验证数据展示
经过测试的应用
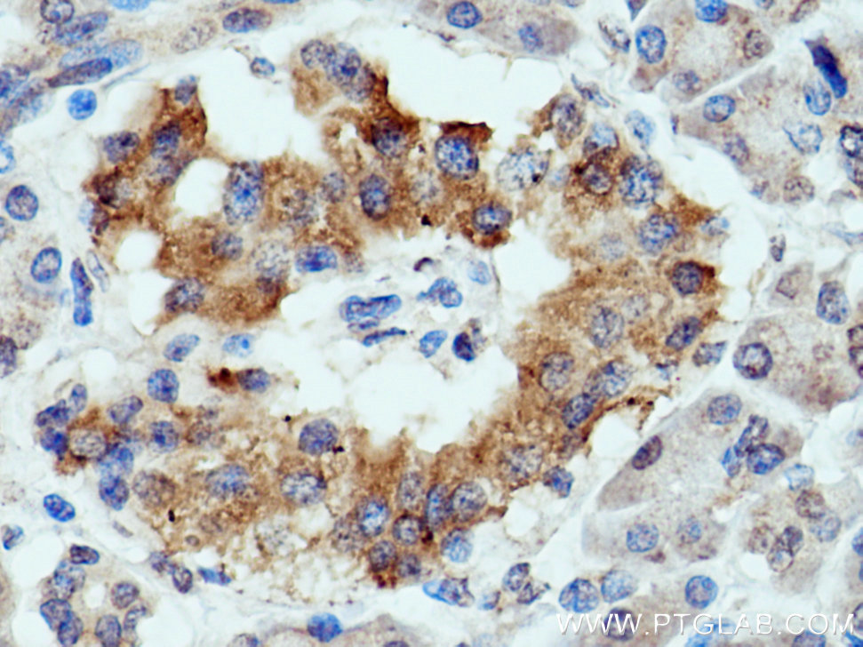
| Positive IHC detected in | human stomach tissue, human pancreas cancer tissue Note: suggested antigen retrieval with TE buffer pH 9.0; (*) Alternatively, antigen retrieval may be performed with citrate buffer pH 6.0 |
推荐稀释比
| 应用 | 推荐稀释比 |
|---|---|
| Immunohistochemistry (IHC) | IHC : 1:400-1:1600 |
| It is recommended that this reagent should be titrated in each testing system to obtain optimal results. | |
| Sample-dependent, Check data in validation data gallery. | |
产品信息
20725-1-AP targets MUC5AC in WB, IHC, IF, ELISA applications and shows reactivity with human samples.
| 经测试应用 | IHC, ELISA Application Description |
| 文献引用应用 | WB, IHC, IF |
| 经测试反应性 | human |
| 文献引用反应性 | human, mouse |
| 免疫原 |
Peptide 种属同源性预测 |
| 宿主/亚型 | Rabbit / IgG |
| 抗体类别 | Polyclonal |
| 产品类型 | Antibody |
| 全称 | mucin 5AC, oligomeric mucus/gel-forming |
| 别名 | MUC5 |
| 计算分子量 | 527 kDa |
| GenBank蛋白编号 | NM_017511 |
| 基因名称 | MUC5AC |
| Gene ID (NCBI) | 4586 |
| RRID | AB_3669342 |
| 偶联类型 | Unconjugated |
| 形式 | Liquid |
| 纯化方式 | Antigen affinity purification |
| UNIPROT ID | P98088 |
| 储存缓冲液 | PBS with 0.02% sodium azide and 50% glycerol, pH 7.3. |
| 储存条件 | Store at -20°C. Stable for one year after shipment. Aliquoting is unnecessary for -20oC storage. |
背景介绍
MUC5AC is a member of the mucin family, a heterogeneous group of 21 abundant, high molecular weight O-glycoproteins that can be either secreted or membrane bound. Multiple cysteine-rich domains in both N- and C-terminal regions of MUC5AC are responsible for its disulfide-mediated polymerization, which is critical for gel-forming properties. (PMID: 26751774, PMID: 27845339)
实验方案
| Product Specific Protocols | |
|---|---|
| IHC protocol for MUC5AC antibody 20725-1-AP | Download protocol |
| Standard Protocols | |
|---|---|
| Click here to view our Standard Protocols |
发表文章
| Species | Application | Title |
|---|---|---|
Int Immunopharmacol Corynebacterium striatum drives neutrophilic asthma via IL-17 signaling activation | ||
Phytomedicine Genkwanin reduces airway epithelial cell ferroptosis and alleviates asthma symptoms in mice. | ||
Exp Ther Med Appendiceal mucinous tumour resulting in autoamputation of the appendix: A case report and literature review. | ||
Antioxidants (Basel) Cold Exposure Exacerbates Allergic Airway Inflammation via Ferroptosis: Evidence from a Murine Model. | ||
J Ethnopharmacol Mogrosides from S. grosvenorii ameliorate acute pharyngitis via the PI3K/AKT-NF-κB-NLRP3 signaling pathway and oxidative stress modulation. | ||
Mol Immunol Knockdown of Brg1 reduced mucus secretion in HDM stimulated airway inflammation |

