验证数据展示
经过测试的应用
| Positive WB detected in | HEK-293 cells, HCT 116 cells, Raji cells, HT-29 cells, HeLa cells, NIH/3T3 cells, C6 cells, mouse heart tissue |
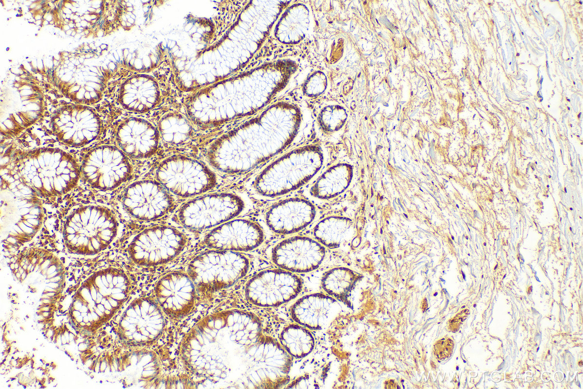
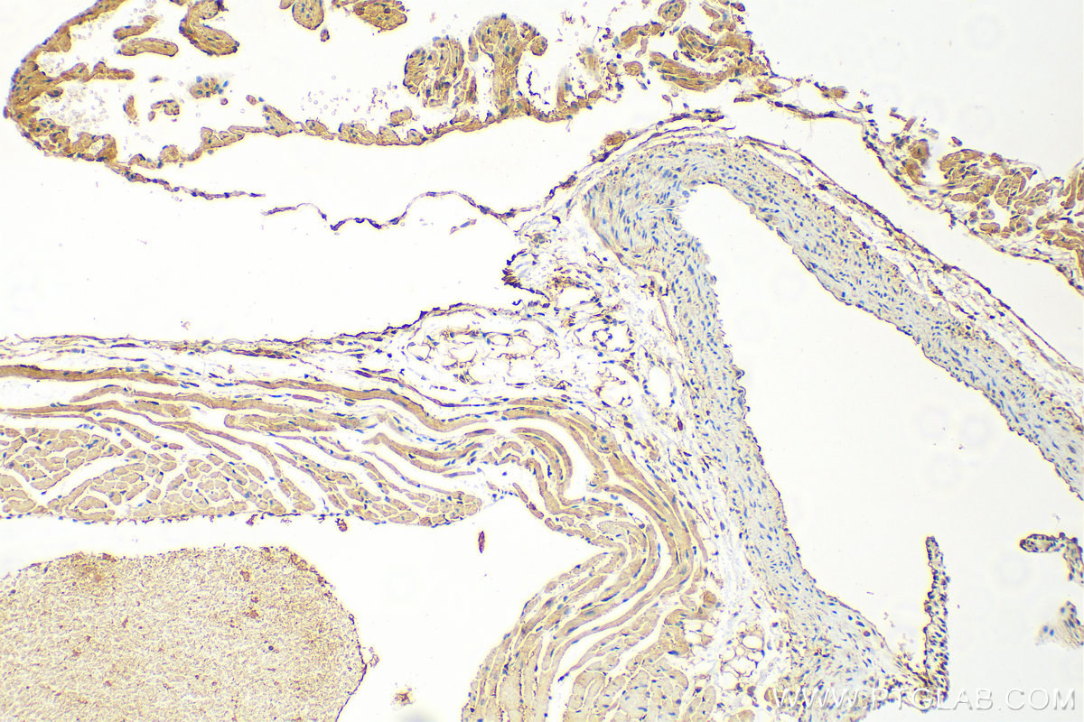
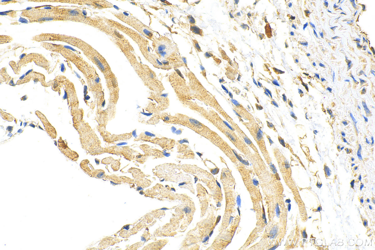
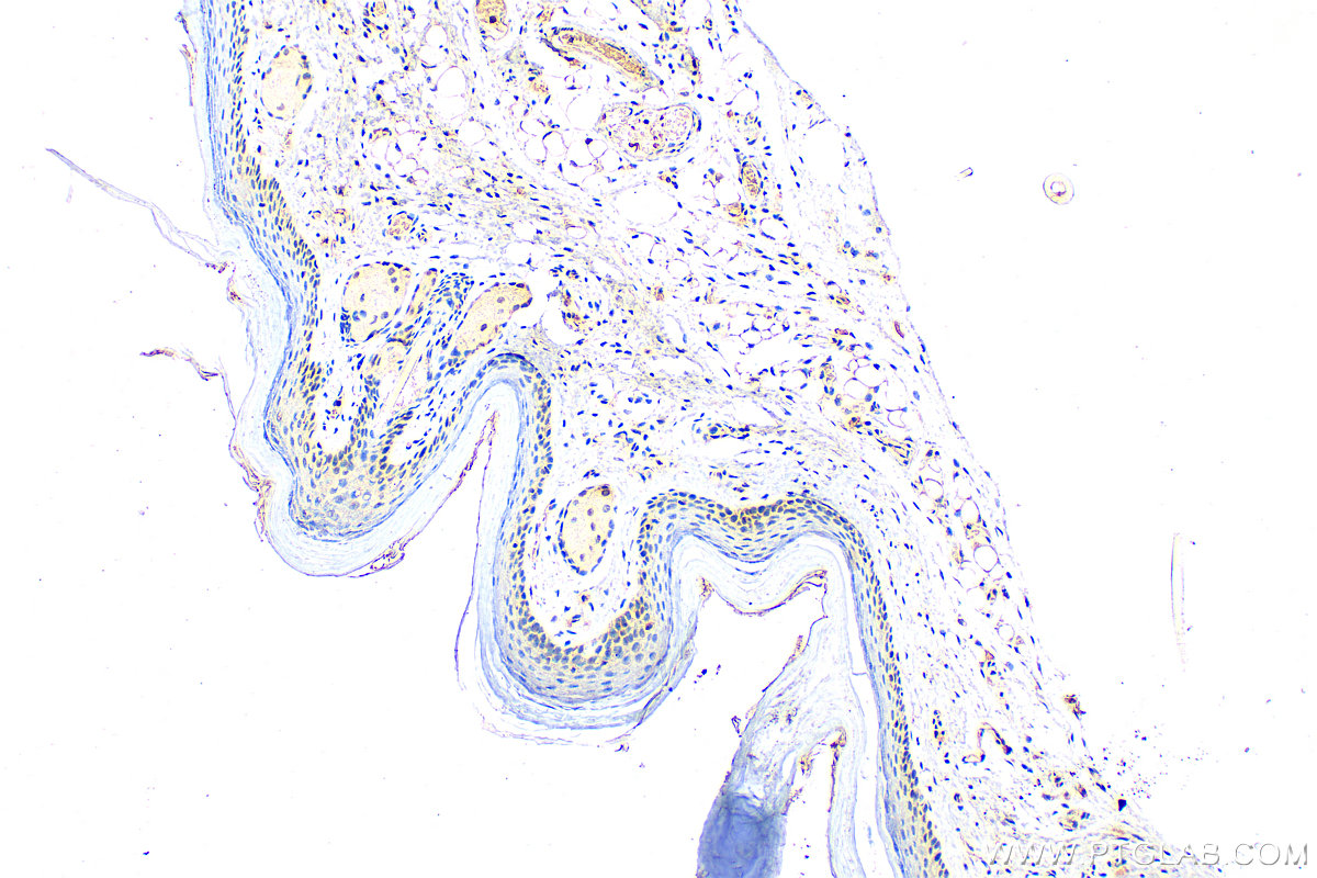
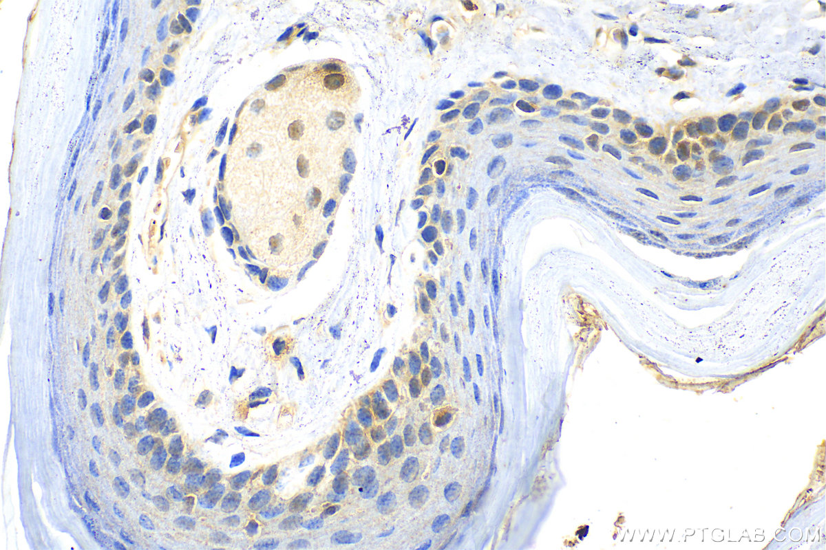
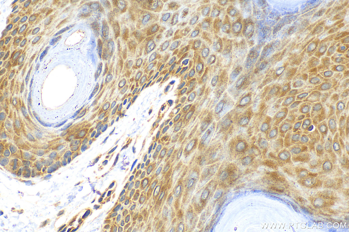
| Positive IHC detected in | human colon cancer tissue, human colon tissue, human liver cancer tissue, mouse heart tissue, mouse skin tissue, rat skin tissue Note: suggested antigen retrieval with TE buffer pH 9.0; (*) Alternatively, antigen retrieval may be performed with citrate buffer pH 6.0 |
| Positive IF/ICC detected in | HeLa cells |
推荐稀释比
| 应用 | 推荐稀释比 |
|---|---|
| Western Blot (WB) | WB : 1:2000-1:12000 |
| Immunohistochemistry (IHC) | IHC : 1:300-1:1200 |
| Immunofluorescence (IF)/ICC | IF/ICC : 1:50-1:500 |
| It is recommended that this reagent should be titrated in each testing system to obtain optimal results. | |
| Sample-dependent, Check data in validation data gallery. | |
产品信息
11475-1-AP targets MTAP in WB, IHC, IF/ICC, ELISA applications and shows reactivity with human, mouse, rat samples.
| 经测试应用 | WB, IHC, IF/ICC, ELISA Application Description |
| 文献引用应用 | WB, IHC |
| 经测试反应性 | human, mouse, rat |
| 文献引用反应性 | human, mouse, rat |
| 免疫原 |
CatNo: Ag2051 Product name: Recombinant human MTAP protein Source: e coli.-derived, PGEX-4T Tag: GST Domain: 1-154 aa of BC018625 Sequence: MASGTTTTAVKIGIIGGTGLDDPEILEGRTEKYVDTPFGKPSDALILGKIKNVDCILLARHGRQHTIMPSKVNYQANIWALKEEGCTHVIVTTACGSLREEIQPGDIVIIDQFIDSHVRRACFPFTFHHDCFQRPPQKPSRSHCVSCATCRTMS 种属同源性预测 |
| 宿主/亚型 | Rabbit / IgG |
| 抗体类别 | Polyclonal |
| 产品类型 | Antibody |
| 全称 | methylthioadenosine phosphorylase |
| 别名 | 5'-methylthioadenosine phosphorylase, c86fus, EC:2.4.2.28, MSAP, MTA phosphorylase |
| 计算分子量 | 283 aa, 31 kDa |
| 观测分子量 | 31 kDa |
| GenBank蛋白编号 | BC018625 |
| 基因名称 | MTAP |
| Gene ID (NCBI) | 4507 |
| RRID | AB_2147094 |
| 偶联类型 | Unconjugated |
| 形式 | Liquid |
| 纯化方式 | Antigen affinity purification |
| UNIPROT ID | Q13126 |
| 储存缓冲液 | PBS with 0.02% sodium azide and 50% glycerol, pH 7.3. |
| 储存条件 | Store at -20°C. Stable for one year after shipment. Aliquoting is unnecessary for -20oC storage. |
背景介绍
MTAP is a 5-deoxy-5-methylthioadenosine (MTA) phosphorylase, converting MTA to salvageable intermediates including adenine and 5-methylthioribose-1-phosphate. MTAP is abundant in normal cells, but it is frequently found to be deleted in a variety of cancers. Its deficiency is common in cancer cell lines as well as in primary leukemia, lung cancer, melanoma, bladder cancer, gliomas and breast cancer.
实验方案
| Product Specific Protocols | |
|---|---|
| IF protocol for MTAP antibody 11475-1-AP | Download protocol |
| IHC protocol for MTAP antibody 11475-1-AP | Download protocol |
| WB protocol for MTAP antibody 11475-1-AP | Download protocol |
| Standard Protocols | |
|---|---|
| Click here to view our Standard Protocols |
发表文章
| Species | Application | Title |
|---|---|---|
J Clin Invest SHARPIN-mediated regulation of protein arginine methyltransferase 5 controls melanoma growth. | ||
Nat Commun MTAP deficiency creates an exploitable target for antifolate therapy in 9p21-loss cancers. | ||
Nat Commun Pharmacological polyamine catabolism upregulation with methionine salvage pathway inhibition as an effective prostate cancer therapy. | ||
Clin Cancer Res Homozygous deletion of MTAP gene as a poor prognosticator in gastrointestinal stromal tumors. | ||
Oncoimmunology Suppressive effects of tumor cell-derived 5'-deoxy-5'-methylthioadenosine on human T cells. | ||
J Pathol Methylthioadenosine phosphorylase and activated insulin-like growth factor-1 receptor/insulin receptor: potential therapeutic targets in chordoma. |













