验证数据展示
经过测试的应用
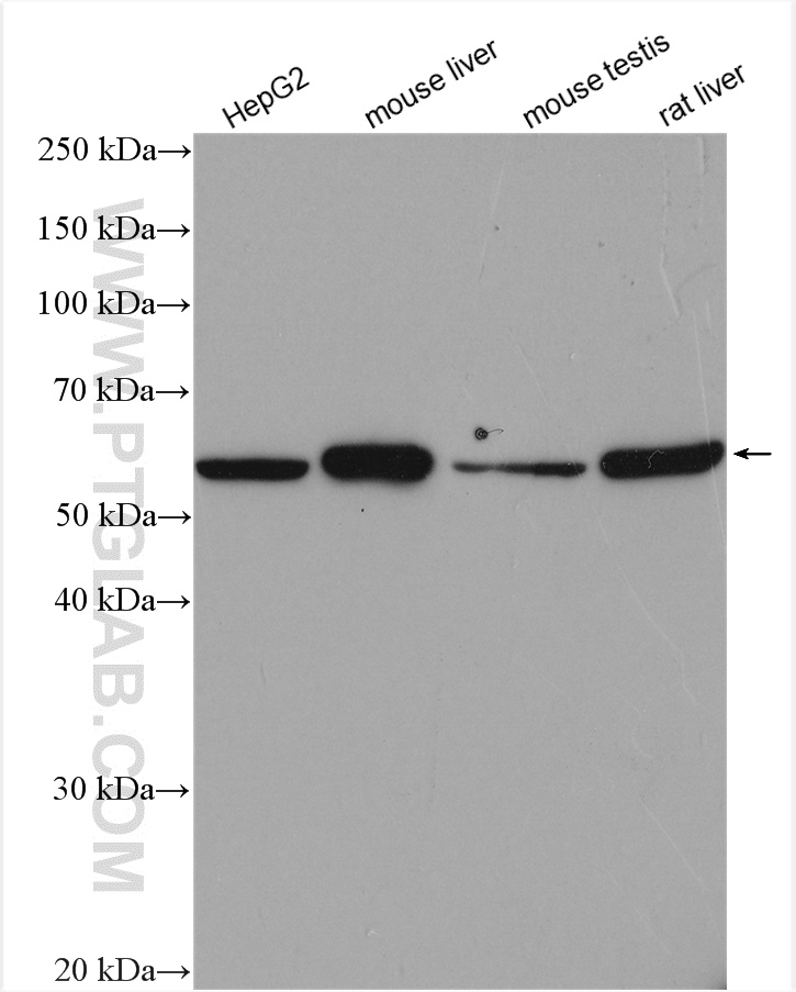
| Positive WB detected in | HepG2 cells, mouse liver tissue, mouse testis tissue, rat liver tissue, U-87 MG cells |
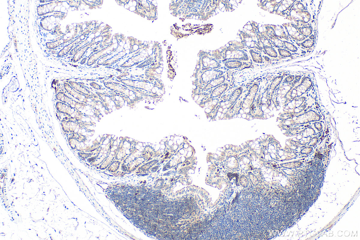
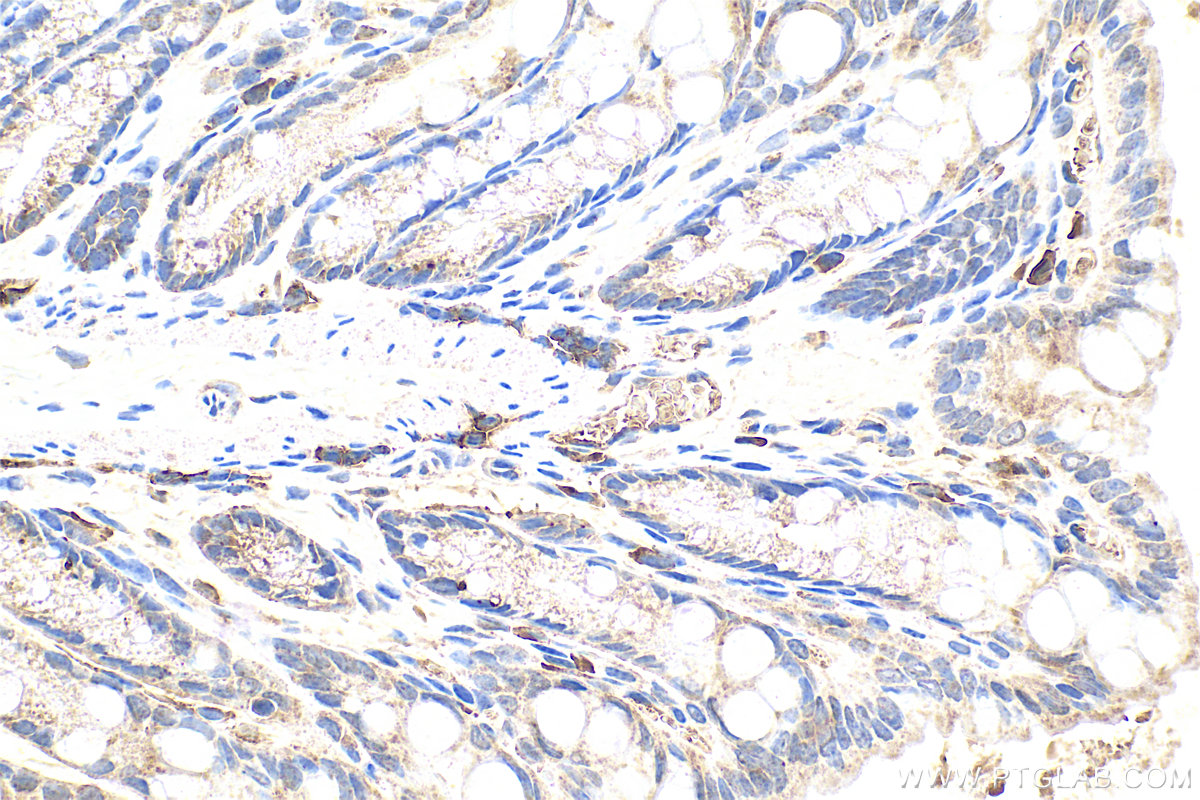
| Positive IHC detected in | mouse colon tissue, human colon tissue, human gliomas tissue Note: suggested antigen retrieval with TE buffer pH 9.0; (*) Alternatively, antigen retrieval may be performed with citrate buffer pH 6.0 |
| Positive IF/ICC detected in | HepG2 cells |
推荐稀释比
| 应用 | 推荐稀释比 |
|---|---|
| Western Blot (WB) | WB : 1:1000-1:8000 |
| Immunohistochemistry (IHC) | IHC : 1:50-1:500 |
| Immunofluorescence (IF)/ICC | IF/ICC : 1:10-1:100 |
| It is recommended that this reagent should be titrated in each testing system to obtain optimal results. | |
| Sample-dependent, Check data in validation data gallery. | |
发表文章中的应用
| KD/KO | See 1 publications below |
| WB | See 1 publications below |
| IHC | See 2 publications below |
产品信息
13186-1-AP targets MLF1IP in WB, IHC, IF/ICC, ELISA applications and shows reactivity with human, mouse, rat samples.
| 经测试应用 | WB, IHC, IF/ICC, ELISA Application Description |
| 文献引用应用 | WB, IHC |
| 经测试反应性 | human, mouse, rat |
| 文献引用反应性 | human |
| 免疫原 |
CatNo: Ag3858 Product name: Recombinant human MLF1IP protein Source: e coli.-derived, PGEX-4T Tag: GST Domain: 243-418 aa of BC031520 Sequence: MKTSDIKELNIVLPEFEKTHLEHQQRIESKVCKAAIATFYVNVKEQFIKMLKESQMLTNLKRKNAKMISDIEKKRQRMIEVQDELLRLEPQLKQLQTKYDELKERKSSLRNAAYFLSNLKQLYQDYSDVQAQEPNVKETYDSSSLPALLFKARTLLGAESHLRNINHQLEKLLDQG 种属同源性预测 |
| 宿主/亚型 | Rabbit / IgG |
| 抗体类别 | Polyclonal |
| 产品类型 | Antibody |
| 全称 | MLF1 interacting protein |
| 别名 | CENP 50, CENP U, CENP U(50), CENP50, CENP-50 |
| 计算分子量 | 418 aa, 48 kDa |
| 观测分子量 | 46-50 kDa, 60 kDa |
| GenBank蛋白编号 | BC031520 |
| 基因名称 | MLF1IP |
| Gene ID (NCBI) | 79682 |
| RRID | AB_10642941 |
| 偶联类型 | Unconjugated |
| 形式 | Liquid |
| 纯化方式 | Antigen affinity purification |
| UNIPROT ID | Q71F23 |
| 储存缓冲液 | PBS with 0.02% sodium azide and 50% glycerol, pH 7.3. |
| 储存条件 | Store at -20°C. Stable for one year after shipment. Aliquoting is unnecessary for -20oC storage. |
背景介绍
MLF1IP, also named as CENPU, ICEN24, KLIP1 and PBIP1, belongs to the CENP-U/AME1 family. MLF1IP plays an important role in assembly of kinetochore proteins, mitotic progression and chromosome segregation. Moreover, MLF1IP has been shown to be involved in tumorigenesis in several types of cancer including glioblastoma, prostate cancer and luminal breast cancer (PMID: 27378428). MLF1IP has 3 isoforms with the molecular mass of 21, 38 and 47 kDa.
实验方案
| Product Specific Protocols | |
|---|---|
| IF protocol for MLF1IP antibody 13186-1-AP | Download protocol |
| IHC protocol for MLF1IP antibody 13186-1-AP | Download protocol |
| WB protocol for MLF1IP antibody 13186-1-AP | Download protocol |
| Standard Protocols | |
|---|---|
| Click here to view our Standard Protocols |
发表文章
| Species | Application | Title |
|---|---|---|
Cell Signal Overexpression of MLF1IP promotes colorectal cancer cell proliferation through BRCA1/AKT/p27 signaling pathway.
| ||
Int J Mol Med CENPU promotes tumorigenesis and stem cell properties in triple‑negative breast cancer by suppressing lysosomal furin degradation. |









