验证数据展示
经过测试的应用
| Positive WB detected in | HepG2 cells, HeLa cells, mouse brain tissue |
| Positive IP detected in | HepG2 cells |
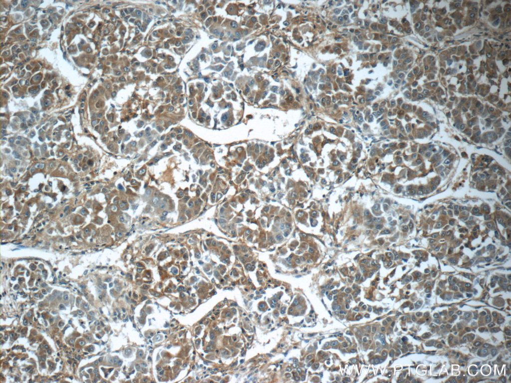
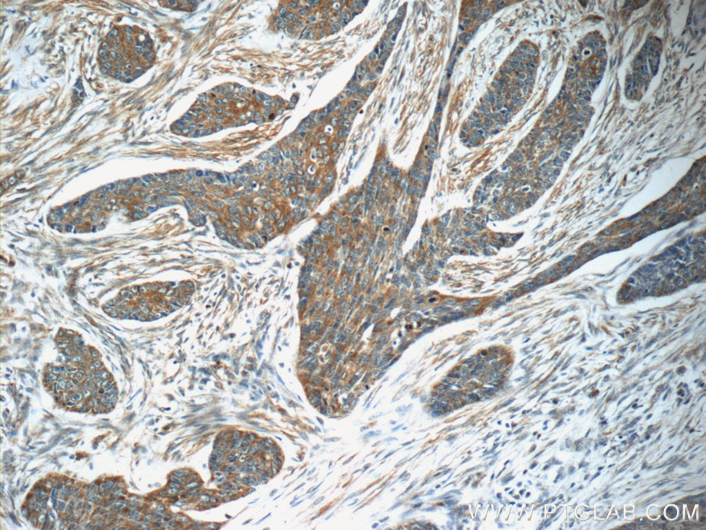
| Positive IHC detected in | human skin cancer tissue, human liver cancer tissue Note: suggested antigen retrieval with TE buffer pH 9.0; (*) Alternatively, antigen retrieval may be performed with citrate buffer pH 6.0 |
推荐稀释比
| 应用 | 推荐稀释比 |
|---|---|
| Western Blot (WB) | WB : 1:500-1:2000 |
| Immunoprecipitation (IP) | IP : 0.5-4.0 ug for 1.0-3.0 mg of total protein lysate |
| Immunohistochemistry (IHC) | IHC : 1:20-1:200 |
| It is recommended that this reagent should be titrated in each testing system to obtain optimal results. | |
| Sample-dependent, Check data in validation data gallery. | |
发表文章中的应用
| WB | See 4 publications below |
产品信息
15989-1-AP targets MRPS26 in WB, IHC, IP, ELISA applications and shows reactivity with human, mouse, rat samples.
| 经测试应用 | WB, IP, IHC, ELISA Application Description |
| 文献引用应用 | WB |
| 经测试反应性 | human, mouse, rat |
| 文献引用反应性 | human, mouse |
| 免疫原 |
CatNo: Ag8797 Product name: Recombinant human MRPS26 protein Source: e coli.-derived, PGEX-4T Tag: GST Domain: 1-205 aa of BC013018 Sequence: MLRALSRLGAGTPCRPRAPLVLPARGRKTRHDPLAKSKIERVNMPPAVDPAEFFVLMERYQHYRQTVRALRMEFVSEVQRKVHEARAGVLAERKALKDAAEHRELMAWNQAENRRLHELRIARLRQEEREQEQRQALEQARKAEEVQAWAQRKEREVLQLQEEVKNFITRENLEARVEAALDSRKNYNWAITREGLVVRPQRRDS 种属同源性预测 |
| 宿主/亚型 | Rabbit / IgG |
| 抗体类别 | Polyclonal |
| 产品类型 | Antibody |
| 全称 | mitochondrial ribosomal protein S26 |
| 别名 | C20orf193, GI008, MRP S13, MRP S26, MRPS13, MRPS26, NY BR 87, RPMS13, S13mt, S26mt |
| 计算分子量 | 205 aa, 24 kDa |
| 观测分子量 | 24 kDa |
| GenBank蛋白编号 | BC013018 |
| 基因名称 | MRPS26 |
| Gene ID (NCBI) | 64949 |
| RRID | AB_10858479 |
| 偶联类型 | Unconjugated |
| 形式 | Liquid |
| 纯化方式 | Antigen affinity purification |
| UNIPROT ID | Q9BYN8 |
| 储存缓冲液 | PBS with 0.02% sodium azide and 50% glycerol, pH 7.3. |
| 储存条件 | Store at -20°C. Stable for one year after shipment. Aliquoting is unnecessary for -20oC storage. |
实验方案
| Product Specific Protocols | |
|---|---|
| IHC protocol for MRPS26 antibody 15989-1-AP | Download protocol |
| IP protocol for MRPS26 antibody 15989-1-AP | Download protocol |
| WB protocol for MRPS26 antibody 15989-1-AP | Download protocol |
| Standard Protocols | |
|---|---|
| Click here to view our Standard Protocols |
发表文章
| Species | Application | Title |
|---|---|---|
iScience Supernumerary proteins of the human mitochondrial ribosomal small subunit are integral for assembly and translation | ||
Dis Model Mech Evaluating the feasibility of gene replacement strategies to treat MTRFR deficiency | ||
Life Sci Alliance Mitochondrial stress response triggered by defects in protein synthesis quality control. | ||
Clin Exp Immunol Cultured lymphocytes' mitochondrial genome integrity is not altered by cladribine |







