验证数据展示
经过测试的应用
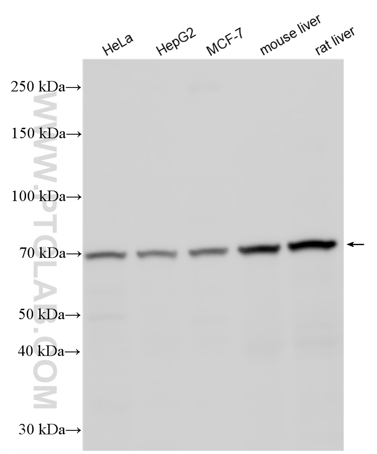
| Positive WB detected in | HeLa cells, MCF-7 cells, MDA-MB-453s cells, mouse liver tissue, rat liver tissue, HepG2 cells |
| Positive IP detected in | MCF-7 cells |
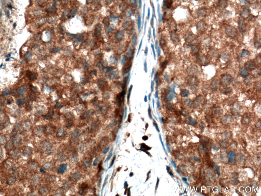
| Positive IHC detected in | human liver tissue, human hepatocirrhosis tissue, mouse liver tissue, human liver cancer tissue, human breast cancer tissue Note: suggested antigen retrieval with TE buffer pH 9.0; (*) Alternatively, antigen retrieval may be performed with citrate buffer pH 6.0 |
| Positive IF/ICC detected in | MCF-7 cells |
推荐稀释比
| 应用 | 推荐稀释比 |
|---|---|
| Western Blot (WB) | WB : 1:1000-1:4000 |
| Immunoprecipitation (IP) | IP : 0.5-4.0 ug for 1.0-3.0 mg of total protein lysate |
| Immunohistochemistry (IHC) | IHC : 1:50-1:500 |
| Immunofluorescence (IF)/ICC | IF/ICC : 1:50-1:500 |
| It is recommended that this reagent should be titrated in each testing system to obtain optimal results. | |
| Sample-dependent, Check data in validation data gallery. | |
产品信息
18165-1-AP targets MMP13 in WB, IHC, IF/ICC, IP, CoIP, ELISA applications and shows reactivity with human, mouse, rat samples.
| 经测试应用 | WB, IHC, IF/ICC, IP, ELISA Application Description |
| 文献引用应用 | WB, IHC, IF, CoIP |
| 经测试反应性 | human, mouse, rat |
| 文献引用反应性 | human, mouse, rat, pig, rabbit, zebrafish, bovine |
| 免疫原 |
CatNo: Ag12653 Product name: Recombinant human MMP13 protein Source: e coli.-derived, PGEX-4T Tag: GST Domain: 100-471 aa of BC074808 Sequence: DVGEYNVFPRTLKWSKMNLTYRIVNYTPDMTHSEVEKAFKKAFKVWSDVTPLNFTRLHDGIADIMISFGIKEHGDFYPFDGPSGLLAHAFPPGPNYGGDAHFDDDETWTSSSKGYNLFLVAAHEFGHSLGLDHSKDPGALMFPIYTYTGKSHFMLPDDDVQGIQSLYGPGDEDPNPKHPKTPDKCDPSLSLDAITSLRGETMIFKDRFFWRLHPQQVDAELFLTKSFWPELPNRIDAAYEHPSHDLIFIFRGRKFWALNGYDILEGYPKKISELGLPKEVKKISAAVHFEDTGKTLLFSGNQVWRYDDTNHIMDKDYPRLIEEDFPGIGDKVDAVYEKNGYIYFFNGPIQFEYSIWSNRIVRVMPANSILWC 种属同源性预测 |
| 宿主/亚型 | Rabbit / IgG |
| 抗体类别 | Polyclonal |
| 产品类型 | Antibody |
| 全称 | matrix metallopeptidase 13 |
| 别名 | CLG3, Collagenase 3, EC:3.4.24.-, Matrix metalloproteinase 13, Matrix metalloproteinase-13 |
| 计算分子量 | 471 aa, 54 kDa |
| 观测分子量 | 65-70 kDa, 50-55 kDa, 40 kDa |
| GenBank蛋白编号 | BC074808 |
| 基因名称 | MMP13 |
| Gene ID (NCBI) | 4322 |
| RRID | AB_2144858 |
| 偶联类型 | Unconjugated |
| 形式 | Liquid |
| 纯化方式 | Antigen affinity purification |
| UNIPROT ID | P45452 |
| 储存缓冲液 | PBS with 0.02% sodium azide and 50% glycerol, pH 7.3. |
| 储存条件 | Store at -20°C. Stable for one year after shipment. Aliquoting is unnecessary for -20oC storage. |
背景介绍
MMP-13(Matrix metalloproteinase-13), cleaves type I collagen and was previously thought to be the rodent analogue of human interstitial MMP-1. MMP-13 is found in hypertrophic and calcifying cartilage of mammalian growth plate. The bands seen with rat MMP-13 are consistent with a 59-kDa latent form and a 43-kDa active form reported for this enzyme, along with a smaller band at approximately 30 kDa(PMID:10771523). It also can be detected 3 bands that the glycosylated proMMP-13 (70 kDa), unglycosylated proform (55 kDa), and active MMP-13 enzyme (40kDa) by western blot(PMID:18332263).
实验方案
| Product Specific Protocols | |
|---|---|
| IF protocol for MMP13 antibody 18165-1-AP | Download protocol |
| IHC protocol for MMP13 antibody 18165-1-AP | Download protocol |
| IP protocol for MMP13 antibody 18165-1-AP | Download protocol |
| WB protocol for MMP13 antibody 18165-1-AP | Download protocol |
| Standard Protocols | |
|---|---|
| Click here to view our Standard Protocols |
发表文章
| Species | Application | Title |
|---|---|---|
Cell Stem Cell A human organoid drug screen identifies α2-adrenergic receptor signaling as a therapeutic target for cartilage regeneration | ||
Bioact Mater Synergizing adaptive immunity and regenerative signals to enhance osteochondral defects repair | ||
Sci Transl Med Single-cell atlas of human infrapatellar fat pad and synovium implicates APOE signaling in osteoarthritis pathology | ||
Nat Commun Osteocyte-derived extracellular vesicles mediate the bone-to-cartilage crosstalk and promote osteoarthritis progression | ||
Adv Sci (Weinh) Inflammatory Fibroblast-Like Synoviocyte-Derived Exosomes Aggravate Osteoarthritis via Enhancing Macrophage Glycolysis |














