验证数据展示
经过测试的应用
| Positive WB detected in | SH-SY5Y cells, MOLT-4 cells, SK-N-SH cells |
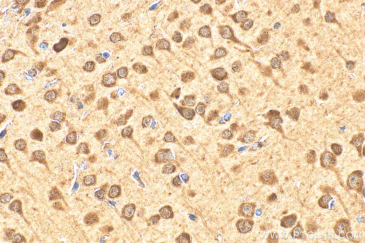
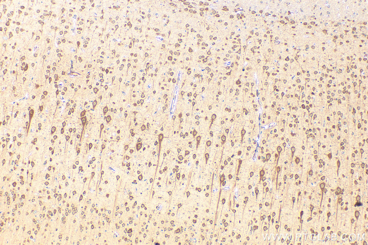
| Positive IHC detected in | mouse brain tissue, rat brain tissue Note: suggested antigen retrieval with TE buffer pH 9.0; (*) Alternatively, antigen retrieval may be performed with citrate buffer pH 6.0 |
推荐稀释比
| 应用 | 推荐稀释比 |
|---|---|
| Western Blot (WB) | WB : 1:500-1:1000 |
| Immunohistochemistry (IHC) | IHC : 1:50-1:500 |
| It is recommended that this reagent should be titrated in each testing system to obtain optimal results. | |
| Sample-dependent, Check data in validation data gallery. | |
产品信息
12062-1-AP targets MLLT11 in WB, IHC, ELISA applications and shows reactivity with human, mouse, rat samples.
| 经测试应用 | WB, IHC, ELISA Application Description |
| 经测试反应性 | human, mouse, rat |
| 免疫原 |
CatNo: Ag2699 Product name: Recombinant human MLLT11 protein Source: e coli.-derived, PGEX-4T Tag: GST Domain: 1-90 aa of BC009624 Sequence: MRDPVSSQYSSFLFWRMPIPELDLSELEGLGLSDTATYKVKDSSVGKMIGQATAADQEKNPEGDGLLEYSTFNFWRAPIASIHSFELDLL 种属同源性预测 |
| 宿主/亚型 | Rabbit / IgG |
| 抗体类别 | Polyclonal |
| 产品类型 | Antibody |
| 全称 | myeloid/lymphoid or mixed-lineage leukemia (trithorax homolog, Drosophila); translocated to, 11 |
| 别名 | AF1Q, Protein AF1q, RP11 316M1.10 |
| 计算分子量 | 90 aa, 10 kDa |
| 观测分子量 | 10 kDa |
| GenBank蛋白编号 | BC009624 |
| 基因名称 | MLLT11 |
| Gene ID (NCBI) | 10962 |
| 偶联类型 | Unconjugated |
| 形式 | Liquid |
| 纯化方式 | Antigen affinity purification |
| UNIPROT ID | Q13015 |
| 储存缓冲液 | PBS with 0.02% sodium azide and 50% glycerol, pH 7.3. |
| 储存条件 | Store at -20°C. Stable for one year after shipment. Aliquoting is unnecessary for -20oC storage. |
背景介绍
Mixed-lineage leukemia translocated to 11 (MLLT11), also named ALL1-fused gene from the chromosome 1q (AF1q), which is located in chromosome l band 1q21, has been found to be overexpressed in ovarian cancer and to be associated with a poor patient outcome (PMID: 28423573). It is reported that MLLT11 is a pan-neuronal marker, suggesting a role in neural differentiation in the central nervous system and neural crest-cell derived peripheral ganglia (PMID: 24839873).
实验方案
| Product Specific Protocols | |
|---|---|
| IHC protocol for MLLT11 antibody 12062-1-AP | Download protocol |
| WB protocol for MLLT11 antibody 12062-1-AP | Download protocol |
| Standard Protocols | |
|---|---|
| Click here to view our Standard Protocols |





