验证数据展示
经过测试的应用
| Positive WB detected in | A549 cells, HeLa cells, HepG2 cells, mouse heart tissue, rat heart tissue |
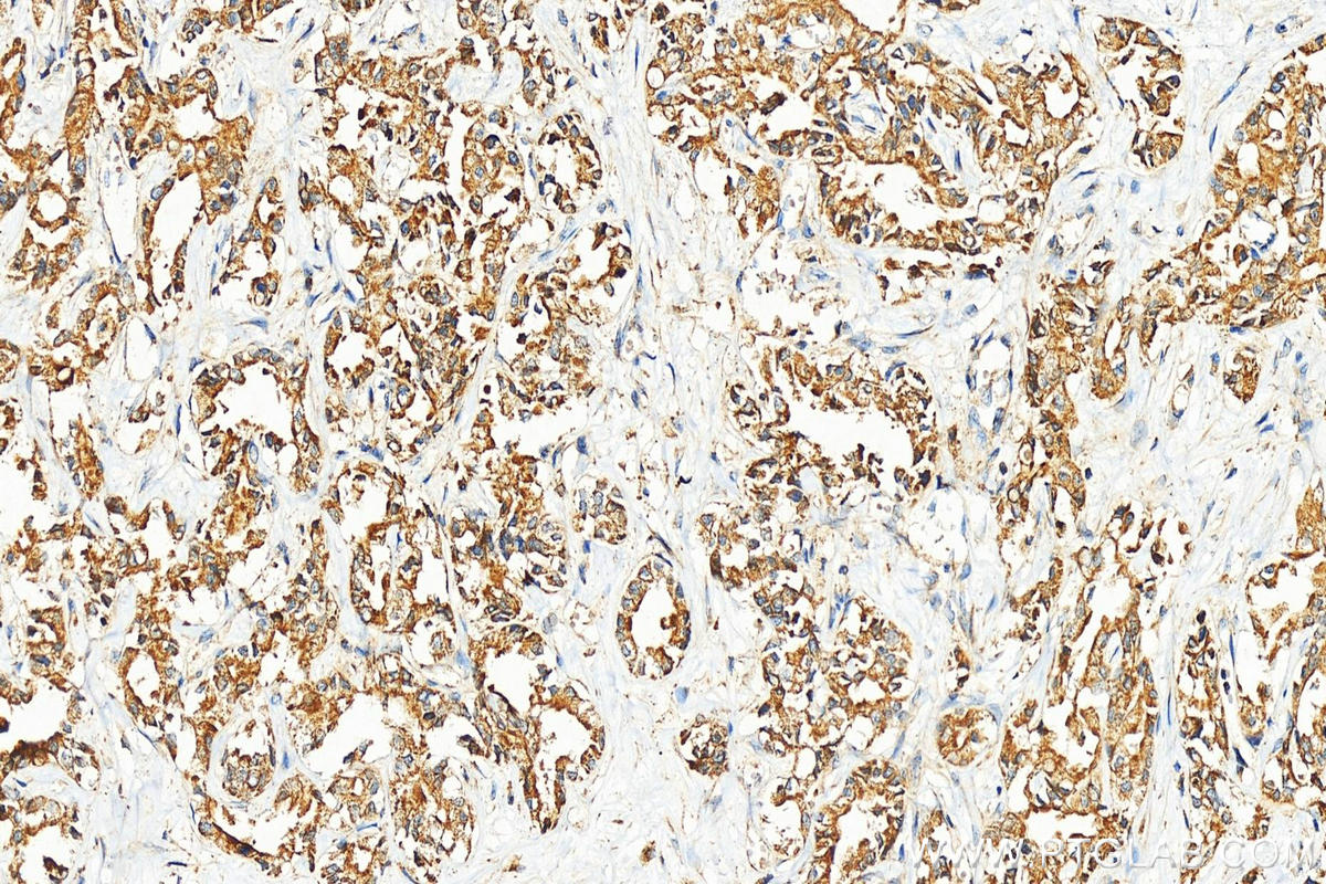
| Positive IHC detected in | human intrahepatic cholangiocarcinoma tissue Note: suggested antigen retrieval with TE buffer pH 9.0; (*) Alternatively, antigen retrieval may be performed with citrate buffer pH 6.0 |
| Positive IF/ICC detected in | HepG2 cells |
推荐稀释比
| 应用 | 推荐稀释比 |
|---|---|
| Western Blot (WB) | WB : 1:1000-1:4000 |
| Immunohistochemistry (IHC) | IHC : 1:250-1:1000 |
| Immunofluorescence (IF)/ICC | IF/ICC : 1:50-1:500 |
| It is recommended that this reagent should be titrated in each testing system to obtain optimal results. | |
| Sample-dependent, Check data in validation data gallery. | |
产品信息
10310-1-AP targets MPV17 in WB, IHC, IF/ICC, ELISA applications and shows reactivity with human, mouse, rat samples.
| 经测试应用 | WB, IHC, IF/ICC, ELISA Application Description |
| 文献引用应用 | WB, IF |
| 经测试反应性 | human, mouse, rat |
| 文献引用反应性 | human, mouse |
| 免疫原 |
CatNo: Ag0312 Product name: Recombinant human MPV17 protein Source: e coli.-derived, PGEX-4T Tag: GST Domain: 1-175 aa of BC001115 Sequence: MALWRAYQRALAAHPWKVQVLTAGSLMGLGDIISQQLVERRGLQEHQRGRTLTMVSLGCGFVGPVVGGWYKVLDRFIPGTTKVDALKKMLLDQGGFAPCFLGCFLPLVGALNGLSAQDNWAKLQRDYPDALITNYYLWPAVQLANFYLVPLHYRLAVVQCVAVIWNSYLSWKAHR 种属同源性预测 |
| 宿主/亚型 | Rabbit / IgG |
| 抗体类别 | Polyclonal |
| 产品类型 | Antibody |
| 全称 | MpV17 mitochondrial inner membrane protein |
| 别名 | Mitochondrial inner membrane protein Mpv17, Protein Mpv17 |
| 计算分子量 | 20 kDa |
| 观测分子量 | 20 kDa |
| GenBank蛋白编号 | BC001115 |
| 基因名称 | MPV17 |
| Gene ID (NCBI) | 4358 |
| RRID | AB_2144642 |
| 偶联类型 | Unconjugated |
| 形式 | Liquid |
| 纯化方式 | Antigen affinity purification |
| UNIPROT ID | P39210 |
| 储存缓冲液 | PBS with 0.02% sodium azide and 50% glycerol, pH 7.3. |
| 储存条件 | Store at -20°C. Stable for one year after shipment. Aliquoting is unnecessary for -20oC storage. |
背景介绍
MPV17, also termed as SYM1, encodes an inner mitochondrial membrane protein. It's potential candidate that may account for the mitochondrial (mt) DNA depletion syndromes (MDDS) characterized by a severe, tissue-specific decrease of mtDNA copy number and ultimate organ failure. It's a human ortholog of the mouse kidney disease gene Mpv17. Absence or malfunction of MPV17 causes oxidative phosphorylation (OXPHOS) failure and mtDNA depletion, not only in affected individuals but also in Mpv17-/- mice. MPV17 contribute to ROS homeostasis, but the downstream signaling is unknown yet. Catalog# 10310-1-AP is a rabbit polyclonal antibody raised against the full-length of human MPV17.
实验方案
| Product Specific Protocols | |
|---|---|
| IF protocol for MPV17 antibody 10310-1-AP | Download protocol |
| IHC protocol for MPV17 antibody 10310-1-AP | Download protocol |
| WB protocol for MPV17 antibody 10310-1-AP | Download protocol |
| Standard Protocols | |
|---|---|
| Click here to view our Standard Protocols |
发表文章
| Species | Application | Title |
|---|---|---|
Nat Genet MPV17 encodes an inner mitochondrial membrane protein and is mutated in infantile hepatic mitochondrial DNA depletion.
| ||
Nucleic Acids Res Aberrant ribonucleotide incorporation and multiple deletions in mitochondrial DNA of the murine MPV17 disease model. | ||
Mol Ther AAV-mediated liver-specific MPV17 expression restores mtDNA levels and prevents diet-induced liver failure.
| ||
PLoS Genet MPV17 Loss Causes Deoxynucleotide Insufficiency and Slow DNA Replication in Mitochondria.
| ||



