分子量 | 49 kDa |
| 观测分子量 | 70 kDa |
| GenBank蛋白编号 | BC017312 |
| 基因名称 | MXRA8 |
| Gene ID (NCBI) | 54587 |
| 偶联类型 | Unconjugated |
| 形式 | Liquid |
| 纯化方式 | Antigen affinity Purification |
| UNIPROT ID | Q9BRK3 |
| 储存缓冲液 | PBS with 0.02% sodium azide and 50% glycerol, pH 7.3. |
| 储存条件 | Store at -20°C. Stable for one year after shipment. Aliquoting is unnecessary for -20oC storage. |
实验方案
| Product Specific Protocols | |
|---|---|
| WB protocol for MXRA8 antibody 31581-1-AP | Download protocol |
| Standard Protocols | |
|---|---|
| Click here to view our Standard Protocols |

