验证数据展示
经过测试的应用
| Positive WB detected in | Saos-2 cells, U2OS cells, A172 cells, mouse lung tissue, rat lung tissue |
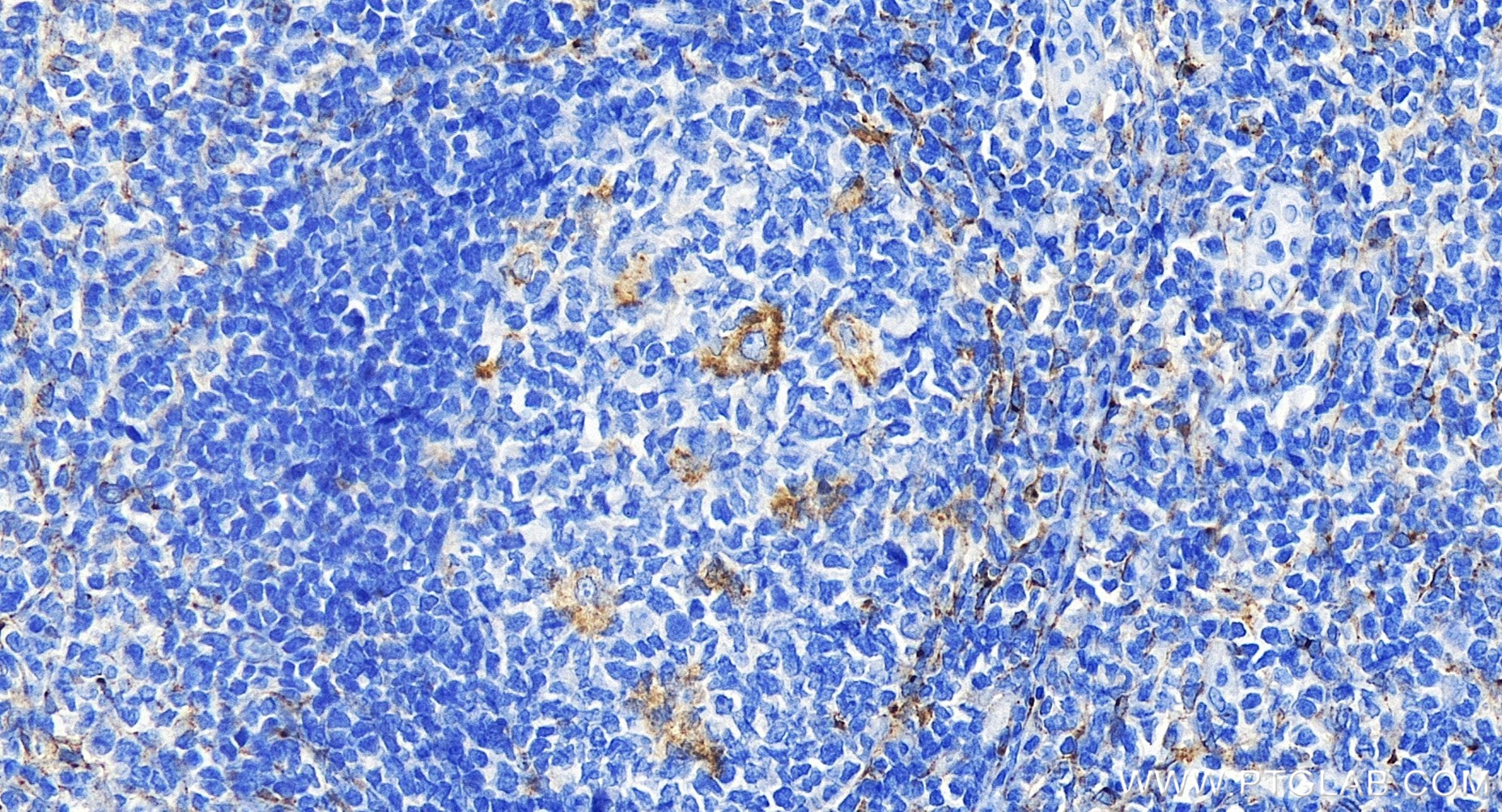
| Positive IHC detected in | human tonsillitis tissue Note: suggested antigen retrieval with TE buffer pH 9.0; (*) Alternatively, antigen retrieval may be performed with citrate buffer pH 6.0 |
推荐稀释比
| 应用 | 推荐稀释比 |
|---|---|
| Western Blot (WB) | WB : 1:2000-1:10000 |
| Immunohistochemistry (IHC) | IHC : 1:400-1:1600 |
| It is recommended that this reagent should be titrated in each testing system to obtain optimal results. | |
| Sample-dependent, Check data in validation data gallery. | |
产品信息
86028-1-RR targets MRC2 in WB, IHC, ELISA applications and shows reactivity with human, mouse, rat samples.
| 经测试应用 | WB, IHC, ELISA Application Description |
| 经测试反应性 | human, mouse, rat |
| 免疫原 |
CatNo: Eg2653 Product name: Recombinant Human MRC2 protein (rFc Tag) Source: mammalian cells-derived, V37 Tag: C-rFc Domain: 31-1414 aa of NM_006039.5 Sequence: GAPGDAALPEPNVFLIFSHGLQGCLEAQGGQVRVTPACNTSLPAQRWKWVSRNRLFNLGTMQCLGTGWPGTNTTASLGMYECDREALNLRWHCRTLGDQLSLLLGARTSNISKPGTLERGDQTRSGQWRIYGSEEDLCALPYHEVYTIQGNSHGKPCTIPFKYDNQWFHGCTSTGREDGHLWCATTQDYGKDERWGFCPIKSNDCETFWDKDQLTDSCYQFNFQSTLSWREAWASCEQQGADLLSITEIHEQTYINGLLTGYSSTLWIGLNDLDTSGGWQWSDNSPLKYLNWESDQPDNPSEENCGVIRTESSGGWQNRDCSIALPYVCKKKPNATAEPTPPDRWANVKVECEPSWQPFQGHCYRLQAEKRSWQESKKACLRGGGDLVSIHSMAELEFITKQIKQEVEELWIGLNDLKLQMNFEWSDGSLVSFTHWHPFEPNNFRDSLEDCVTIWGPEGRWNDSPCNQSLPSICKKAGQLSQGAAEEDHGCRKGWTWHSPSCYWLGEDQVTYSEARRLCTDHGSQLVTITNRFEQAFVSSLIYNWEGEYFWTALQDLNSTGSFFWLSGDEVMYTHWNRDQPGYSRGGCVALATGSAMGLWEVKNCTSFRARYICRQSLGTPVTPELPGPDPTPSLTGSCPQGWASDTKLRYCYKVFSSERLQDKKSWVQAQGACQELGAQLLSLASYEEEHFVANMLNKIFGESEPEIHEQHWFWIGLNRRDPRGGQSWRWSDGVGFSYHNFDRSRHDDDDIRGCAVLDLASLQWVAMQCDTQLDWICKIPRGTDVREPDDSPQGRREWLRFQEAEYKFFEHHSTWAQAQRICTWFQAELTSVHSQAELDFLSHNLQKFSRAQEQHWWIGLHTSESDGRFRWTDGSIINFISWAPGKPRPVGKDKKCVYMTASREDWGDQRCLTALPYICKRSNVTKETQPPDLPTTALGGCPSDWIQFLNKCFQVQGQEPQSRVKWSEAQFSCEQQEAQLVTITNPLEQAFITASLPNVTFDLWIGLHASQRDFQWVEQEPLMYANWAPGEPSGPSPAPSGNKPTSCAVVLHSPSAHFTGRWDDRSCTEETHGFICQKGTDPSLSPSPAALPPAPGTELSYLNGTFRLLQKPLRWHDALLLCESRNASLAYVPDPYTQAFLTQAARGLRTPLWIGLAGEEGSRRYSWVSEEPLNYVGWQDGEPQQPGGCTYVDVDGAWRTTSCDTKLQGAVCGVSSGPPPPRRISYHGSCPQGLADSAWIPFREHCYSFHMELLLGHKEARQRCQRAGGAVLSILDEMENVFVWEHLQSYEGQSRGAWLGMNFNPKGGTLVWQDNTAVNYSNWGPPGLGPSMLSHNSCYWIQSNSGLWRPGACTNITMGVVCKLPRAEQSSFSPSALPENPAA 种属同源性预测 |
| 宿主/亚型 | Rabbit / IgG |
| 抗体类别 | Recombinant |
| 产品类型 | Antibody |
| 全称 | mannose receptor, C type 2 |
| 别名 | C type mannose receptor 2, CD280, CLEC13E, C-type lectin domain family 13 member E, C-type mannose receptor 2 |
| 计算分子量 | 167 kDa |
| 观测分子量 | 180 kDa |
| GenBank蛋白编号 | NM_006039.5 |
| 基因名称 | MRC2 |
| Gene ID (NCBI) | 9902 |
| RRID | AB_3744562 |
| 偶联类型 | Unconjugated |
| 形式 | Liquid |
| 纯化方式 | Protein A purification |
| UNIPROT ID | Q9UBG0 |
| 储存缓冲液 | PBS with 0.02% sodium azide and 50% glycerol, pH 7.3. |
| 储存条件 | Store at -20°C. Stable for one year after shipment. Aliquoting is unnecessary for -20oC storage. |
背景介绍
C-type mannose receptor 2 (MRC2), also known as CD280, CLEC13E, ENDO180, KIAA0709, or UPARAP, is a type I transmembrane glycoprotein that belongs to the macrophage mannose receptor protein family (PMID: 10683150; 10636902; 9734811). It contains an N-terminal cysteine-rich domain, a fibronectin type II domain (FNII), eight C-type-lectin-like domains, and a transmembrane region followed by a small cytoplasmic domain (PMID: 34012764). MRC2 is a recycling endocytic receptor that functions in both these cellular activities by promoting cell migration and uptake of collagens for intracellular degradation (PMID: 17974964). MRC2 is expressed in several cells and organs including fibroblasts, endothelial cells, and macrophages. Altered MRC2 expression has been associated with the development and progression of different cancers, including head and neck squamous cell carcinoma, breast cancer, hepatocellular cancer, and prostate cancer (PMID: 36188226; 37666484; 17974964; 25162823).
实验方案
| Product Specific Protocols | |
|---|---|
| IHC protocol for MRC2 antibody 86028-1-RR | Download protocol |
| WB protocol for MRC2 antibody 86028-1-RR | Download protocol |
| Standard Protocols | |
|---|---|
| Click here to view our Standard Protocols |


