验证数据展示
经过测试的应用
| Positive WB detected in | HeLa cells, Jurkat cells, THP-1 cells |
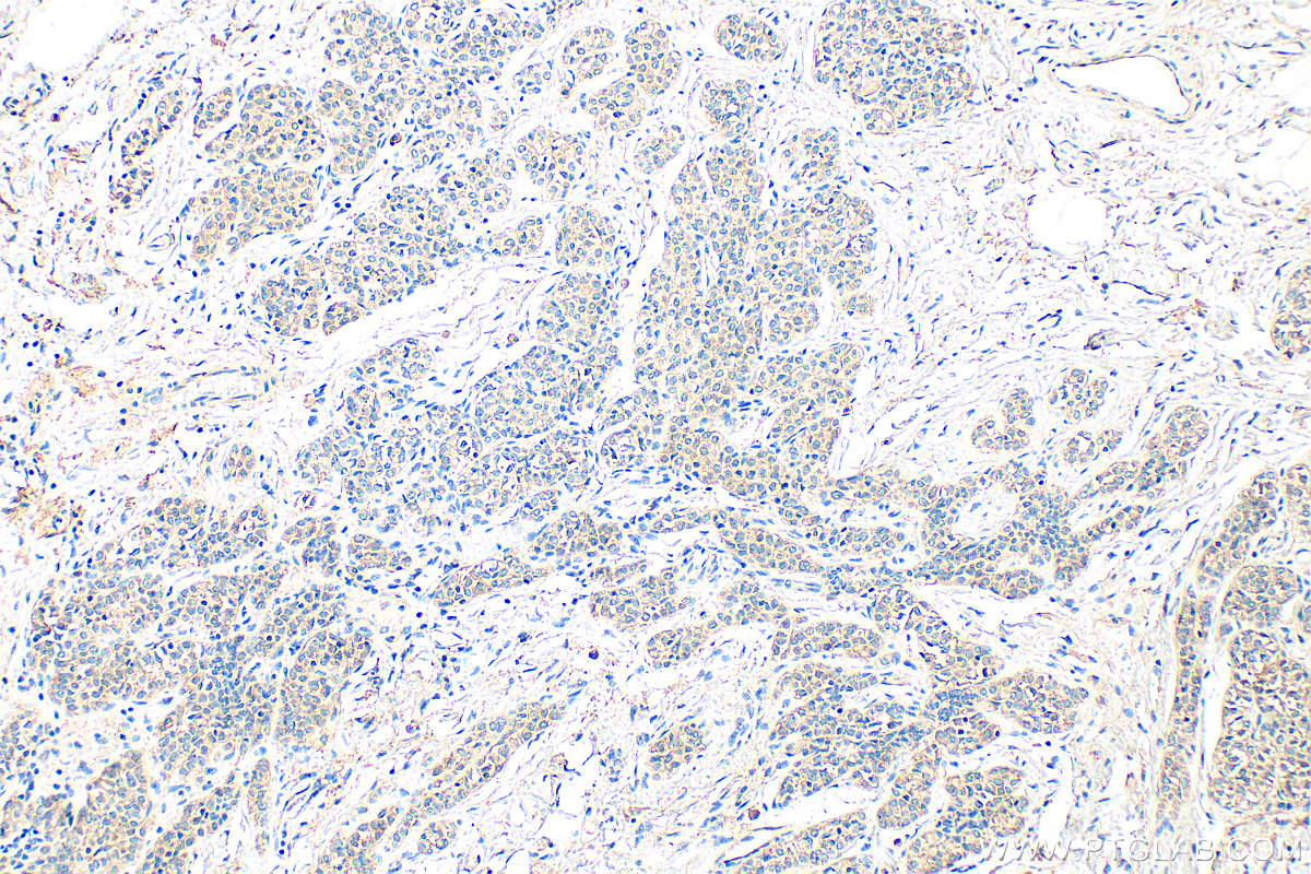
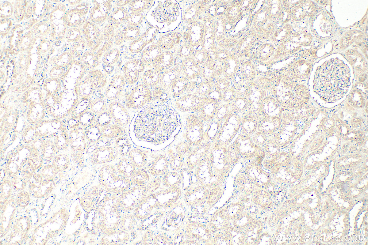
| Positive IHC detected in | mouse small intestine tissue, human breast cancer tissue, human kidney tissue Note: suggested antigen retrieval with TE buffer pH 9.0; (*) Alternatively, antigen retrieval may be performed with citrate buffer pH 6.0 |
推荐稀释比
| 应用 | 推荐稀释比 |
|---|---|
| Western Blot (WB) | WB : 1:500-1:2000 |
| Immunohistochemistry (IHC) | IHC : 1:50-1:500 |
| It is recommended that this reagent should be titrated in each testing system to obtain optimal results. | |
| Sample-dependent, Check data in validation data gallery. | |
发表文章中的应用
| WB | See 2 publications below |
| IHC | See 2 publications below |
产品信息
25109-1-AP targets MGAT4A in WB, IHC, ELISA applications and shows reactivity with human samples.
| 经测试应用 | WB, IHC, ELISA Application Description |
| 文献引用应用 | WB, IHC |
| 经测试反应性 | human |
| 文献引用反应性 | human, mouse |
| 免疫原 |
CatNo: Ag18956 Product name: Recombinant human MGAT4A protein Source: e coli.-derived, PGEX-4T Tag: GST Domain: 395-505 aa of BC127107 Sequence: EVSTSLKVYQGHTLEKTYMGEDFFWAITPIAGDYILFKFDKPVNVESYLFHSGNQEHPGDILLNTTVEVLPFKSEGLEISKETKDKRLEDGYFRIGKFENGVAEGMVDPSL 种属同源性预测 |
| 宿主/亚型 | Rabbit / IgG |
| 抗体类别 | Polyclonal |
| 产品类型 | Antibody |
| 全称 | mannosyl (alpha-1,3-)-glycoprotein beta-1,4-N-acetylglucosaminyltransferase, isozyme A |
| 别名 | GNT IVA, Alpha-1,3-mannosyl-glycoprotein 4-beta-N-acetylglucosaminyltransferase A, Alpha-1,3-mannosyl-glycoprotein 4-beta-N-acetylglucosaminyltransferase A soluble form, EC:2.4.1.145, GlcNAc T IVa |
| 计算分子量 | 535 aa, 62 kDa |
| 观测分子量 | 68 kDa |
| GenBank蛋白编号 | BC127107 |
| 基因名称 | MGAT4A |
| Gene ID (NCBI) | 11320 |
| RRID | AB_2879901 |
| 偶联类型 | Unconjugated |
| 形式 | Liquid |
| 纯化方式 | Antigen affinity purification |
| UNIPROT ID | Q9UM21 |
| 储存缓冲液 | PBS with 0.02% sodium azide and 50% glycerol, pH 7.3. |
| 储存条件 | Store at -20°C. Stable for one year after shipment. Aliquoting is unnecessary for -20oC storage. |
背景介绍
MGAT4A (alpha-1,3-mannosylglycoprotein 4-beta-N-acetylglucosaminyltransferase A) is a key enzyme that catalyzes the formation of a specific branch on N-linked glycans (the transfer of β1,4-GlcNAc to the α1,3-mannose arm), belonging to the glycosyltransferase family. It is responsible for trimming and remodeling N-glycans in the Golgi apparatus to generate tissue- and disease-specific N-glycan structures. MGAT4A and MGAT4B are isoenzymes that catalyze the transfer of GlcNAc via a β1-4 linkage to the α1-3 linked mannose of the N-glycan core, thereby regulating glycoprotein maturation and function. This enzyme is involved in immunoglobulin G glycosylation, insulin receptor signaling, and neural cell adhesion molecule function. Deficiency of MGAT4A leads to decreased IgG galactosylation and enhanced pro-inflammatory activity, which is associated with an increased risk of autoimmune diseases such as rheumatoid arthritis and IgA nephropathy. Concurrently, it affects insulin secretion in pancreatic β-cells, highlighting its dual role in metabolic regulation and immune homeostasis.
实验方案
| Product Specific Protocols | |
|---|---|
| IHC protocol for MGAT4A antibody 25109-1-AP | Download protocol |
| WB protocol for MGAT4A antibody 25109-1-AP | Download protocol |
| Standard Protocols | |
|---|---|
| Click here to view our Standard Protocols |
发表文章
| Species | Application | Title |
|---|---|---|
Biochim Biophys Acta Mol Cell Res N-glycosylation by N-acetylglucosaminyltransferase IVa enhances the interaction of integrin β1 with vimentin and promotes hepatocellular carcinoma cell motility | ||
iScience Self-regulation of MGAT4A and MGAT4B activity toward glycoproteins through interaction of lectin domain with their own N-glycans | ||
Biochem Biophys Rep Development and validation of a glycosyltransferase-associated prognostic model for melanoma and characterization of the tumor immune microenvironment using single-cell sequencing data. |





