验证数据展示
经过测试的应用
| Positive WB detected in | HT-1080 cells, MCF-7 cells, U-87 MG cells, HepG2 cells, U-251 cells, J774A.1 cells |
| Positive IP detected in | MCF-7 cells |
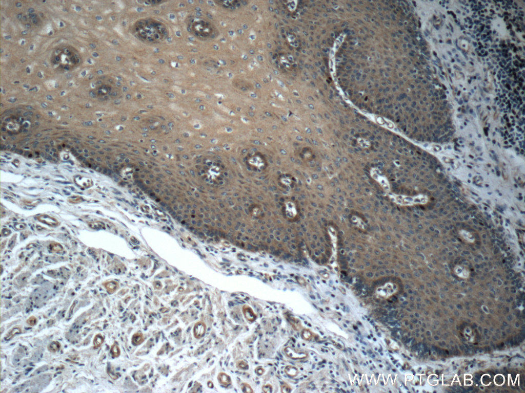
| Positive IHC detected in | human gliomas tissue, human placenta tissue, human prostate cancer tissue, human heart tissue, human oesophagus tissue, human breast cancer tissue Note: suggested antigen retrieval with TE buffer pH 9.0; (*) Alternatively, antigen retrieval may be performed with citrate buffer pH 6.0 |
| Positive IF-P detected in | human placenta tissue |
| Positive IF/ICC detected in | HepG2 cells |
In sample preparation, the extracellular matrix needs to be included
推荐稀释比
| 应用 | 推荐稀释比 |
|---|---|
| Western Blot (WB) | WB : 1:500-1:1000 |
| Immunoprecipitation (IP) | IP : 0.5-4.0 ug for 1.0-3.0 mg of total protein lysate |
| Immunohistochemistry (IHC) | IHC : 1:100-1:400 |
| Immunofluorescence (IF)-P | IF-P : 1:50-1:500 |
| Immunofluorescence (IF)/ICC | IF/ICC : 1:200-1:800 |
| It is recommended that this reagent should be titrated in each testing system to obtain optimal results. | |
| Sample-dependent, Check data in validation data gallery. | |
产品信息
10373-2-AP targets MMP2 in WB, IHC, IF/ICC, IF-P, IP, ELISA applications and shows reactivity with human, mouse samples.
| 经测试应用 | WB, IHC, IF/ICC, IF-P, IP, ELISA Application Description |
| 文献引用应用 | WB, IHC, IF, IP |
| 经测试反应性 | human, mouse |
| 文献引用反应性 | human, mouse, rat, pig, rabbit, monkey, bovine, fish |
| 免疫原 |
CatNo: Ag0549 Product name: Recombinant human MMP2 protein Source: e coli.-derived, PGEX-4T Tag: GST Domain: 461-660 aa of BC002576 Sequence: LGPVTPEICKQDIVFDGIAQIRGEIFFFKDRFIWRTVTPRDKPMGPLLVATFWPELPEKIDAVYEAPQEEKAVFFAGNEYWIYSASTLERGYPKPLTSLGLPPDVQRVDAAFNWSKNKKTYIFAGDKFWRYNEVKKKMDPGFPKLIADAWNAIPDNLDAVVDLQGGGHSYFFKGAYYLKLENQSLKSVKFGSIKSDWLGC 种属同源性预测 |
| 宿主/亚型 | Rabbit / IgG |
| 抗体类别 | Polyclonal |
| 产品类型 | Antibody |
| 全称 | matrix metallopeptidase 2 (gelatinase A, 72kDa gelatinase, 72kDa type IV collagenase) |
| 别名 | 72 kDa gelatinase, 72 kDa type IV collagenase, CLG4A, EC:3.4.24.24, Gelatinase A |
| 计算分子量 | 72 kDa |
| 观测分子量 | 62-72 kDa |
| GenBank蛋白编号 | BC002576 |
| 基因名称 | MMP2 |
| Gene ID (NCBI) | 4313 |
| RRID | AB_2250823 |
| 偶联类型 | Unconjugated |
| 形式 | Liquid |
| 纯化方式 | Antigen affinity purification |
| UNIPROT ID | P08253 |
| 储存缓冲液 | PBS with 0.02% sodium azide and 50% glycerol, pH 7.3. |
| 储存条件 | Store at -20°C. Stable for one year after shipment. Aliquoting is unnecessary for -20oC storage. |
背景介绍
MMP2, also named as CLG4A, Gelatinase Am, TBE-1 and PEX, belongs to the peptidase M10A family. It is ubiquitinous metalloproteinase that is involved in diverse functions such as remodeling of the vasculature, angiogenesis, tissue repair, tumor invasion, inflammation, and atherosclerotic plaque rupture. MMP2 contributes to myocardial oxidative stress by regulating the activity of GSK3beta. It cleaves GSK3beta in vitro. MMP2 can be cleaved into PEX chain(~60kd). Western blot analysis showed that the 72 kDa and 62/65 kDa proteinase activities were pro-MMP2 and the active enzyme, respectively (PMID:11112697,PMID: 30867536).
实验方案
| Product Specific Protocols | |
|---|---|
| IF protocol for MMP2 antibody 10373-2-AP | Download protocol |
| IHC protocol for MMP2 antibody 10373-2-AP | Download protocol |
| IP protocol for MMP2 antibody 10373-2-AP | Download protocol |
| WB protocol for MMP2 antibody 10373-2-AP | Download protocol |
| Standard Protocols | |
|---|---|
| Click here to view our Standard Protocols |
发表文章
| Species | Application | Title |
|---|---|---|
J Thromb Haemost Pharmacological reduction of coagulation factor XI reduces macrophage accumulation and accelerates deep vein thrombosis resolution in a mouse model of venous thrombosis. | ||
Cell Host Microbe Gut microbiome dysbiosis contributes to abdominal aortic aneurysm by promoting neutrophil extracellular trap formation | ||
Circ Res Unspliced XBP1 Confers VSMC Homeostasis and Prevents Aortic Aneurysm Formation via FoxO4 Interaction. | ||
J Thorac Oncol Silencing NKD2 by Promoter Region Hypermethylation Promotes Esophageal Cancer Progression by Activating Wnt Signaling. | ||
Small M2 Macrophage Membrane-Mediated Biomimetic-Nanoparticle Carrying COX-siRNA Targeted Delivery for Prevention of Tendon Adhesions by Inhibiting Inflammation | ||
Nat Commun Cytoplasmic LIF reprograms invasive mode to enhance NPC dissemination through modulating YAP1-FAK/PXN signaling. |



















