验证数据展示
经过测试的应用
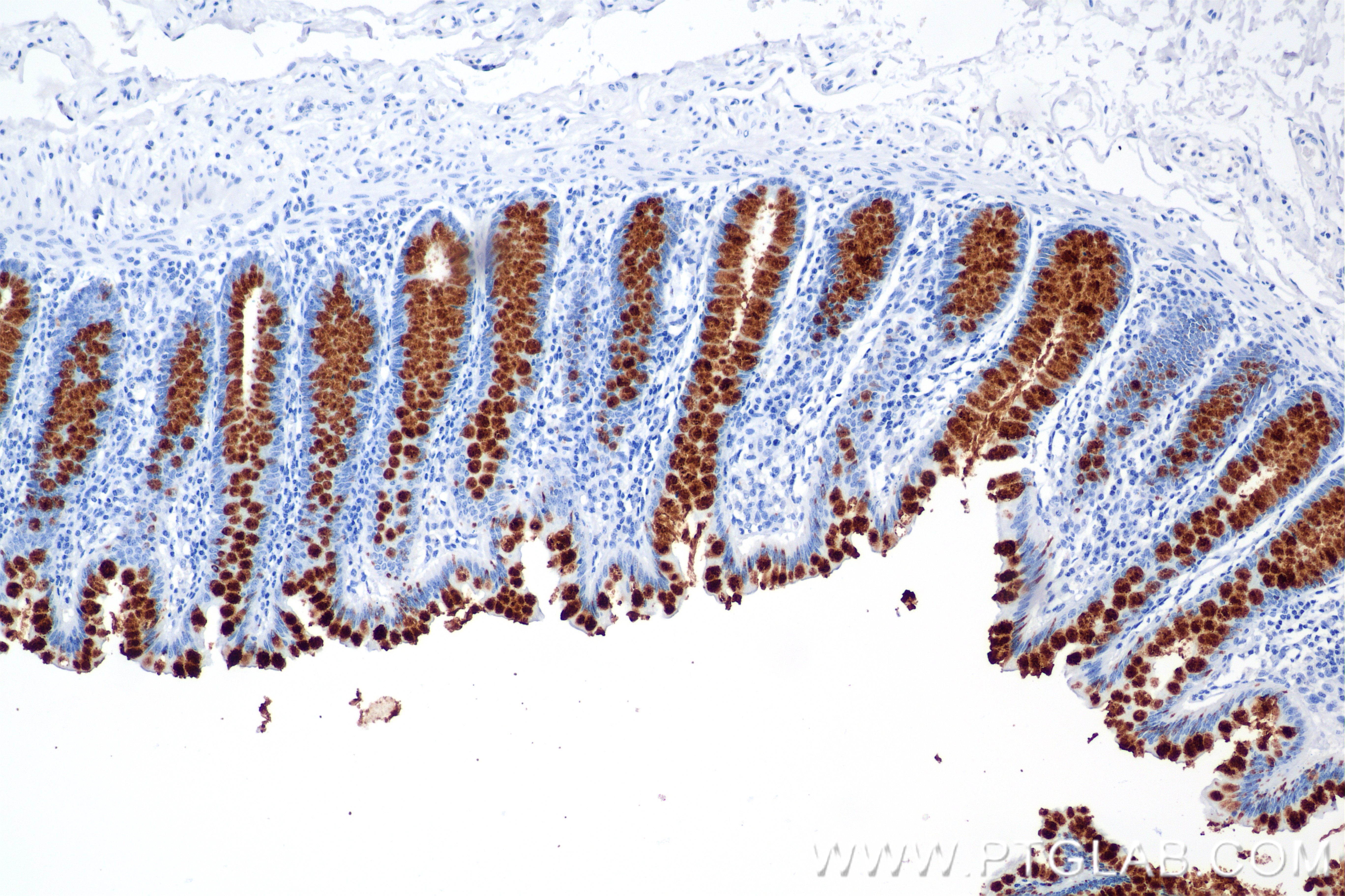
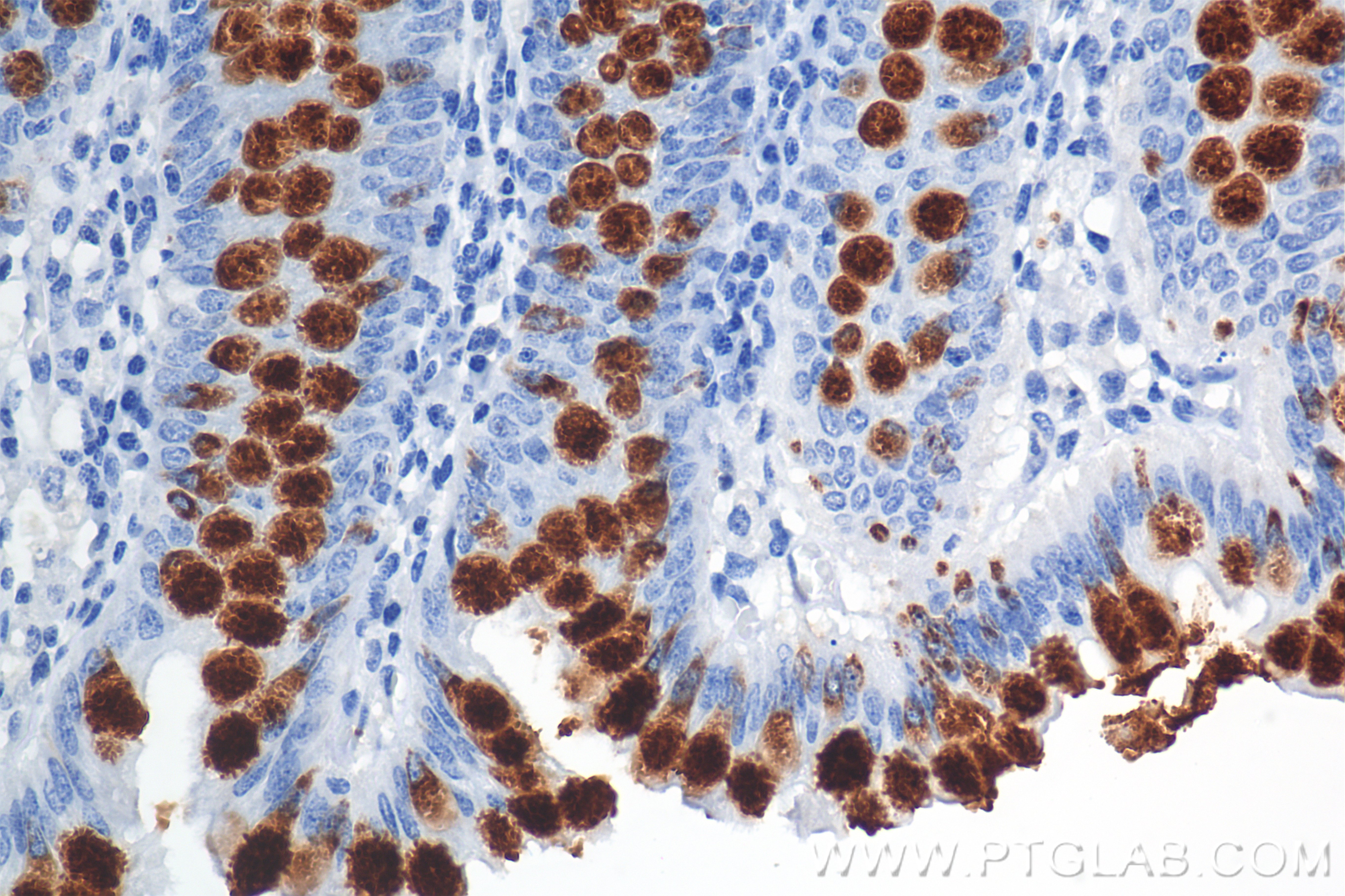
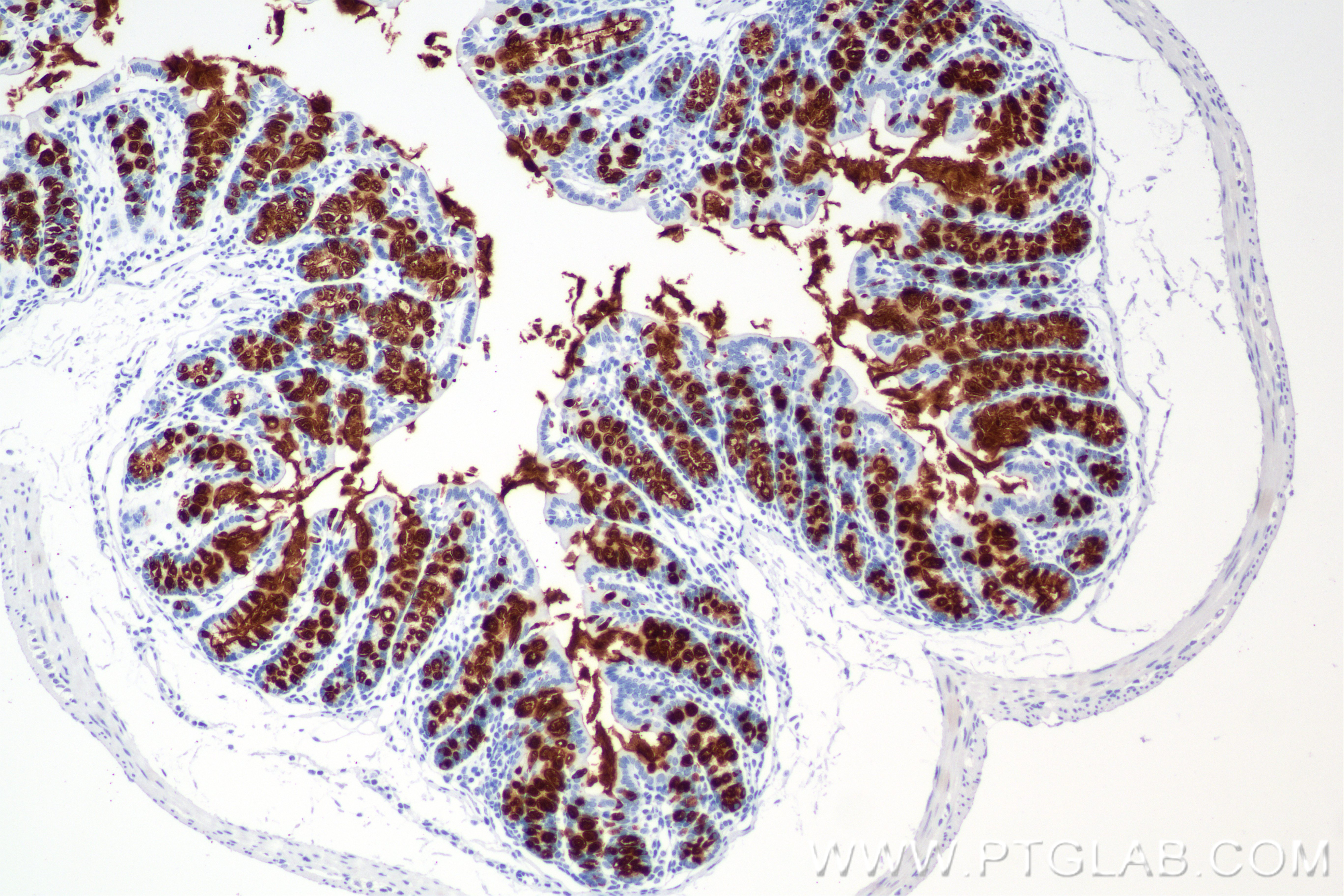
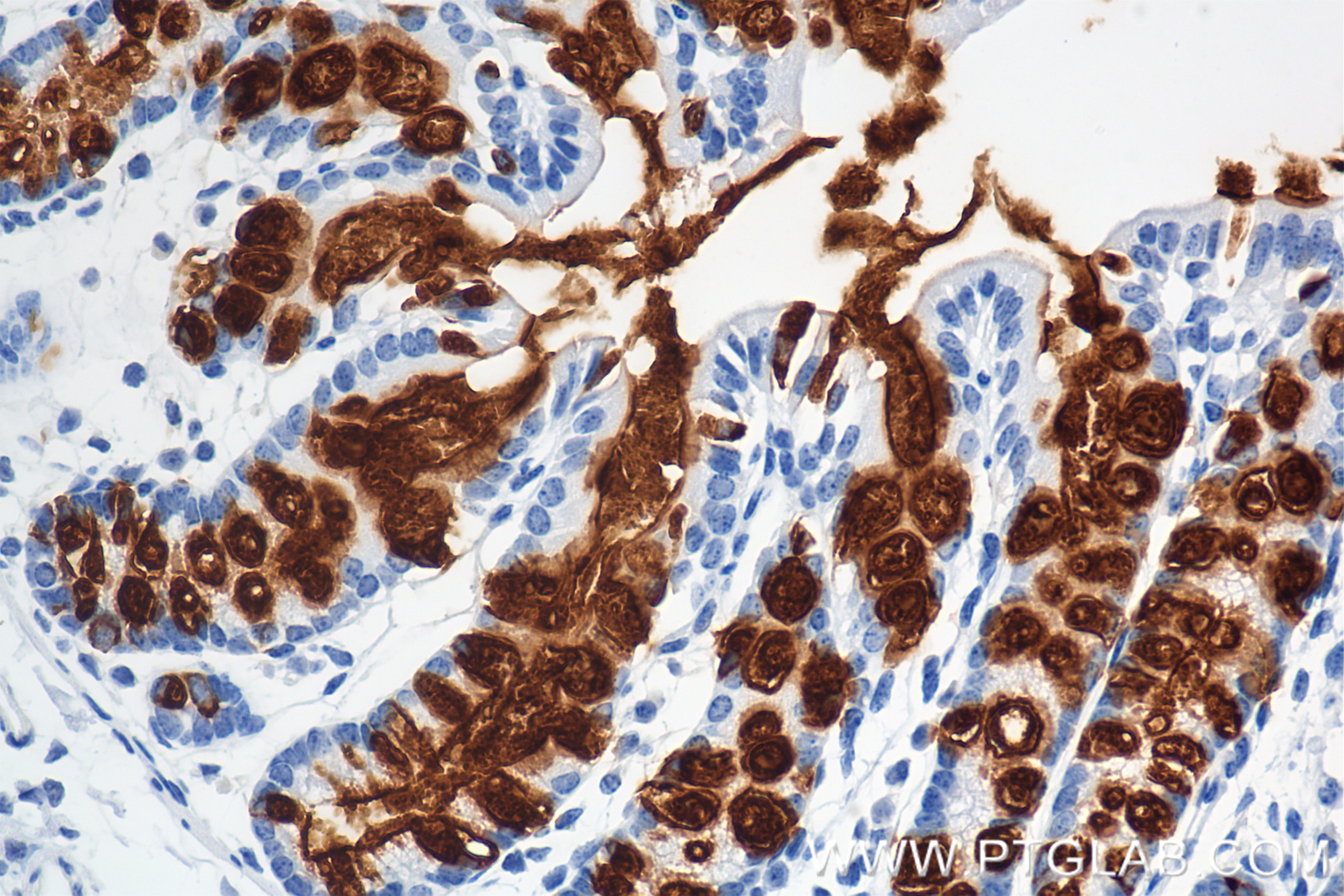
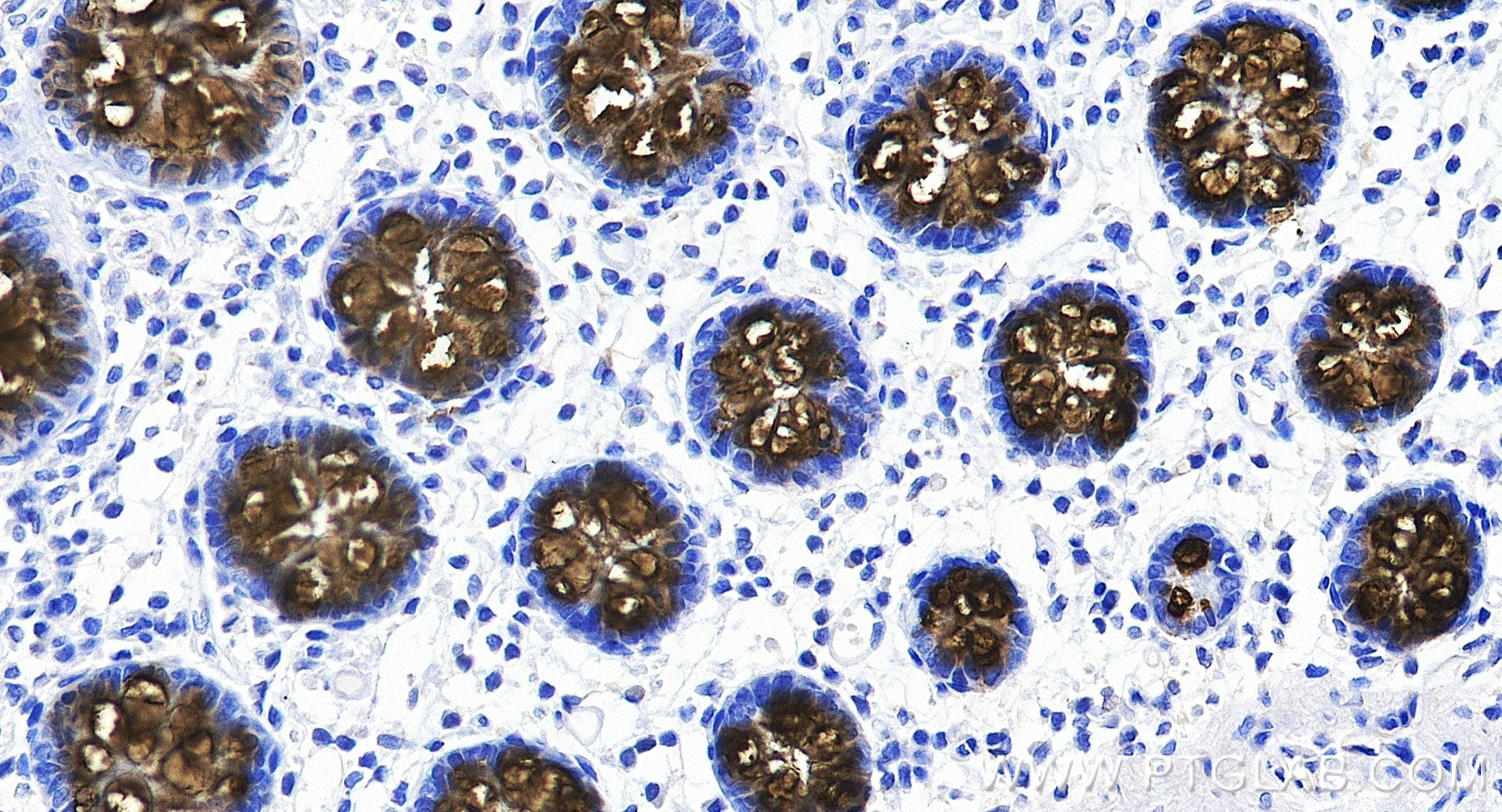
| Positive IHC detected in | mouse colon tissue, human colon tissue Note: suggested antigen retrieval with TE buffer pH 9.0; (*) Alternatively, antigen retrieval may be performed with citrate buffer pH 6.0 |
| Positive IF-P detected in | mouse colon tissue, human colon tissue |
推荐稀释比
| 应用 | 推荐稀释比 |
|---|---|
| Immunohistochemistry (IHC) | IHC : 1:1000-1:4000 |
| Immunofluorescence (IF)-P | IF-P : 1:200-1:800 |
| It is recommended that this reagent should be titrated in each testing system to obtain optimal results. | |
| Sample-dependent, Check data in validation data gallery. | |
产品信息
82792-2-RR targets MUC2 in IHC, IF-P, ELISA applications and shows reactivity with human, mouse samples.
| 经测试应用 | IHC, IF-P, ELISA Application Description |
| 经测试反应性 | human, mouse |
| 免疫原 |
CatNo: Ag25800 Product name: Recombinant human MUC2 protein Source: e coli.-derived, PET30a Tag: 6*His Domain: 726-850 aa of M94132 Sequence: MYLEAGDVVVRQEERCVCRDGRLHCRQIRLIGQSCTAPKIHMDCSNLTALATSKPRALSCQTLAAGYYHTECVSGCVCPDGLMDDGRGGCVVEKECPCVHNNDLYSSGAKIKVDCNTCTCKRGRWV 种属同源性预测 |
| 宿主/亚型 | Rabbit / IgG |
| 抗体类别 | Recombinant |
| 产品类型 | Antibody |
| 全称 | mucin 2, oligomeric mucus/gel-forming |
| 别名 | MUC 2, MUC-2, Mucin 2, SMUC |
| 计算分子量 | 540 kDa |
| GenBank蛋白编号 | M94132 |
| 基因名称 | MUC2 |
| Gene ID (NCBI) | 4583 |
| 偶联类型 | Unconjugated |
| 形式 | Liquid |
| 纯化方式 | Protein A purification |
| 储存缓冲液 | PBS with 0.02% sodium azide and 50% glycerol, pH 7.3. |
| 储存条件 | Store at -20°C. Stable for one year after shipment. Aliquoting is unnecessary for -20oC storage. |
背景介绍
This gene encodes a member of the mucin protein family. Mucins are high molecular weight glycoproteins produced by many epithelial tissues. The protein encoded by this gene is secreted and forms an insoluble mucous barrier that protects the gut lumen. The protein polymerizes into a gel of which 80% is composed of oligosaccharide side chains by weight. Downregulation of this gene has been observed in patients with Crohn disease and ulcerative colitis.
实验方案
| Product Specific Protocols | |
|---|---|
| IF protocol for MUC2 antibody 82792-2-RR | Download protocol |
| IHC protocol for MUC2 antibody 82792-2-RR | Download protocol |
| Standard Protocols | |
|---|---|
| Click here to view our Standard Protocols |







