验证数据展示
经过测试的应用
| Positive WB detected in | HEK-293 cells, HeLa cells, HepG2 cells |
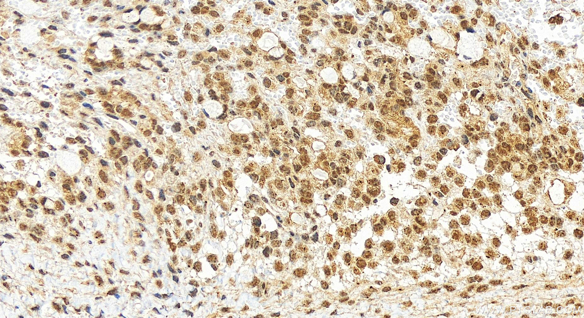
| Positive IHC detected in | human ovary cancer tissue Note: suggested antigen retrieval with TE buffer pH 9.0; (*) Alternatively, antigen retrieval may be performed with citrate buffer pH 6.0 |
| Positive IF/ICC detected in | HeLa cells |
推荐稀释比
| 应用 | 推荐稀释比 |
|---|---|
| Western Blot (WB) | WB : 1:1000-1:4000 |
| Immunohistochemistry (IHC) | IHC : 1:200-1:800 |
| Immunofluorescence (IF)/ICC | IF/ICC : 1:200-1:800 |
| It is recommended that this reagent should be titrated in each testing system to obtain optimal results. | |
| Sample-dependent, Check data in validation data gallery. | |
产品信息
19820-1-AP targets MIS12 in WB, IHC, IF/ICC, ELISA applications and shows reactivity with human, mouse, rat samples.
| 经测试应用 | WB, IHC, IF/ICC, ELISA Application Description |
| 经测试反应性 | human, mouse, rat |
| 免疫原 |
CatNo: Ag13870 Product name: Recombinant human MIS12 protein Source: e coli.-derived, PGEX-4T Tag: GST Domain: 1-205 aa of BC000229 Sequence: MSVDPMTYEAQFFGFTPQTCMLRIYIAFQDYLFEVMQAVEQVILKKLDGIPDCDISPVQIRKCTEKFLCFMKGHFDNLFSKMEQLFLQLILRIPSNILLPEDKCKETPYSEEDFQHLQKEIEQLQEKYKTELCTKQALLAELEEQKIVQAKLKQTLTFFDELHNVGRDHGTSDFRESLVSLVQNSRKLQNIRDNVEKESKRLKIS 种属同源性预测 |
| 宿主/亚型 | Rabbit / IgG |
| 抗体类别 | Polyclonal |
| 产品类型 | Antibody |
| 全称 | MIS12, MIND kinetochore complex component, homolog (yeast) |
| 别名 | hMis12, KNTC2AP, MTW1, Protein MIS12 homolog |
| 计算分子量 | 205 aa, 24 kDa |
| 观测分子量 | 25-28 kDa |
| GenBank蛋白编号 | BC000229 |
| 基因名称 | MIS12 |
| Gene ID (NCBI) | 79003 |
| RRID | AB_3669315 |
| 偶联类型 | Unconjugated |
| 形式 | Liquid |
| 纯化方式 | Antigen affinity purification |
| UNIPROT ID | Q9H081 |
| 储存缓冲液 | PBS with 0.02% sodium azide and 50% glycerol, pH 7.3. |
| 储存条件 | Store at -20°C. Stable for one year after shipment. Aliquoting is unnecessary for -20oC storage. |
背景介绍
The MIS12 complex, composed of the Mis12, Pmf1, Nsl1 and Dsn1 subunits, is a highly conserved kinetochore protein that interacts with the Ndc80 and Knl1 complexes, forming the KMN network (PMID: 32341029). MIS12 is a part of the MIS12 complex which is required for normal chromosome alignment and segregation and for kinetochore formation during mitosis. MIS12 is essential for proper kinetochore microtubule attachments (PubMed:23891108)
实验方案
| Product Specific Protocols | |
|---|---|
| IF protocol for MIS12 antibody 19820-1-AP | Download protocol |
| IHC protocol for MIS12 antibody 19820-1-AP | Download protocol |
| WB protocol for MIS12 antibody 19820-1-AP | Download protocol |
| Standard Protocols | |
|---|---|
| Click here to view our Standard Protocols |



