MTX2 Recombinant monoclonal antibody

MTX2 Uni-rAb® Recombinant Antibody for WB, IF/ICC, ELISA
Cat No. 86899-1-RR

产品说明书

CloneNo. 251514F3

宿主/亚型

Rabbit / IgG

种属反应性

human, mouse, rat

应用

WB, IF/ICC, ELISA

metaxin 2, Metaxin-2, MTX

缓冲液配方:  PBS, Azide, Glycerol
PBS, Azide, Glycerol
PBS Only
偶联物:  Unconjugated
Unconjugated
规格价格库存


经过测试的应用

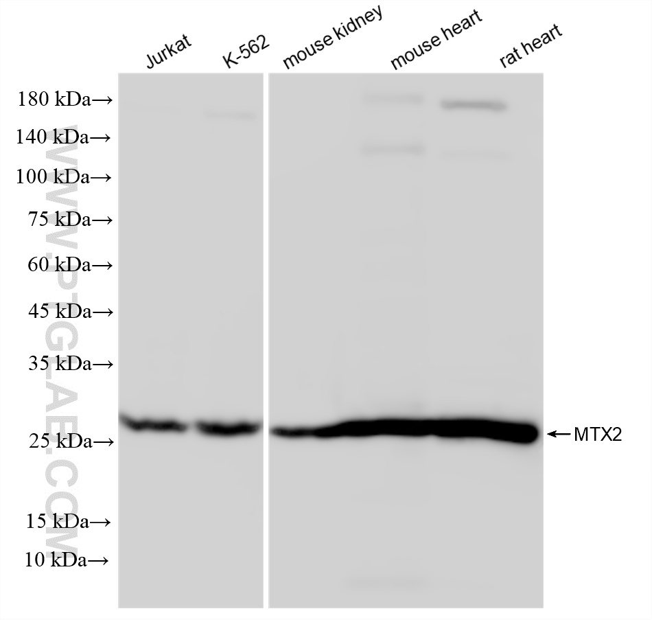
Positive WB detected inJurkat cells, K-562 cells, mouse kidney tissue, mouse heart tissue, rat heart tissue
Positive IF/ICC detected inA431 cells

推荐稀释比

应用推荐稀释比
Western Blot (WB)WB : 1:5000-1:50000
Immunofluorescence (IF)/ICCIF/ICC : 1:400-1:1600
It is recommended that this reagent should be titrated in each testing system to obtain optimal results.
Sample-dependent, Check data in validation data gallery.

产品信息

86899-1-RR targets MTX2 in WB, IF/ICC, ELISA applications and shows reactivity with human, mouse, rat samples.

经测试应用 WB, IF/ICC, ELISA Application Description
经测试反应性 human, mouse, rat
免疫原

CatNo: Ag2181

Product name: Recombinant human MTX2 protein

Source: e coli.-derived, PGEX-4T

Tag: GST

Domain: 1-253 aa of BC017271

Sequence: MYIAAEPWPENATLYQQLKGEQILLSDNAASLAVQAFLQMCNLPIKVVCRANAEYMSPSGKVPFIHVGNQVVSELGPIVQFVKAKGHSLSDGLEEVQKAEMKAYMELVNNMLLTAELYLQWCDEATVGEITHARYGSPYPWPLNHILAYQKQWEVKRKMKAIGWGKKTLDQVLEDVDQCCQALSQRLGTQPYFFNKQPTELDALVFGHLYTILTTQLTNDELSEKVKNYSNLLAFCRRIEQHYFEDRGKGRLS

种属同源性预测
宿主/亚型 Rabbit / IgG
抗体类别 Recombinant
产品类型 Antibody
全称 metaxin 2
别名 metaxin 2, Metaxin-2, MTX
计算分子量 263 aa, 30 kDa
观测分子量 25-29 kDa
GenBank蛋白编号BC017271
基因名称 MTX2
Gene ID (NCBI) 10651
偶联类型 Unconjugated
形式Liquid
纯化方式Protein A purification
UNIPROT IDO75431
储存缓冲液 PBS with 0.02% sodium azide and 50% glycerol, pH 7.3.
储存条件Store at -20°C. Stable for one year after shipment. Aliquoting is unnecessary for -20oC storage.

实验方案

Product Specific Protocols
IF protocol for MTX2 antibody 86899-1-RRDownload protocol
WB protocol for MTX2 antibody 86899-1-RRDownload protocol
Standard Protocols
Click here to view our Standard Protocols
Loading...
||
New chat

Able

正在加载,请稍候...