验证数据展示
经过测试的应用
| Positive WB detected in | IFN alpha treated A549 cells, IFN alpha treated HepG2 cells |
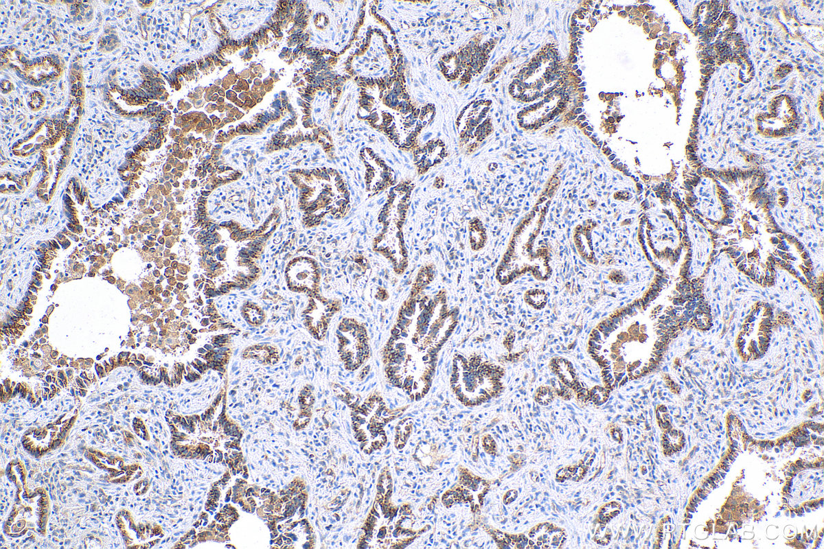
| Positive IHC detected in | human lung cancer tissue, human tonsillitis tissue Note: suggested antigen retrieval with TE buffer pH 9.0; (*) Alternatively, antigen retrieval may be performed with citrate buffer pH 6.0 |
| Positive IF/ICC detected in | A549 cells |
推荐稀释比
| 应用 | 推荐稀释比 |
|---|---|
| Western Blot (WB) | WB : 1:5000-1:50000 |
| Immunohistochemistry (IHC) | IHC : 1:500-1:2000 |
| Immunofluorescence (IF)/ICC | IF/ICC : 1:200-1:800 |
| It is recommended that this reagent should be titrated in each testing system to obtain optimal results. | |
| Sample-dependent, Check data in validation data gallery. | |
产品信息
82677-1-RR targets MX1 in WB, IHC, IF/ICC, ELISA applications and shows reactivity with human samples.
| 经测试应用 | WB, IHC, IF/ICC, ELISA Application Description |
| 经测试反应性 | human |
| 免疫原 |
CatNo: Ag4692 Product name: Recombinant human MX1 protein Source: e coli.-derived, PGEX-4T Tag: GST Domain: 312-662 aa of BC032602 Sequence: LLEEGKATVPCLAEKLTSELITHICKSLPLLENQIKETHQRITEELQKYGVDIPEDENEKMFFLIDKINAFNQDITALMQGEETVGEEDIRLFTRLRHEFHKWSTIIENNFQEGHKILSRKIQKFENQYRGRELPGFVNYRTFETIVKQQIKALEEPAVDMLHTVTDMVRLAFTDVSIKNFEEFFNLHRTAKSKIEDIRAEQEREGEKLIRLHFQMEQIVYCQDQVYRGALQKVREKELEEEKKKKSWDFGAFQSSSATDSSMEEIFQHLMAYHQEASKRISSHIPLIIQFFMLQTYGQQLQKAMLQLLQDKDTYSWLLKERSDTSDKRKFLKERLARLTQARRRLAQFPG 种属同源性预测 |
| 宿主/亚型 | Rabbit / IgG |
| 抗体类别 | Recombinant |
| 产品类型 | Antibody |
| 全称 | Myxovirus resistance protein 1 |
| 别名 | Interferon-regulated resistance GTP-binding protein MxA, Interferon-induced protein p78, Interferon-induced GTP-binding protein Mx1, N-terminally processed, Interferon-induced GTP-binding protein Mx1, IFI-78K |
| 计算分子量 | 662 aa, 76 kDa |
| 观测分子量 | 75 kDa |
| GenBank蛋白编号 | BC032602 |
| 基因名称 | MX1 |
| Gene ID (NCBI) | 4599 |
| RRID | AB_3086503 |
| 偶联类型 | Unconjugated |
| 形式 | Liquid |
| 纯化方式 | Protein A purification |
| UNIPROT ID | P20591 |
| 储存缓冲液 | PBS with 0.02% sodium azide and 50% glycerol, pH 7.3. |
| 储存条件 | Store at -20°C. Stable for one year after shipment. Aliquoting is unnecessary for -20oC storage. |
背景介绍
Mx1 (also known as MxA) is a GTPase that belongs to the Mx family of proteins, which are ubiquitous in eukaryotes and involved in the immune response to viral infections. The human Mx1 is localized in the cytoplasm interfering with the translation of viral proteins, whereas the mouse Mx1 accumulates in the nucleus and inhibits the primary transcription of viral RNA. Mx1 expression is induced by treatment with α/β IFN.
实验方案
| Product Specific Protocols | |
|---|---|
| IF protocol for MX1 antibody 82677-1-RR | Download protocol |
| IHC protocol for MX1 antibody 82677-1-RR | Download protocol |
| WB protocol for MX1 antibody 82677-1-RR | Download protocol |
| Standard Protocols | |
|---|---|
| Click here to view our Standard Protocols |






