验证数据展示
经过测试的应用
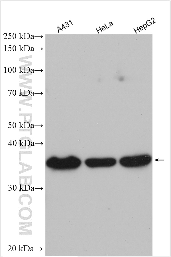
| Positive WB detected in | A431 cells, HeLa cells, HepG2 cells | 
| Positive IHC detected in | human cervical cancer tissue,  human liver cancer tissue Note: suggested antigen retrieval with TE buffer pH 9.0; (*) Alternatively, antigen retrieval may be performed with citrate buffer pH 6.0 | 
推荐稀释比
| 应用 | 推荐稀释比 | 
|---|---|
| Western Blot (WB) | WB : 1:500-1:3000 | 
| Immunohistochemistry (IHC) | IHC : 1:20-1:200 | 
| It is recommended that this reagent should be titrated in each testing system to obtain optimal results. | |
| Sample-dependent, Check data in validation data gallery. | |
发表文章中的应用
| WB | See 6 publications below | 
产品信息
16584-1-AP targets MRPL3 in WB, IHC, ELISA applications and shows reactivity with human, mouse, rat samples.
| 经测试应用 | WB, IHC, ELISA Application Description | 
| 文献引用应用 | WB | 
| 经测试反应性 | human, mouse, rat | 
| 文献引用反应性 | human | 
| 免疫原 | CatNo: Ag9970 Product name: Recombinant human MRPL3 protein Source: e coli.-derived, PGEX-4T Tag: GST Domain: 1-348 aa of BC003375 Sequence: MPGWRLLTQVGAQVLGRLGDGLGAALGPGNRTHIWLFVRGLHGKSGTWWDEHLSEENVPFIKQLVSDEDKAQLASKLCPLKDEPWPIHPWEPGSFRVGLIALKLGMMPLWTKDGQKHVVTLLQVQDCHVLKYTSKENCNGKMATLSVGGKTVSRFRKATSILEFYRELGLPPKQTVKIFNITDNAAIKPGTPLYAAHFRPGQYVDVTAKTIGKGFQGVMKRWGFKGQPATHGQTKTHRRPGAVATGDIGRVWPGTKMPGKMGNIYRTEYGLKVWRINTKHNIIYVNGSVPGHKNCLVKVKDSKLPAYKDLGKNLPFPTYFPDGDEEELPEDLYDENVCQPGAPSITFA种属同源性预测 | 
| 宿主/亚型 | Rabbit / IgG | 
| 抗体类别 | Polyclonal | 
| 产品类型 | Antibody | 
| 全称 | mitochondrial ribosomal protein L3 | 
| 别名 | MRP-L3, MRPL 3, MRP L3, MRL3, L3mt | 
| 计算分子量 | 39 kDa | 
| 观测分子量 | 35-39 kDa | 
| GenBank蛋白编号 | BC003375 | 
| 基因名称 | MRPL3 | 
| Gene ID (NCBI) | 11222 | 
| RRID | AB_10639509 | 
| 偶联类型 | Unconjugated | 
| 形式 | Liquid | 
| 纯化方式 | Antigen affinity purification | 
| UNIPROT ID | P09001 | 
| 储存缓冲液 | PBS with 0.02% sodium azide and 50% glycerol, pH 7.3. | 
| 储存条件 | Store at -20°C. Stable for one year after shipment. Aliquoting is unnecessary for -20oC storage. | 
背景介绍
MRPL3, also named as 39S ribosomal protein L3, mitochondrial or RPML3, is a 348 amino acid protein, which belongs to the ribosomal protein L3P family. MRPL3 localizes in the Mitochondrion and has an association with combined oxidative phosphorylation deficiency 9. MRPL3 plays role in the mitochondrial proteins biosynthesis and ribosomal structure and biogenesis.
实验方案
| Product Specific Protocols | |
|---|---|
| IHC protocol for MRPL3 antibody 16584-1-AP | Download protocol | 
| WB protocol for MRPL3 antibody 16584-1-AP | Download protocol | 
| Standard Protocols | |
|---|---|
| Click here to view our Standard Protocols | 
发表文章
| Species | Application | Title | 
|---|---|---|
| Elife Defining the interactome of the human mitochondrial ribosome identifies SMIM4 and TMEM223 as respiratory chain assembly factors. | ||
| Biochim Biophys Acta Mutations in mitochondrial ribosomal protein MRPL12 leads to growth retardation, neurological deterioration and mitochondrial translation deficiency. | ||
| STAR Protoc Protocol to study human mitochondrial ribosome using quantitative density gradient analysis by mass spectrometry and complexome profiling analysis | ||





