验证数据展示
经过测试的应用
| Positive WB detected in | U2OS cells, HEK-293 cells, rabbit testis tissue, rat testis tissue, LNCaP cells, HeLa cells, HepG2 cells |
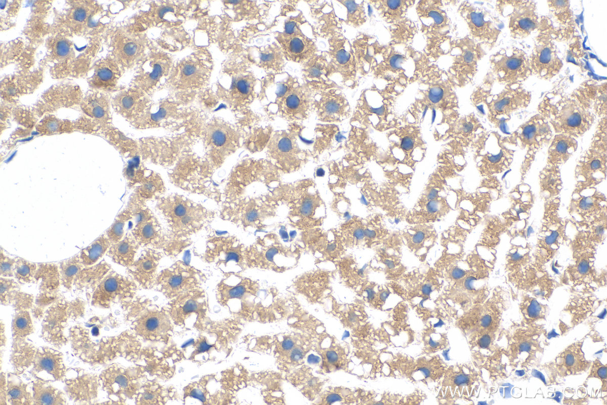
| Positive IHC detected in | mouse liver tissue Note: suggested antigen retrieval with TE buffer pH 9.0; (*) Alternatively, antigen retrieval may be performed with citrate buffer pH 6.0 |
| Positive FC (Intra) detected in | HepG2 cells |
推荐稀释比
| 应用 | 推荐稀释比 |
|---|---|
| Western Blot (WB) | WB : 1:5000-1:50000 |
| Immunohistochemistry (IHC) | IHC : 1:250-1:1000 |
| Flow Cytometry (FC) (INTRA) | FC (INTRA) : 0.40 ug per 10^6 cells in a 100 µl suspension |
| It is recommended that this reagent should be titrated in each testing system to obtain optimal results. | |
| Sample-dependent, Check data in validation data gallery. | |
产品信息
68321-1-Ig targets MTHFD1L in WB, IHC, FC (Intra), ELISA applications and shows reactivity with human, mouse, rat, rabbit samples.
| 经测试应用 | WB, IHC, FC (Intra), ELISA Application Description |
| 经测试反应性 | human, mouse, rat, rabbit |
| 免疫原 |
CatNo: Ag9061 Product name: Recombinant human MTHFD1L protein Source: e coli.-derived, PET28a Tag: 6*His Domain: 427-775 aa of BC017477 Sequence: GRMVVASDKSGQPVTADDLGVTGALTVLMKDAIKPNLMQTLEGTPVFVHAGPFANIAHGNSSVLADKIALKLVGEEGFVVTEAGFGADIGMEKFFNIKCRASGLVPNVVVLVATVRALKMHGGGPSVTAGVPLKKEYTEENIQLVADGCCNLQKQIQITQLFGVPVVVALNVFKTDTRAEIDLVCELAKRAGAFDAVPCYHWSVGGKGSVDLARAVREAASKRSRFQFLYDVQVPIVDKIRTIAQAVYGAKDIELSPEAQAKIDRYTQQGFGNLPICMAKTHLSLSHQPDKKGVPRDFILPISDVRASIGAGFIYPLVGTMSTMPGLPTRPCFYDIDLDTETEQVKGLF 种属同源性预测 |
| 宿主/亚型 | Mouse / IgG2b |
| 抗体类别 | Monoclonal |
| 产品类型 | Antibody |
| 全称 | methylenetetrahydrofolate dehydrogenase (NADP+ dependent) 1-like |
| 别名 | 1G1F2, EC:6.3.4.3, FTHFSDC1, Monofunctional C1-tetrahydrofolate synthase, mitochondrial, MTC1THFS |
| 计算分子量 | 978 aa, 106 kDa |
| 观测分子量 | 106 kDa |
| GenBank蛋白编号 | BC017477 |
| 基因名称 | MTHFD1L |
| Gene ID (NCBI) | 25902 |
| RRID | AB_2935394 |
| 偶联类型 | Unconjugated |
| 形式 | Liquid |
| 纯化方式 | Protein A purification |
| UNIPROT ID | Q6UB35 |
| 储存缓冲液 | PBS with 0.02% sodium azide and 50% glycerol, pH 7.3. |
| 储存条件 | Store at -20°C. Stable for one year after shipment. Aliquoting is unnecessary for -20oC storage. |
背景介绍
MTHFD1L(Monofunctional C1-tetrahydrofolate synthase, mitochondrial) is also named as FTHFSDC1(Formyltetrahydrofolate synthetase). MTHFD1L enzyme is present in mitochondria from normal embryonic tissues and embryonic fibroblast cell lines, and embryonic mitochondria possess the ability to synthesize formate from glycine. It catalyzes the final step in the mitochondrial conversion of 1-C units to formate in embryos. Moreover, MTHFD1L levels were substantially higher in embryonic mitochondria than in adult liver mitochondria and embryonic mitochondria exhibited greater formate production(PMID:19948730). It has 2 isoforms produced by alternative splicing.
实验方案
| Product Specific Protocols | |
|---|---|
| FC protocol for MTHFD1L antibody 68321-1-Ig | Download protocol |
| IHC protocol for MTHFD1L antibody 68321-1-Ig | Download protocol |
| WB protocol for MTHFD1L antibody 68321-1-Ig | Download protocol |
| Standard Protocols | |
|---|---|
| Click here to view our Standard Protocols |





