验证数据展示
产品信息
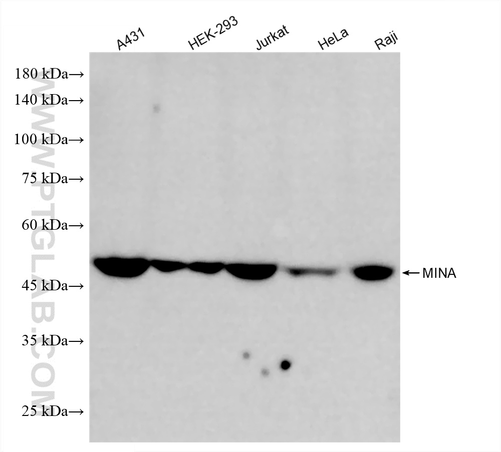
86760-3-PBS targets MINA in WB, IF/ICC, Indirect ELISA applications and shows reactivity with human samples.
| 经测试应用 | WB, IF/ICC, Indirect ELISA Application Description |
| 经测试反应性 | human |
| 免疫原 |
CatNo: Ag2838 Product name: Recombinant human MINA protein Source: e coli.-derived, PGEX-4T Tag: GST Domain: 160-465 aa of BC014928 Sequence: SLVGSNVYITPAGSQGLPPHYDDVEVFILQLEGEKHWRLYHPTVPLAREYSVEAEERIGRPVHEFMLKPGDLLYFPRGTIHQADTPAGLAHSTHVTISTYQNNSWGDFLLDTISGLVFDTAKEDVELRTGIPRQLLLQVESTTVATRRLSGFLRTLADRLEGTKELLSSDMKKDFIMHRLPPYSAGDGAELSTPGGKLPRLDSVVRLQFKDHIVLTVLPDQDQSDETQEKMVYIYHSLKNSRETHMMGNEEETEFHGLRFPLSHLDALKQIWNSPAISVKDLKLTTDEEKESLVLSLWTECLIQVV 种属同源性预测 |
| 宿主/亚型 | Rabbit / IgG |
| 抗体类别 | Recombinant |
| 产品类型 | Antibody |
| 全称 | MYC induced nuclear antigen |
| 别名 | 60S ribosomal protein L27a histidine hydroxylase, Bifunctional lysine-specific demethylase and histidyl-hydroxylase MINA, EC:1.14.11.79, Histone lysine demethylase MINA, MDIG |
| 计算分子量 | 465 aa, 53 kDa |
| 观测分子量 | 53 kDa |
| GenBank蛋白编号 | BC014928 |
| 基因名称 | MINA |
| Gene ID (NCBI) | 84864 |
| 偶联类型 | Unconjugated |
| 形式 | Liquid |
| 纯化方式 | Protein A purification |
| UNIPROT ID | Q8IUF8 |
| 储存缓冲液 | PBS only, pH 7.3. |
| 储存条件 | Store at -80°C. The product is shipped with ice packs. Upon receipt, store it immediately at -80°C |
背景介绍
MINA, also named as MDIG, MINA53 and NO52, belongs to the MINA53/NO66 family. It is involved in cellular proliferation. MINA may play an important role in cell growth and survival. It is involved in ribosome biogenesis, most likely during the assembly process of pre-ribosomal particles. The transcriptional repressor MINA has been shown to repress Il4 gene expression by directly binding to its promoter, thereby, controlling TH2 bias.(PMID:21499227)

