验证数据展示
经过测试的应用
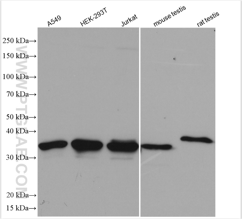
| Positive WB detected in | A549 cells, HEK-293T cells, Jurkat cells, mouse testis tissue, rat testis tissue, HCT 116 cells |
| Positive IP detected in | A549 cells, mouse testis tissue |
| Positive IHC detected in | human colon cancer tissue Note: suggested antigen retrieval with TE buffer pH 9.0; (*) Alternatively, antigen retrieval may be performed with citrate buffer pH 6.0 |
| Positive IF/ICC detected in | HepG2 cells |
| Positive FC (Intra) detected in | A549 cells |
推荐稀释比
| 应用 | 推荐稀释比 |
|---|---|
| Western Blot (WB) | WB : 1:1000-1:8000 |
| Immunoprecipitation (IP) | IP : 0.5-4.0 ug for 1.0-3.0 mg of total protein lysate |
| Immunohistochemistry (IHC) | IHC : 1:200-1:800 |
| Immunofluorescence (IF)/ICC | IF/ICC : 1:200-1:800 |
| Flow Cytometry (FC) (INTRA) | FC (INTRA) : 0.25 ug per 10^6 cells in a 100 µl suspension |
| It is recommended that this reagent should be titrated in each testing system to obtain optimal results. | |
| Sample-dependent, Check data in validation data gallery. | |
产品信息
12270-1-AP targets MTHFD2 in WB, IHC, IF/ICC, FC (Intra), IP, CoIP, ELISA applications and shows reactivity with human, mouse, rat samples.
| 经测试应用 | WB, IHC, IF/ICC, FC (Intra), IP, ELISA Application Description |
| 文献引用应用 | WB, IHC, IF, IP, CoIP |
| 经测试反应性 | human, mouse, rat |
| 文献引用反应性 | human, mouse |
| 免疫原 |
CatNo: Ag2911 Product name: Recombinant human MTHFD2 protein Source: e coli.-derived, PGEX-4T Tag: GST Domain: 1-350 aa of BC017054 Sequence: MAATSLMSALAARLLQPAHSCSLRLRPFHLAAVRNEAVVISGRKLAQQIKQEVRQEVEEWVASGNKRPHLSVILVGENPASHSYVLNKTRAAAVVGINSETIMKPASISEEELLNLINKLNNDDNVDGLLVQLPLPEHIDERRICNAVSPDKDVDGFHVINVGRMCLDQYSMLPATPWGVWEIIKRTGIPTLGKNVVVAGRSKNVGMPIAMLLHTDGAHERPGGDATVTISHRYTPKEQLKKHTILADIVISAAGIPNLITADMIKEGAAVIDVGINRVHDPVTAKPKLVGDVDFEGVRQKAGYITPVPGGVGPMTVAMLMKNTIIAAKKVLRLEEREVLKSKELGVATN 种属同源性预测 |
| 宿主/亚型 | Rabbit / IgG |
| 抗体类别 | Polyclonal |
| 产品类型 | Antibody |
| 全称 | methylenetetrahydrofolate dehydrogenase (NADP+ dependent) 2, methenyltetrahydrofolate cyclohydrolase |
| 别名 | Bifunctional methylenetetrahydrofolate dehydrogenase/cyclohydrolase, mitochondrial, Methenyltetrahydrofolate cyclohydrolase |
| 计算分子量 | 350 aa, 38 kDa |
| 观测分子量 | 33-38 kDa |
| GenBank蛋白编号 | BC017054 |
| 基因名称 | MTHFD2 |
| Gene ID (NCBI) | 10797 |
| RRID | AB_2147525 |
| 偶联类型 | Unconjugated |
| 形式 | Liquid |
| 纯化方式 | Antigen affinity purification |
| UNIPROT ID | P13995 |
| 储存缓冲液 | PBS with 0.02% sodium azide and 50% glycerol, pH 7.3. |
| 储存条件 | Store at -20°C. Stable for one year after shipment. Aliquoting is unnecessary for -20oC storage. |
背景介绍
Methylenetetrahydrofolate dehydrogenase 2 (MTHFD2) is a folate-coupled mitochondrial metabolic enzyme characterized by methylenetetrahydrofolate dehydrogenase and cyclohydrolase activity. It was demonstrated that suppression of MTHFD2 inhibits methylation reactions, decreases protein synthesis and disrupts redox homeostasis, which may ultimately result in significant changes in cellular metabolic phenotype. MTHFD2 is reported to be up‐regulated in various tumours, such as lung adenocarcinoma(PMID: 34121323) and breast cancer(PMID: 34007312).
实验方案
| Product Specific Protocols | |
|---|---|
| FC protocol for MTHFD2 antibody 12270-1-AP | Download protocol |
| IF protocol for MTHFD2 antibody 12270-1-AP | Download protocol |
| IHC protocol for MTHFD2 antibody 12270-1-AP | Download protocol |
| IP protocol for MTHFD2 antibody 12270-1-AP | Download protocol |
| WB protocol for MTHFD2 antibody 12270-1-AP | Download protocol |
| Standard Protocols | |
|---|---|
| Click here to view our Standard Protocols |
发表文章
| Species | Application | Title |
|---|---|---|
Science mTORC1 induces purine synthesis through control of the mitochondrial tetrahydrofolate cycle. | ||
Cancer Cell Nrf2 redirects glucose and glutamine into anabolic pathways in metabolic reprogramming. | ||
Cell Metab Epstein-Barr-Virus-Induced One-Carbon Metabolism Drives B Cell Transformation. | ||
Cell Metab mTORC1 Regulates Mitochondrial Integrated Stress Response and Mitochondrial Myopathy Progression. |







