验证数据展示
经过测试的应用
| Positive WB detected in | SMMC-7721 cells, BxPC-3 cells, HepG2 cells |
| Positive IP detected in | HepG2 cells |
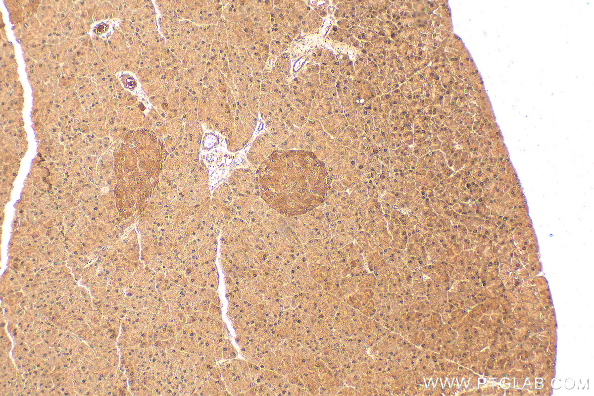
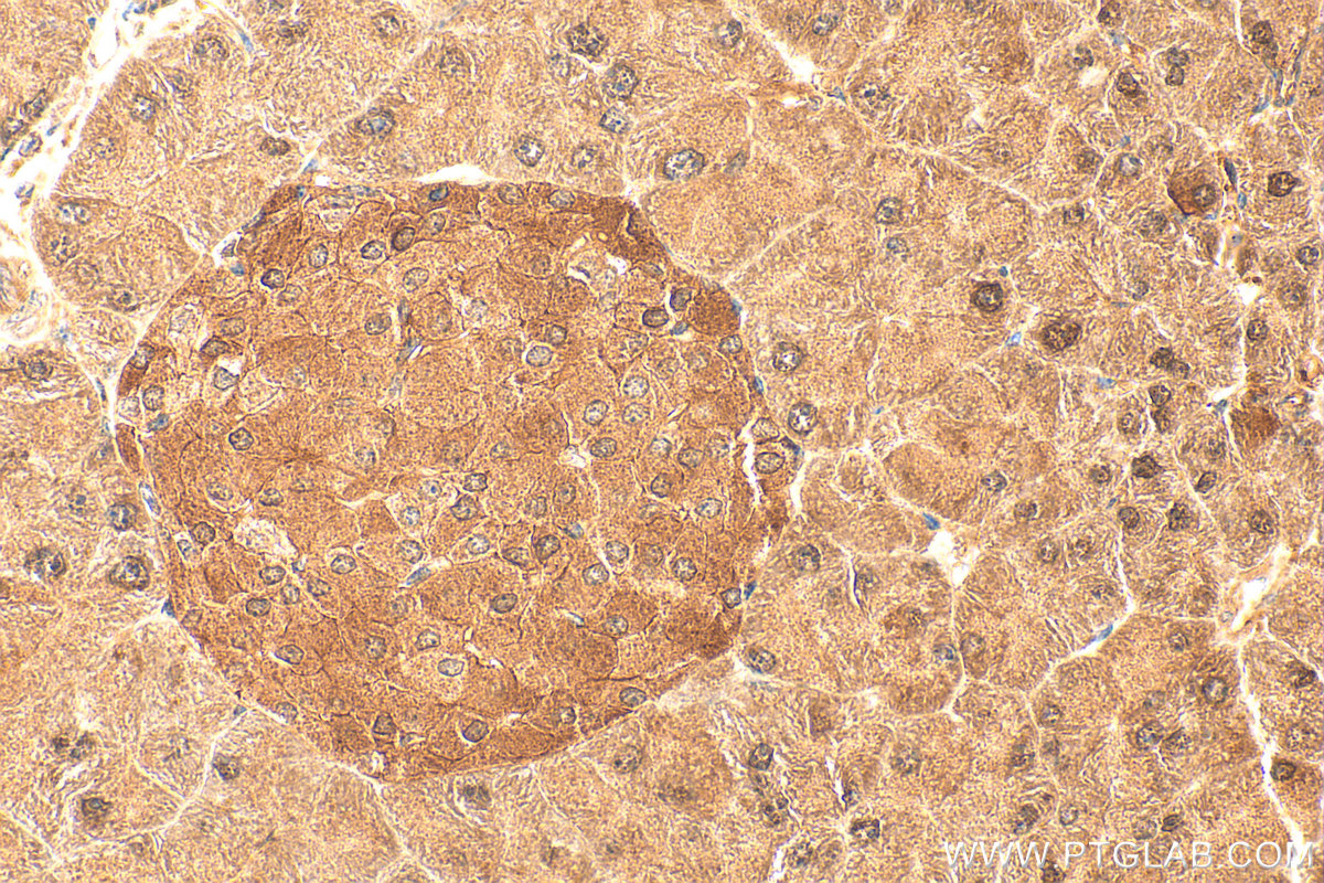
| Positive IHC detected in | mouse pancreas tissue, human meningioma tissue, human pancreas tissue Note: suggested antigen retrieval with TE buffer pH 9.0; (*) Alternatively, antigen retrieval may be performed with citrate buffer pH 6.0 |
| Positive IF/ICC detected in | HepG2 cells |
| Positive FC (Intra) detected in | HepG2 cells |
推荐稀释比
| 应用 | 推荐稀释比 |
|---|---|
| Western Blot (WB) | WB : 1:2000-1:16000 |
| Immunoprecipitation (IP) | IP : 0.5-4.0 ug for 1.0-3.0 mg of total protein lysate |
| Immunohistochemistry (IHC) | IHC : 1:50-1:500 |
| Immunofluorescence (IF)/ICC | IF/ICC : 1:50-1:500 |
| Flow Cytometry (FC) (INTRA) | FC (INTRA) : 0.40 ug per 10^6 cells in a 100 µl suspension |
| It is recommended that this reagent should be titrated in each testing system to obtain optimal results. | |
| Sample-dependent, Check data in validation data gallery. | |
产品信息
14711-1-AP targets MGEA5 in WB, IHC, IF/ICC, FC (Intra), IP, CoIP, ChIP, RIP, ELISA applications and shows reactivity with human, mouse, rat samples.
| 经测试应用 | WB, IHC, IF/ICC, FC (Intra), IP, ELISA Application Description |
| 文献引用应用 | WB, IHC, IF, IP, CoIP, ChIP, RIP |
| 经测试反应性 | human, mouse, rat |
| 文献引用反应性 | human, mouse, rat, pig, zebrafish, drosophila |
| 免疫原 |
CatNo: Ag6405 Product name: Recombinant human MGEA5 protein Source: e coli.-derived, PGEX-4T Tag: GST Domain: 1-350 aa of BC039583 Sequence: MVQKESQATLEERESELSSNPAASAGASLEPPAAPAPGEDNPAGAGGAAVAGAAGGARRFLCGVVEGFYGRPWVMEQRKELFRRLQKWELNTYLYAPKDDYKHRMFWREMYSVEEAEQLMTLISAAREYEIEFIYAISPGLDITFSNPKEVSTLKRKLDQVSQFGCRSFALLFDDIDHNMCAADKEVFSSFAHAQVSITNEIYQYLGEPETFLFCPTEYCGTFCYPNVSQSPYLRTVGEKLLPGIEVLWTGPKVVSKEIPVESIEEVSKIIKRAPVIWDNIHANDYDQKRLFLGPYKGRSTELIPRLKGVLTNPNCEFEANYVAIHTLATWYKSNMNGVRKDVVMSRQVA 种属同源性预测 |
| 宿主/亚型 | Rabbit / IgG |
| 抗体类别 | Polyclonal |
| 产品类型 | Antibody |
| 全称 | meningioma expressed antigen 5 (hyaluronidase) |
| 别名 | OGA, Beta-hexosaminidase, Beta-N-acetylglucosaminidase, Beta-N-acetylhexosaminidase, EC:3.2.1.169 |
| 计算分子量 | 103 kDa |
| 观测分子量 | 130 kDa |
| GenBank蛋白编号 | BC039583 |
| 基因名称 | MGEA5 |
| Gene ID (NCBI) | 10724 |
| RRID | AB_2143063 |
| 偶联类型 | Unconjugated |
| 形式 | Liquid |
| 纯化方式 | Antigen affinity purification |
| UNIPROT ID | O60502 |
| 储存缓冲液 | PBS with 0.02% sodium azide and 50% glycerol, pH 7.3. |
| 储存条件 | Store at -20°C. Stable for one year after shipment. Aliquoting is unnecessary for -20oC storage. |
背景介绍
Human meningioma-expressed antigen 5 (MGEA5) has two putative domains including protein O-GlcNAcase domain and histone acetyltransferase domain, therefore it is often called bifunctional protein NCOAT. Three isoforms of MEGE5 are produced by alternative splicing. MGEA5 was found to be regulated to reduce the state of glycosylation of transcitpional activators while increasing the acetylation of histones to allow for the concerted activation of eukaryotic gene transcription, for instance, acetylation of Lys8 of histone H4 and Lys 14 of histone H3 are resulted from acetyltransferase activity. In addition, single nucleotide polymorphism in MGE5A is associated with type 2 diabetes in Mexican Americans. Two bands at 130kDa and 75 kDa could be detected using the present rabbit polyclonal antibody 14711-1-AP, which is consistent with results in a related reference (PubMed:11341771).
实验方案
| Product Specific Protocols | |
|---|---|
| FC protocol for MGEA5 antibody 14711-1-AP | Download protocol |
| IF protocol for MGEA5 antibody 14711-1-AP | Download protocol |
| IHC protocol for MGEA5 antibody 14711-1-AP | Download protocol |
| IP protocol for MGEA5 antibody 14711-1-AP | Download protocol |
| WB protocol for MGEA5 antibody 14711-1-AP | Download protocol |
| Standard Protocols | |
|---|---|
| Click here to view our Standard Protocols |
发表文章
| Species | Application | Title |
|---|---|---|
Nat Cell Biol O-GlcNAcylation determines the translational regulation and phase separation of YTHDF proteins | ||
Mol Cell PI3Kβ functions as a protein kinase to promote cellular protein O-GlcNAcylation and acetyl-CoA production for tumor growth | ||
J Clin Invest Cancer-associated fibroblast-secreted glucosamine alters the androgen biosynthesis program in prostate cancer via HSD3B1 upregulation | ||
Adv Sci (Weinh) LIMA1 O-GlcNAcylation Promotes Hepatic Lipid Deposition through Inducing β-catenin-Regulated FASn Expression in Metabolic Dysfunction-Associated Steatotic Liver Disease | ||
Biomaterials PKM2 allosteric converter: A self-assembly peptide for suppressing renal cell carcinoma and sensitizing chemotherapy | ||
Redox Biol Hypoxic acclimation improves cardiac redox homeostasis and protects heart against ischemia-reperfusion injury through upregulation of O-GlcNAcylation. |











