验证数据展示
产品信息
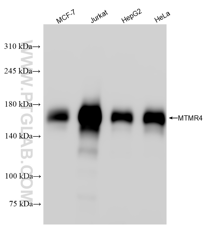
84328-1-PBS targets MTMR4 in WB, IF/ICC, Indirect ELISA applications and shows reactivity with human samples.
| 经测试应用 | WB, IF/ICC, Indirect ELISA Application Description |
| 经测试反应性 | human |
| 免疫原 |
CatNo: Ag4310 Product name: Recombinant human MTMR4 protein Source: e coli.-derived, PGEX-4T Tag: GST Domain: 845-1195 aa of BC035609 Sequence: SHQEQLSSVPDLTHGEEDIGKRGNNRNGQLLENPRFGKMPLELVRKPISQSQISEFSFLGSNWDSFQGMVTSFPSGEATPRRLLSYGCCSKRPNSKQMRATGPCFGGQWAQREGVKSPVCSSHSNGHCTGPGGKNQMWLSSHPKQVSSTKPVPLNCPSPVPPLYLDDDGLPFPTDVIQHRLRQIEAGYKQEVEQLRRQVRELQMRLDIRHCCAPPAEPPMDYEDDFTCLKESDGSDTEDFGSDHSEDCLSEASWEPVDKKETEVTRWVPDHMASHCYNCDCEFWLAKRRHHCRNCGNVFCAGCCHLKLPIPDQQLYDPVLVCNSCYEHIQVSRARELMSQQLKKPIATASS 种属同源性预测 |
| 宿主/亚型 | Rabbit / IgG |
| 抗体类别 | Recombinant |
| 产品类型 | Antibody |
| 全称 | myotubularin related protein 4 |
| 别名 | KIAA0647, FYVE-DSP2, FYVE DSP2, FYVE domain-containing dual specificity protein phosphatase 2, EC:3.1.3.48 |
| 计算分子量 | 1195 aa, 133 kDa |
| 观测分子量 | 160-170 kDa |
| GenBank蛋白编号 | BC035609 |
| 基因名称 | MTMR4 |
| Gene ID (NCBI) | 9110 |
| RRID | AB_3671869 |
| 偶联类型 | Unconjugated |
| 形式 | Liquid |
| 纯化方式 | Protein A purfication |
| UNIPROT ID | Q9NYA4 |
| 储存缓冲液 | PBS only, pH 7.3. |
| 储存条件 | Store at -80°C. The product is shipped with ice packs. Upon receipt, store it immediately at -80°C |
背景介绍
Myotubularin-related protein-4 (MTMR4), also named FYVE-DSP2, is a member of the myotubularin family of phosphoinositide phosphatases that selectively degrade the 3-position phosphate from the inositol ring of PtdIns(3)P and phosphatidylinositol 3,5-bisphosphate (PtdIns(3,5)P2) (PMID: 31543504). MTMR4 knockdown markedly suppressed the motility, fusion, and fission of PI(3)P- enriched structures, resulting in decreases in late endosomes, autophagosomes, and lysosomes, and enlargement of PI(3)P- enriched early and late endosomes(PMID: 29962048). MTMR4 is an intracellular protein with a calculated molecular mass of 133 kDa, and detected molecular weight in the papers is about 160-170 kDa, which may be due to post-translational modification (PMID: 19125695, PMID: 20736309).



