验证数据展示
经过测试的应用
| Positive WB detected in | rat testis tissue | 
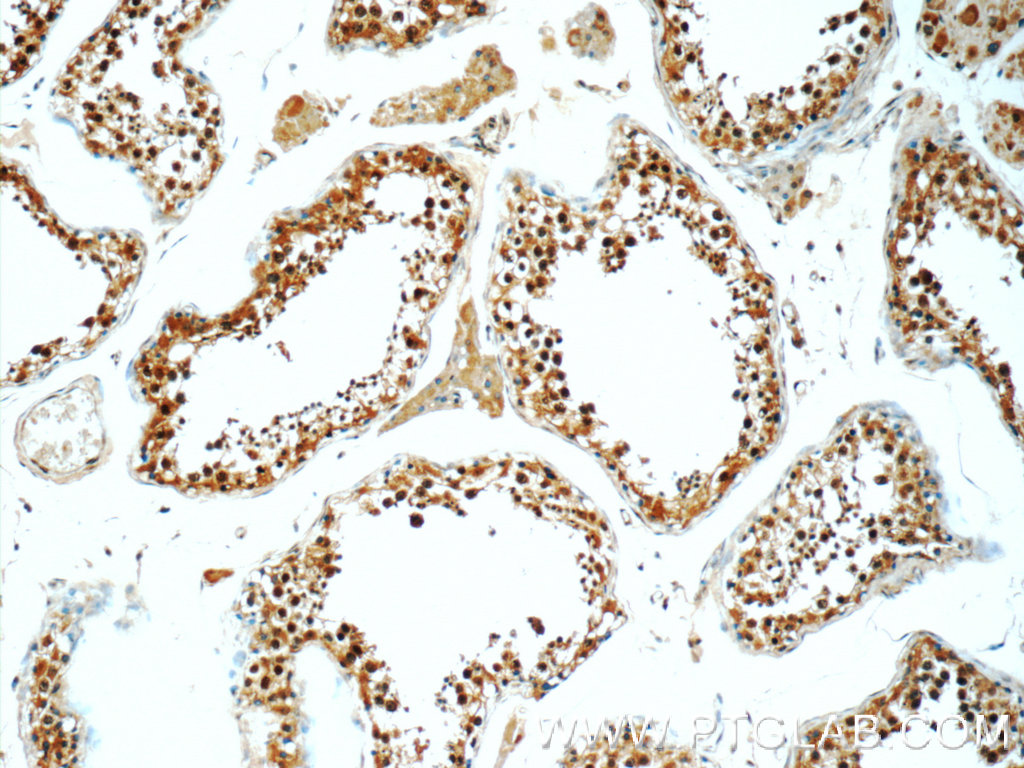
| Positive IHC detected in | human testis tissue Note: suggested antigen retrieval with TE buffer pH 9.0; (*) Alternatively, antigen retrieval may be performed with citrate buffer pH 6.0 | 
推荐稀释比
| 应用 | 推荐稀释比 | 
|---|---|
| Western Blot (WB) | WB : 1:500-1:2000 | 
| Immunohistochemistry (IHC) | IHC : 1:20-1:200 | 
| It is recommended that this reagent should be titrated in each testing system to obtain optimal results. | |
| Sample-dependent, Check data in validation data gallery. | |
产品信息
12693-1-AP targets MNS1 in WB, IHC, ELISA applications and shows reactivity with human, mouse, rat samples.
| 经测试应用 | WB, IHC, ELISA Application Description | 
| 经测试反应性 | human, mouse, rat | 
| 免疫原 | CatNo: Ag3423 Product name: Recombinant human MNS1 protein Source: e coli.-derived, PGEX-4T Tag: GST Domain: 189-495 aa of BC034991 Sequence: LDLEKQLEEQEKKKQEAYEQLLKEKLMIDEIVRKIYEEDQLEKQQKLEKMNAMRRYIEEFQKEQALWRKKKREEMEEENRKIIEFANMQQQREEDRMAKVQENEEKRLQLQNALTQKLEEMLRQREDLEQVRQELYQEEQAEIYKSKLKEEAEKKLRKQKEMKQDFEEQMALKELVLQAAKEEEENFRKTMLAKFAEDDRIELMNAQKQRMKQLEHRRAVEKLIEERRQQFLADKQRGLEEWQLQQRRQGFINAIIEEERLKLLKEHATNLLGYLPKGVFKKEDDIDLLGEEFRKVYQQRSEICEEK种属同源性预测 | 
| 宿主/亚型 | Rabbit / IgG | 
| 抗体类别 | Polyclonal | 
| 产品类型 | Antibody | 
| 全称 | meiosis-specific nuclear structural 1 | 
| 别名 | meiosis nuclear structural 1, MNS1 | 
| 计算分子量 | 495 aa, 61 kDa | 
| 观测分子量 | 55-60 kDa | 
| GenBank蛋白编号 | BC034991 | 
| 基因名称 | MNS1 | 
| Gene ID (NCBI) | 55329 | 
| RRID | AB_2877875 | 
| 偶联类型 | Unconjugated | 
| 形式 | Liquid | 
| 纯化方式 | Antigen affinity purification | 
| UNIPROT ID | Q8NEH6 | 
| 储存缓冲液 | PBS with 0.02% sodium azide and 50% glycerol, pH 7.3. | 
| 储存条件 | Store at -20°C. Stable for one year after shipment. Aliquoting is unnecessary for -20oC storage. | 
背景介绍
Meiosis-specific nuclear structural 1 (MNS1), is abundantly expressed in post-meiotic spermatids and is required for proper flagellar formation and function. Male mice deficient in MNS1 display decreased sperm production and are sterile because their sperm are immotile. The microtubules and ODFs of the flagella are disrupted, resulting in abnormal, short sperm tails. In addition, MNS1 is also required for motile ciliary functions.
实验方案
| Product Specific Protocols | |
|---|---|
| IHC protocol for MNS1 antibody 12693-1-AP | Download protocol | 
| WB protocol for MNS1 antibody 12693-1-AP | Download protocol | 
| Standard Protocols | |
|---|---|
| Click here to view our Standard Protocols | 




