验证数据展示
经过测试的应用
| Positive WB detected in | A549 cells, mouse liver tissue, rat heart tissue, HEK-293 cells, MCF-7 cells, PC-3 cells, SH-SY5Y cells |
| Positive IP detected in | HeLa cells |
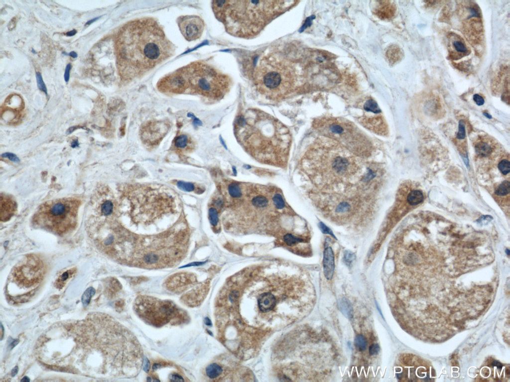
| Positive IHC detected in | human breast cancer tissue, human liver tissue Note: suggested antigen retrieval with TE buffer pH 9.0; (*) Alternatively, antigen retrieval may be performed with citrate buffer pH 6.0 |
| Positive FC (Intra) detected in | A549 cells |
推荐稀释比
| 应用 | 推荐稀释比 |
|---|---|
| Western Blot (WB) | WB : 1:2000-1:12000 |
| Immunoprecipitation (IP) | IP : 0.5-4.0 ug for 1.0-3.0 mg of total protein lysate |
| Immunohistochemistry (IHC) | IHC : 1:50-1:500 |
| Flow Cytometry (FC) (INTRA) | FC (INTRA) : 0.40 ug per 10^6 cells in a 100 µl suspension |
| It is recommended that this reagent should be titrated in each testing system to obtain optimal results. | |
| Sample-dependent, Check data in validation data gallery. | |
产品信息
16139-1-AP targets MRPS18B in WB, IHC, IF, FC (Intra), IP, CoIP, ELISA applications and shows reactivity with human, mouse, rat samples.
| 经测试应用 | WB, IHC, FC (Intra), IP, ELISA Application Description |
| 文献引用应用 | WB, IHC, IF, CoIP |
| 经测试反应性 | human, mouse, rat |
| 文献引用反应性 | human, mouse, rat |
| 免疫原 |
CatNo: Ag9198 Product name: Recombinant human MRPS18B protein Source: e coli.-derived, PGEX-4T Tag: GST Domain: 1-258 aa of BC005373 Sequence: MAASVLNTVLRRLPMLSLFRGSHRVQVPLQTLCTKAPSEEDSLSSVPISPYKDEPWKYLESEEYQERYGSRPVWADYRRNHKGGVPPQRTRKTCIRRNKVVGNPCPICRDHKLHVDFRNVKLLEQFVCAHTGIIFYAPYTGVCVKQHKRLTQAIQKARDHGLLIYHIPQVEPRDLDFSTSHGAVSATPPAPTLVSSDPWYPWYNWKQPPERELSRLRRLYQGHLQEESGPPPESMPKMPPRTPAEASSTGQTGPQSAL 种属同源性预测 |
| 宿主/亚型 | Rabbit / IgG |
| 抗体类别 | Polyclonal |
| 产品类型 | Antibody |
| 全称 | mitochondrial ribosomal protein S18B |
| 别名 | 28S ribosomal protein S18-2, mitochondrial, C6orf14, HSPC183, MRP S18 2, MRP S18 b |
| 计算分子量 | 258 aa, 29 kDa |
| 观测分子量 | 29 kDa |
| GenBank蛋白编号 | BC005373 |
| 基因名称 | MRPS18B |
| Gene ID (NCBI) | 28973 |
| RRID | AB_2146368 |
| 偶联类型 | Unconjugated |
| 形式 | Liquid |
| 纯化方式 | Antigen affinity purification |
| UNIPROT ID | Q9Y676 |
| 储存缓冲液 | PBS with 0.02% sodium azide and 50% glycerol, pH 7.3. |
| 储存条件 | Store at -20°C. Stable for one year after shipment. Aliquoting is unnecessary for -20oC storage. |
背景介绍
MRPS18B, also named as S18mt-b, MRP-S18-2 and C6orf14, belongs to the ribosomal protein S18P family. It is a component of the mitochondrial ribosome small subunit (28S) which comprises a 12S rRNA and about 30 distinct proteins. This antibody recognizes specifically the 29 kd MRPS18B protein.
实验方案
| Product Specific Protocols | |
|---|---|
| FC protocol for MRPS18B antibody 16139-1-AP | Download protocol |
| IHC protocol for MRPS18B antibody 16139-1-AP | Download protocol |
| IP protocol for MRPS18B antibody 16139-1-AP | Download protocol |
| WB protocol for MRPS18B antibody 16139-1-AP | Download protocol |
| Standard Protocols | |
|---|---|
| Click here to view our Standard Protocols |
发表文章
| Species | Application | Title |
|---|---|---|
Cell Host Microbe Inducible Germline IgMs Bridge Trypanosome Lytic Factor Assembly and Parasite Recognition. | ||
Cell Metab The mitochondrial RNA-binding protein GRSF1 localizes to RNA granules and is required for posttranscriptional mitochondrial gene expression. | ||
Nat Struct Mol Biol Translational control of the cytosolic stress response by mitochondrial ribosomal protein L18. | ||










