验证数据展示
经过测试的应用
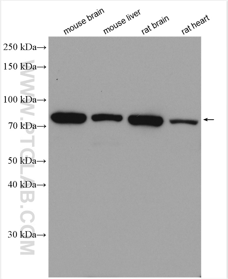
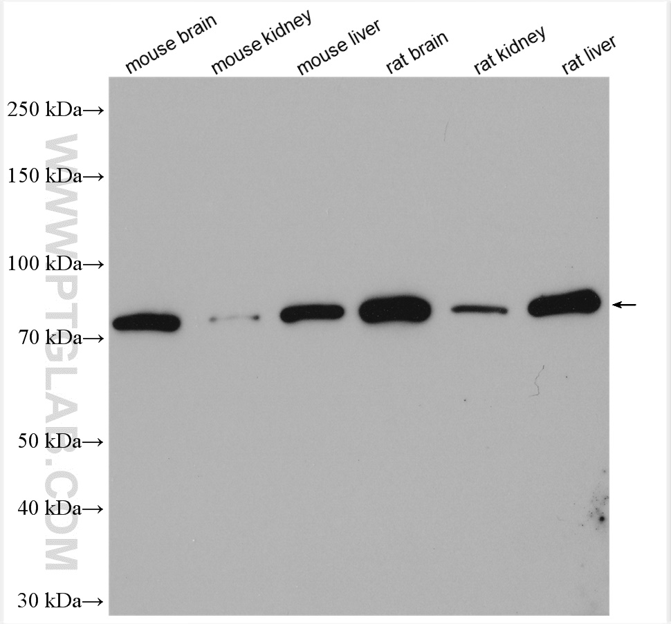
| Positive WB detected in | mouse brain tissue, HeLa cells, mouse kidney tissue, rat brain tissue, rat heart tissue, mouse liver tissue, rat kidney tissue, rat liver tissue |
| Positive IP detected in | mouse kidney tissue |
| Positive IHC detected in | human colon cancer tissue, mouse kidney tissue Note: suggested antigen retrieval with TE buffer pH 9.0; (*) Alternatively, antigen retrieval may be performed with citrate buffer pH 6.0 |
推荐稀释比
| 应用 | 推荐稀释比 |
|---|---|
| Western Blot (WB) | WB : 1:5000-1:50000 |
| Immunoprecipitation (IP) | IP : 0.5-4.0 ug for 1.0-3.0 mg of total protein lysate |
| Immunohistochemistry (IHC) | IHC : 1:50-1:500 |
| It is recommended that this reagent should be titrated in each testing system to obtain optimal results. | |
| Sample-dependent, Check data in validation data gallery. | |
产品信息
12186-1-AP targets MFN2 in WB, IHC, IF, IP, CoIP, ELISA applications and shows reactivity with human, mouse, rat samples.
| 经测试应用 | WB, IHC, IP, ELISA Application Description |
| 文献引用应用 | WB, IHC, IF, IP, CoIP |
| 经测试反应性 | human, mouse, rat |
| 文献引用反应性 | human, mouse, rat, pig, monkey, chicken, zebrafish, bovine, goat, duck |
| 免疫原 |
CatNo: Ag2845 Product name: Recombinant human MFN2 protein Source: e coli.-derived, PGEX-4T Tag: GST Domain: 2-353 aa of BC017061 Sequence: SLLFSRCNSIVTVKKNKRHMAEVNASPLKHFVTAKKKINGIFEQLGAYIQESATFLEDTYRNAELDPVTTEEQVLDVKGYLSKVRGISEVLARRHMKVAFFGRTSNGKSTVINAMLWDKVLPSGIGHTTNCFLRVEGTDGHEAFLLTEGSEEKRSAKTVNQLAHALHQDKQLHAGSLVSVMWPNSKCPLLKDDLVLMDSPGIDVTTELDSWIDKFCLDADVFVLVANSESTLMQTEKHFFHKVSERLSRPNIFILNNRWDASASEPEYMEEVRRQHMERCTSFLVDELGVVDRSQAGDRIFFVSAKEVLNARIQKAQGMPEGGGALAEGFQVRMFEFQNFERRFEECISQSA 种属同源性预测 |
| 宿主/亚型 | Rabbit / IgG |
| 抗体类别 | Polyclonal |
| 产品类型 | Antibody |
| 全称 | mitofusin 2 |
| 别名 | CPRP1, EC:3.6.5.-, HSG, KIAA0214, MARF |
| 计算分子量 | 757 aa, 86 kDa |
| 观测分子量 | 86 kDa |
| GenBank蛋白编号 | BC017061 |
| 基因名称 | MFN2 |
| Gene ID (NCBI) | 9927 |
| ENSEMBL Gene ID | ENSG00000116688 |
| RRID | AB_2266320 |
| 偶联类型 | Unconjugated |
| 形式 | Liquid |
| 纯化方式 | Antigen affinity purification |
| UNIPROT ID | O95140 |
| 储存缓冲液 | PBS with 0.02% sodium azide and 50% glycerol, pH 7.3. |
| 储存条件 | Store at -20°C. Stable for one year after shipment. Aliquoting is unnecessary for -20oC storage. |
背景介绍
MFN2, also named as CPRP1 and KIAA0214, belongs to the mitofusin family. It is an Essential transmembrane GTPase, which mediates mitochondrial fusion. MFN2 acts independently of the cytoskeleton. It therefore plays a central role in mitochondrial metabolism and may be associated with obesity and/or apoptosis processes. Overexpression of MFN2 induces the formation of mitochondrial networks. It plays an important role in the regulation of vascular smooth muscle cell proliferation. Defects in MFN2 are the cause of Charcot-Marie-Tooth disease type 2A2 (CMT2A2). Defects in MFN2 are the cause of Charcot-Marie-Tooth disease type 6 (CMT6). Ubiquitinated forms of Mfn2 (mono- and polyubiquitinated) are present during mitophagy.
实验方案
| Product Specific Protocols | |
|---|---|
| IHC protocol for MFN2 antibody 12186-1-AP | Download protocol |
| IP protocol for MFN2 antibody 12186-1-AP | Download protocol |
| WB protocol for MFN2 antibody 12186-1-AP | Download protocol |
| Standard Protocols | |
|---|---|
| Click here to view our Standard Protocols |
发表文章
| Species | Application | Title |
|---|---|---|
Nature Cellular ATP demand creates metabolically distinct subpopulations of mitochondria
| ||
Cell Mitocytosis, a migrasome-mediated mitochondrial quality-control process.
| ||
Cell Metab Mitochondrial Dynamics Is Critical for the Full Pluripotency and Embryonic Developmental Potential of Pluripotent Stem Cells. | ||
ACS Cent Sci Macrophage Inactivation by Small Molecule Wedelolactone via Targeting sEH for the Treatment of LPS-Induced Acute Lung Injury | ||
Nat Commun Engineered hypoxia-responsive albumin nanoparticles mediating mitophagy regulation for cancer therapy | ||
Mol Cell Serine synthesis sustains macrophage IL-1β production via NAD+-dependent protein acetylation |







