验证数据展示
经过测试的应用
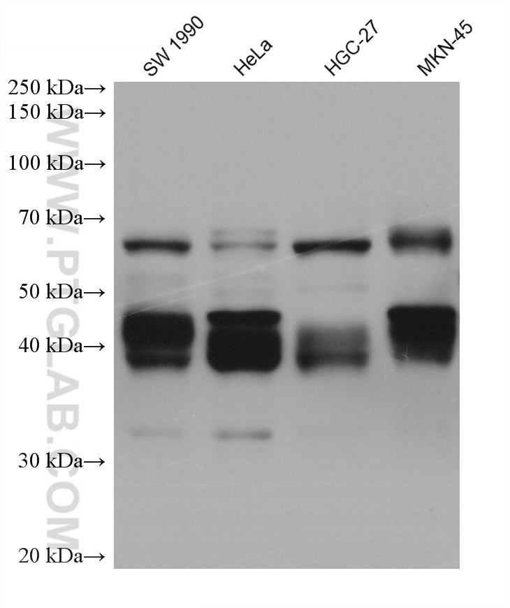
| Positive WB detected in | HeLa cells, SW 1990 cells, HGC-27 cells, MKN-45 cells |
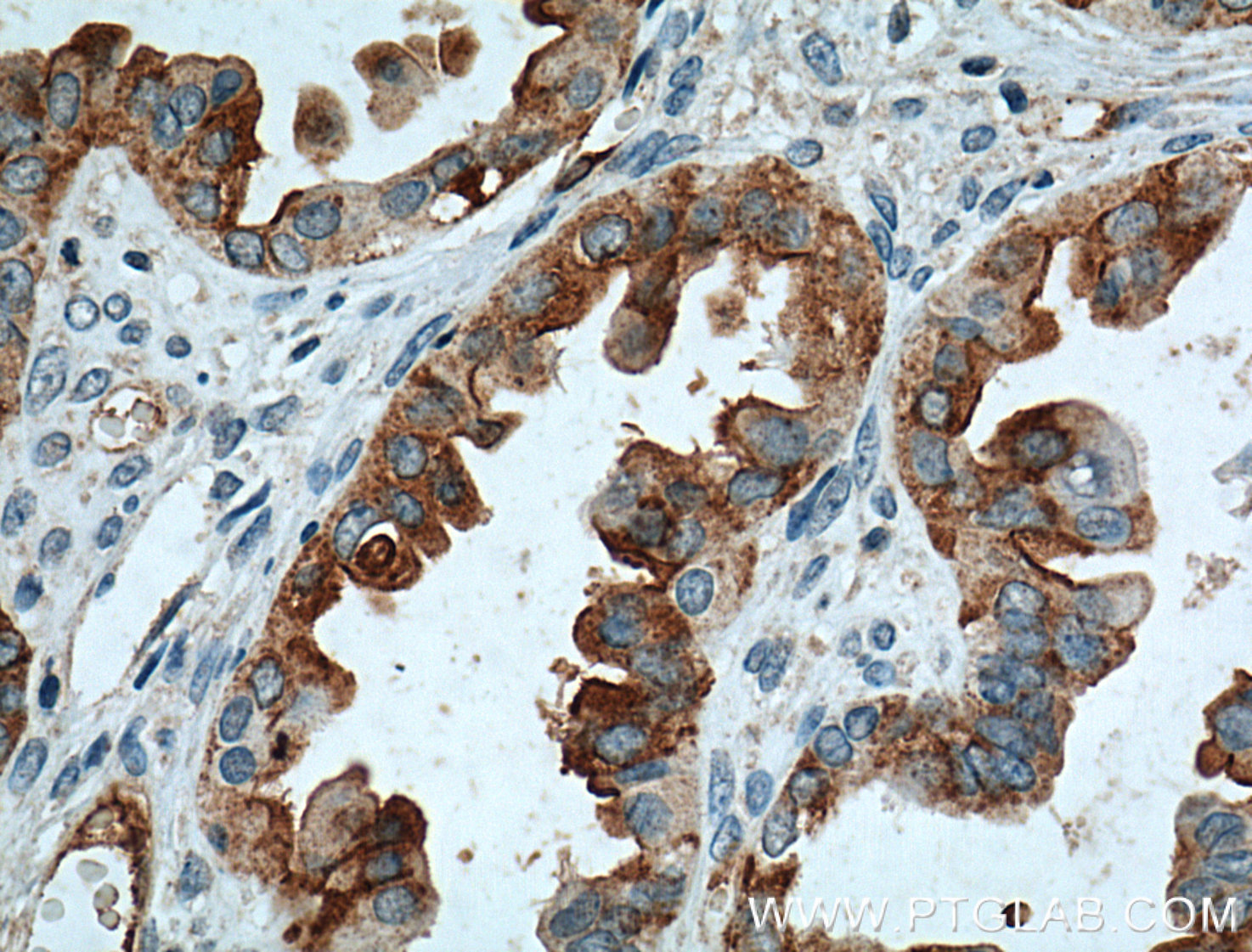
| Positive IHC detected in | human ovary tumor tissue Note: suggested antigen retrieval with TE buffer pH 9.0; (*) Alternatively, antigen retrieval may be performed with citrate buffer pH 6.0 |
推荐稀释比
| 应用 | 推荐稀释比 |
|---|---|
| Western Blot (WB) | WB : 1:500-1:2000 |
| Immunohistochemistry (IHC) | IHC : 1:50-1:500 |
| It is recommended that this reagent should be titrated in each testing system to obtain optimal results. | |
| Sample-dependent, Check data in validation data gallery. | |
发表文章中的应用
| WB | See 1 publications below |
| IHC | See 2 publications below |
产品信息
66404-1-Ig targets Mesothelin in WB, IHC, ELISA applications and shows reactivity with human samples.
| 经测试应用 | WB, IHC, ELISA Application Description |
| 文献引用应用 | WB, IHC |
| 经测试反应性 | human |
| 文献引用反应性 | human |
| 免疫原 |
CatNo: Ag23606 Product name: Recombinant human MSLN protein Source: e coli.-derived, PET30a Tag: 6*His Domain: 273-621 aa of BC003512 Sequence: RSSRDPSWRQPERTILRPRFRREVEKTACPSGKKAREIDESLIFYKKWELEACVDAALLATQMDRVNAIPFTYEQLDVLKHKLDELYPQGYPESVIQHLGYLFLKMSPEDIRKWNVTSLETLKALLEVNKGHEMSPQVATLIDRFVKGRGQLDKDTLDTLTAFYPGYLCSLSPEELSSVPPSSIWAVRPQDLDTCDPRQLDVLYPKARLAFQNMNGSEYFVKIQSFLGGAPTEDLKALSQQNVSMDLATFMKLRTDAVLPLTVAEVQKLLGPHVEGLKAEERHRPVRDWILRQRQDDLDTLGLGLQGGIPNGYLVLDLSVQEALSGTPCLLGPGPVLTVLALLLASTLA 种属同源性预测 |
| 宿主/亚型 | Mouse / IgG1 |
| 抗体类别 | Monoclonal |
| 产品类型 | Antibody |
| 全称 | mesothelin |
| 别名 | MSLN, MPF Mesothelin, cleaved form, MPF, Mesothelin, cleaved form, Megakaryocyte-potentiating factor |
| 计算分子量 | 69 kDa |
| 观测分子量 | 69 kDa, 40 kDa |
| GenBank蛋白编号 | BC003512 |
| 基因名称 | MSLN |
| Gene ID (NCBI) | 10232 |
| RRID | AB_2881778 |
| 偶联类型 | Unconjugated |
| 形式 | Liquid |
| 纯化方式 | Protein G purification |
| UNIPROT ID | Q13421 |
| 储存缓冲液 | PBS with 0.02% sodium azide and 50% glycerol, pH 7.3. |
| 储存条件 | Store at -20°C. Stable for one year after shipment. Aliquoting is unnecessary for -20oC storage. |
背景介绍
Mesothelin (MSLN) is a 40kDa GPI-anchored surface glycoprotein that is expressed on pleural and peritoneal mesothelial cells, but not in other non-neoplastic tissues. The mesothelin gene encodes a 69-71kDa precursor protein that is processed to a 40kDa membrane-bound protein termed mesothelin and a 31kDa shed fragment called megakaryocyte-potentiating factor (MPF) that is released from the cell. Mesothelin is a tumor differentiation antigen present at low levels on a restricted set of normal adult tissues (e.g. mesothelium), and is expressed at high levels in mesotheliomas, as well as ovarian, pancreatic, and lung cancers. Mesothelin may be a new target for immunotherapy (PMID: 20922056, 18691948, 15217923).
实验方案
| Product Specific Protocols | |
|---|---|
| IHC protocol for Mesothelin antibody 66404-1-Ig | Download protocol |
| WB protocol for Mesothelin antibody 66404-1-Ig | Download protocol |
| Standard Protocols | |
|---|---|
| Click here to view our Standard Protocols |
发表文章
| Species | Application | Title |
|---|---|---|
J Transl Med Single-cell and spatial transcriptome profiling reveal CTHRC1+ fibroblasts promote EMT through WNT5A signaling in colorectal cancer | ||
Front Oncol Insights into the role of MSLN-positive circulating tumor cell as an auxiliary diagnostic biomarker in epithelial ovarian cancer | ||
J Exp Clin Cancer Res Mesothelin promotes brain metastasis of non-small cell lung cancer by activating MET |



