验证数据展示
经过测试的应用
| Positive WB detected in | mouse kidney tissue, rat kidney tissue |
| Positive IP detected in | mouse liver tissue |
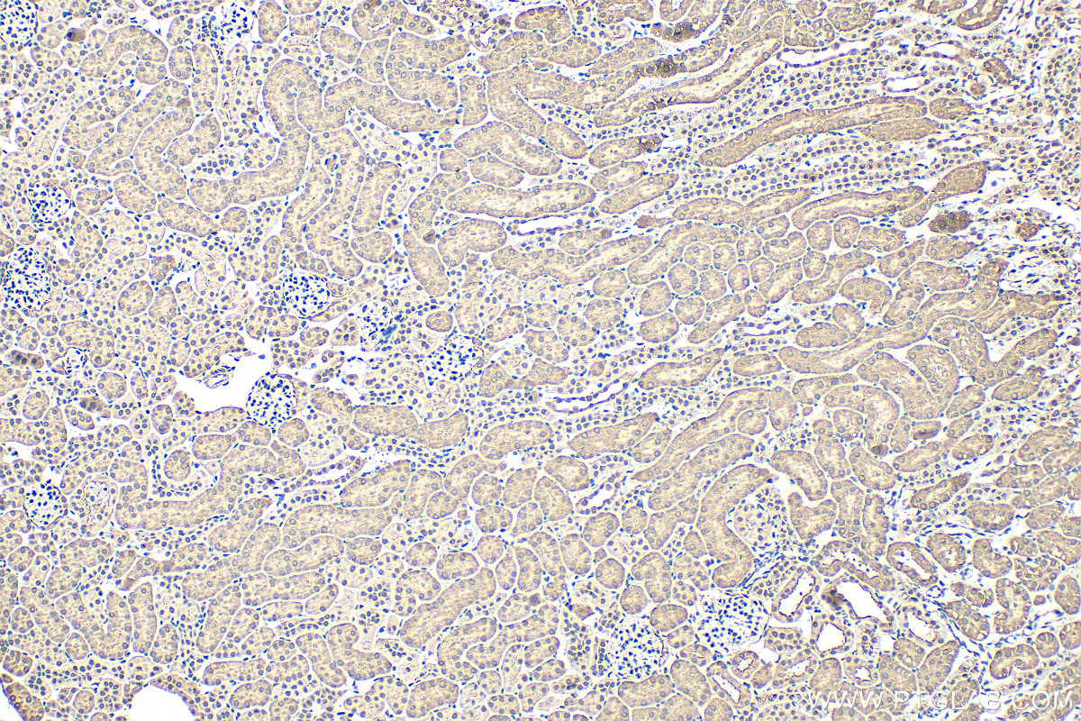
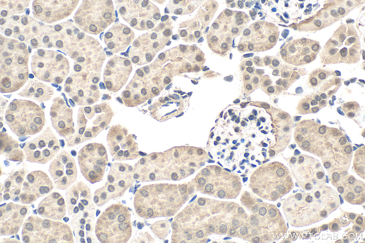
| Positive IHC detected in | human kidney tissue, mouse kidney tissue Note: suggested antigen retrieval with TE buffer pH 9.0; (*) Alternatively, antigen retrieval may be performed with citrate buffer pH 6.0 |
推荐稀释比
| 应用 | 推荐稀释比 |
|---|---|
| Western Blot (WB) | WB : 1:1000-1:4000 |
| Immunoprecipitation (IP) | IP : 0.5-4.0 ug for 1.0-3.0 mg of total protein lysate |
| Immunohistochemistry (IHC) | IHC : 1:50-1:500 |
| It is recommended that this reagent should be titrated in each testing system to obtain optimal results. | |
| Sample-dependent, Check data in validation data gallery. | |
产品信息
15265-1-AP targets MLYCD in WB, IHC, IF, IP, ELISA applications and shows reactivity with human, mouse, rat samples.
| 经测试应用 | WB, IHC, IP, ELISA Application Description |
| 文献引用应用 | WB, IHC, IF, IP |
| 经测试反应性 | human, mouse, rat |
| 文献引用反应性 | human, mouse, rat |
| 免疫原 |
CatNo: Ag7334 Product name: Recombinant human MLYCD protein Source: e coli.-derived, PGEX-4T Tag: GST Domain: 103-454 aa of BC000286 Sequence: HHISKLDGGVRFLVQLRADLLEAQALKLVEGPDVREMNGVLKGMLSEWFSSGFLNLERVTWHSPCEVLQKISEAEAVHPVKNWMDMKRRVGPYRRCYFFSHCSTPGEPLVVLHVALTGDISSNIQAIVKEHPPSETEEKNKITAAIFYSISLTQQGLQGVELGTFLIKRVVKELQREFPHLGVFSSLSPIPGFTKWLLGLLNSQTKEHGRNELFTDSECKEISEITGGPINETLKLLLSSSEWVQSEKLVRALQTPLMRLCAWYLYGEKHRGYALNPVANFHLQNGAVLWRINWMADVSLRGITGSCGLMANYRYFLEETGPNSTSYLGSKIIKASEQVLSLVAQFQKNSKL 种属同源性预测 |
| 宿主/亚型 | Rabbit / IgG |
| 抗体类别 | Polyclonal |
| 产品类型 | Antibody |
| 全称 | malonyl-CoA decarboxylase |
| 别名 | MCD, EC:4.1.1.9, malonyl CoA decarboxylase, Malonyl-CoA decarboxylase, mitochondrial |
| 计算分子量 | 55 kDa |
| 观测分子量 | 50-60 kDa |
| GenBank蛋白编号 | BC000286 |
| 基因名称 | MLYCD |
| Gene ID (NCBI) | 23417 |
| RRID | AB_2146403 |
| 偶联类型 | Unconjugated |
| 形式 | Liquid |
| 纯化方式 | Antigen affinity purification |
| UNIPROT ID | O95822 |
| 储存缓冲液 | PBS with 0.02% sodium azide and 50% glycerol, pH 7.3. |
| 储存条件 | Store at -20°C. Stable for one year after shipment. Aliquoting is unnecessary for -20oC storage. |
背景介绍
MLYCD, also named as MCD, is a 50-55 kDa protein. It is an enzyme that catalyzes the conversion of malonyl-CoA to acetyl-CoA. In the fatty acid biosynthesis MCD selectively removes malonyl-CoA and thus assures that methyl-malonyl-CoA is the only chain elongating substrate for fatty acid synthase and that fatty acids with multiple methyl side chains are produced. In peroxisomes it may be involved in degrading intraperoxisomal malonyl-CoA, which is generated by the peroxisomal beta-oxidation of odd chain-length dicarboxylic fatty acids. (PMID:12955715)
实验方案
| Product Specific Protocols | |
|---|---|
| IHC protocol for MLYCD antibody 15265-1-AP | Download protocol |
| IP protocol for MLYCD antibody 15265-1-AP | Download protocol |
| WB protocol for MLYCD antibody 15265-1-AP | Download protocol |
| Standard Protocols | |
|---|---|
| Click here to view our Standard Protocols |
发表文章
| Species | Application | Title |
|---|---|---|
Hepatology Acetyl-CoA carboxylase α promotion of glucose-mediated fatty acid synthesis enhances survival of hepatocellular carcinoma in mice and patients. | ||
Proc Natl Acad Sci U S A Ribosomal protein-Mdm2-p53 pathway coordinates nutrient stress with lipid metabolism by regulating MCD and promoting fatty acid oxidation. | ||
Cell Rep Acetyl-CoA carboxylase 1 is a suppressor of the adipocyte thermogenic program
| ||
PLoS Pathog Integrated systems biology analysis of KSHV latent infection reveals viral induction and reliance on peroxisome mediated lipid metabolism. | ||
Int J Mol Sci The Impact of Nicotine along with Oral Contraceptive Exposure on Brain Fatty Acid Metabolism in Female Rats | ||
J Mol Cell Cardiol C-Myc induced compensated cardiac hypertrophy increases free fatty acid utilization for the citric acid cycle. |





