验证数据展示
经过测试的应用
| Positive WB detected in | IFN alpha treated A549 cells, mouse lung tissue |
| Positive IP detected in | IFN alpha treated A549 cells |
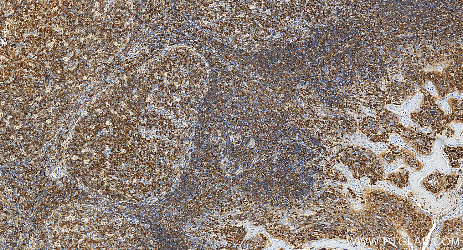
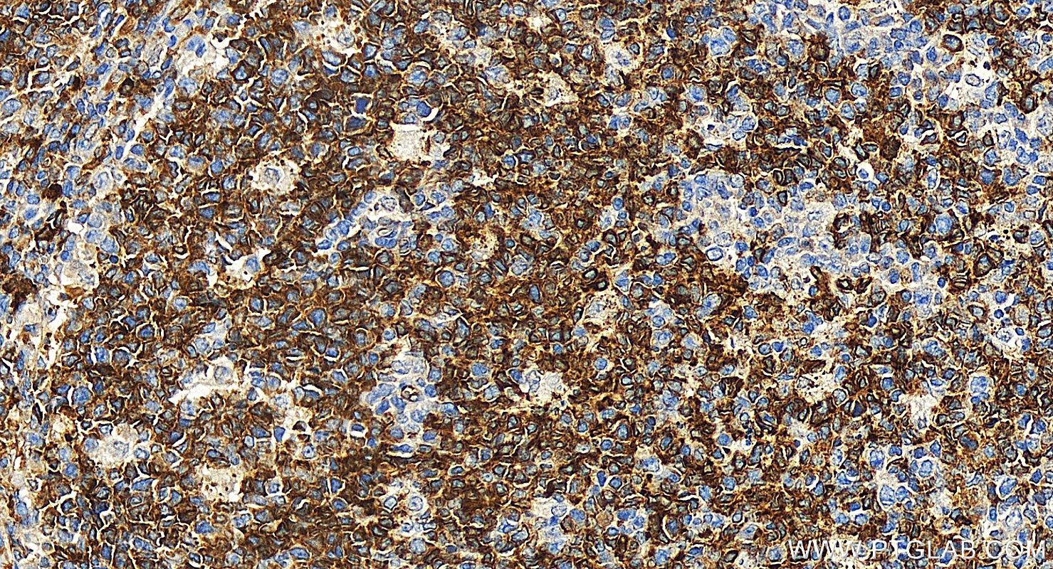
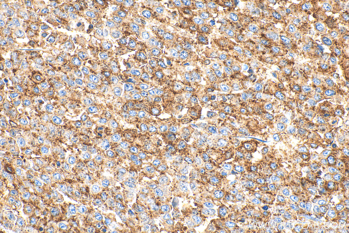
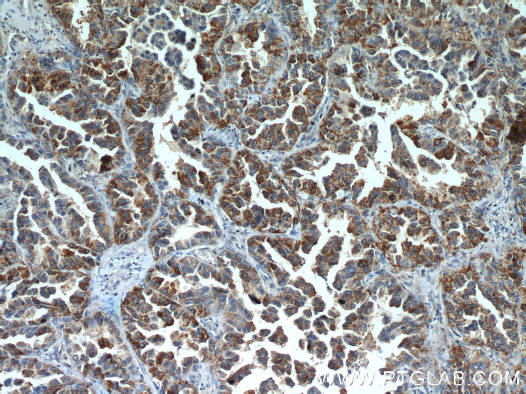
| Positive IHC detected in | human tonsillitis tissue, human colon cancer tissue, human lung cancer tissue Note: suggested antigen retrieval with TE buffer pH 9.0; (*) Alternatively, antigen retrieval may be performed with citrate buffer pH 6.0 |
| Positive IF/ICC detected in | A549 cells |
| Positive FC (Intra) detected in | A549 cells |
推荐稀释比
| 应用 | 推荐稀释比 |
|---|---|
| Western Blot (WB) | WB : 1:500-1:1000 |
| Immunoprecipitation (IP) | IP : 0.5-4.0 ug for 1.0-3.0 mg of total protein lysate |
| Immunohistochemistry (IHC) | IHC : 1:500-1:2000 |
| Immunofluorescence (IF)/ICC | IF/ICC : 1:50-1:500 |
| Flow Cytometry (FC) (INTRA) | FC (INTRA) : 0.40 ug per 10^6 cells in a 100 µl suspension |
| It is recommended that this reagent should be titrated in each testing system to obtain optimal results. | |
| Sample-dependent, Check data in validation data gallery. | |
产品信息
13750-1-AP targets MX1 in WB, IHC, IF/ICC, FC (Intra), IP, ELISA applications and shows reactivity with human, mouse samples.
| 经测试应用 | WB, IHC, IF/ICC, FC (Intra), IP, ELISA Application Description |
| 文献引用应用 | WB, IHC, IF, FC (Intra), IP |
| 经测试反应性 | human, mouse |
| 文献引用反应性 | human, mouse, rat, pig, canine, monkey, chicken, hamster, pavo cristatus, macaque |
| 免疫原 |
CatNo: Ag4692 Product name: Recombinant human MX1 protein Source: e coli.-derived, PGEX-4T Tag: GST Domain: 312-662 aa of BC032602 Sequence: LLEEGKATVPCLAEKLTSELITHICKSLPLLENQIKETHQRITEELQKYGVDIPEDENEKMFFLIDKINAFNQDITALMQGEETVGEEDIRLFTRLRHEFHKWSTIIENNFQEGHKILSRKIQKFENQYRGRELPGFVNYRTFETIVKQQIKALEEPAVDMLHTVTDMVRLAFTDVSIKNFEEFFNLHRTAKSKIEDIRAEQEREGEKLIRLHFQMEQIVYCQDQVYRGALQKVREKELEEEKKKKSWDFGAFQSSSATDSSMEEIFQHLMAYHQEASKRISSHIPLIIQFFMLQTYGQQLQKAMLQLLQDKDTYSWLLKERSDTSDKRKFLKERLARLTQARRRLAQFPG 种属同源性预测 |
| 宿主/亚型 | Rabbit / IgG |
| 抗体类别 | Polyclonal |
| 产品类型 | Antibody |
| 全称 | Myxovirus resistance protein 1 |
| 别名 | IFI-78K, Interferon-induced GTP-binding protein Mx1, Interferon-induced GTP-binding protein Mx1, N-terminally processed, Interferon-induced protein p78, Interferon-regulated resistance GTP-binding protein MxA |
| 计算分子量 | 662 aa, 76 kDa |
| 观测分子量 | 76 kDa |
| GenBank蛋白编号 | BC032602 |
| 基因名称 | MX1 |
| Gene ID (NCBI) | 4599 |
| RRID | AB_2266768 |
| 偶联类型 | Unconjugated |
| 形式 | Liquid |
| 纯化方式 | Antigen affinity purification |
| UNIPROT ID | P20591 |
| 储存缓冲液 | PBS with 0.02% sodium azide and 50% glycerol, pH 7.3. |
| 储存条件 | Store at -20°C. Stable for one year after shipment. Aliquoting is unnecessary for -20oC storage. |
背景介绍
Mx1 (also known as MxA) is a GTPase that belongs to the Mx family of proteins, which are ubiquitous in eukaryotes and involved in the immune response to viral infections. The human Mx1 is localized in the cytoplasm interfering with the translation of viral proteins, whereas the mouse Mx1 accumulates in the nucleus and inhibits the primary transcription of viral RNA. Mx1 expression is induced by treatment with α/β IFN. This antibody can recognize the endogenous Mx1 protein in several tissues like lung and spleen.
实验方案
| Product Specific Protocols | |
|---|---|
| FC protocol for MX1 antibody 13750-1-AP | Download protocol |
| IF protocol for MX1 antibody 13750-1-AP | Download protocol |
| IHC protocol for MX1 antibody 13750-1-AP | Download protocol |
| IP protocol for MX1 antibody 13750-1-AP | Download protocol |
| WB protocol for MX1 antibody 13750-1-AP | Download protocol |
| Standard Protocols | |
|---|---|
| Click here to view our Standard Protocols |
发表文章
| Species | Application | Title |
|---|---|---|
Cell Host Microbe NRAV, a long noncoding RNA, modulates antiviral responses through suppression of interferon-stimulated gene transcription. | ||
Nat Commun Large-scale and high-resolution mass spectrometry-based proteomics profiling defines molecular subtypes of esophageal cancer for therapeutic targeting. | ||
Hepatology MxA inhibits hepatitis B virus replication by interaction with hepatitis B core antigen. | ||
Nat Commun Repeated semen exposure decreases cervicovaginal SIVmac251 infection in rhesus macaques. | ||










