验证数据展示
经过测试的应用
| Positive WB detected in | mouse brain tissue, HeLa cells, rat brain tissue, mouse heart tissue, rat heart tissue |
| Positive IP detected in | mouse brain tissue |
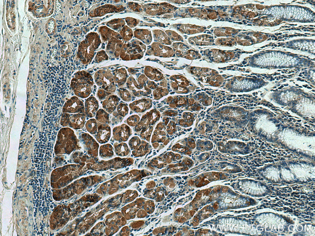
| Positive IHC detected in | human stomach tissue, mouse brain tissue Note: suggested antigen retrieval with TE buffer pH 9.0; (*) Alternatively, antigen retrieval may be performed with citrate buffer pH 6.0 |
| Positive IF/ICC detected in | HepG2 cells |
推荐稀释比
| 应用 | 推荐稀释比 |
|---|---|
| Western Blot (WB) | WB : 1:5000-1:50000 |
| Immunoprecipitation (IP) | IP : 0.5-4.0 ug for 1.0-3.0 mg of total protein lysate |
| Immunohistochemistry (IHC) | IHC : 1:500-1:2000 |
| Immunofluorescence (IF)/ICC | IF/ICC : 1:200-1:800 |
| It is recommended that this reagent should be titrated in each testing system to obtain optimal results. | |
| Sample-dependent, Check data in validation data gallery. | |
产品信息
17090-1-AP targets MFF in WB, IHC, IF/ICC, IP, ELISA applications and shows reactivity with human, mouse, rat samples.
| 经测试应用 | WB, IHC, IF/ICC, IP, ELISA Application Description |
| 文献引用应用 | WB, IHC, IF, IP |
| 经测试反应性 | human, mouse, rat |
| 文献引用反应性 | human, mouse, rat, pig, monkey, hamster, goat, squirrel |
| 免疫原 |
CatNo: Ag9990 Product name: Recombinant human MFF protein Source: e coli.-derived, PGEX-4T Tag: GST Domain: 1-238 aa of BC000797 Sequence: MAEISRIQYEMEYTEGISQRMRVPEKLKVAPPNADLEQGFQEGVPNASVIMQVPERIVVAGNNEDVSFSRPADLDLIQSTPFKPLALKTPPRVLTLSERPLDFLDLERPPTTPQNEEIRAVGRLKRERSMSENAVRQNGQLVRNDSLPVLRGGSAAATSNPHHDNVRYGISNIDTTIEGTSDDLTVVDAASLRRQIIKLNRRLQLLEEENKERAKREMVMYSITVAFWLLNSWLWFRR 种属同源性预测 |
| 宿主/亚型 | Rabbit / IgG |
| 抗体类别 | Polyclonal |
| 产品类型 | Antibody |
| 全称 | mitochondrial fission factor |
| 别名 | AD033, C2orf33, GL004, Mitochondrial fission factor |
| 计算分子量 | 38 kDa |
| 观测分子量 | 35-38 kDa |
| GenBank蛋白编号 | BC000797 |
| 基因名称 | MFF |
| Gene ID (NCBI) | 56947 |
| RRID | AB_2142463 |
| 偶联类型 | Unconjugated |
| 形式 | Liquid |
| 纯化方式 | Antigen affinity purification |
| UNIPROT ID | Q9GZY8 |
| 储存缓冲液 | PBS with 0.02% sodium azide and 50% glycerol, pH 7.3. |
| 储存条件 | Store at -20°C. Stable for one year after shipment. Aliquoting is unnecessary for -20oC storage. |
背景介绍
MFF (mitochondrial fission factor) is a mitochondrial outer membrane protein that is involved in mitochondrial localization of Drp1 and mitochondrial fission. Multiple isoforms of MFF exist due to the alternative splicing. This antibody recognizes the endogenous MFF protein around 26-29 kDa and 35-38 kDa.
实验方案
| Product Specific Protocols | |
|---|---|
| IF protocol for MFF antibody 17090-1-AP | Download protocol |
| IHC protocol for MFF antibody 17090-1-AP | Download protocol |
| IP protocol for MFF antibody 17090-1-AP | Download protocol |
| WB protocol for MFF antibody 17090-1-AP | Download protocol |
| Standard Protocols | |
|---|---|
| Click here to view our Standard Protocols |
发表文章
| Species | Application | Title |
|---|---|---|
Science Golgi-derived PI(4)P-containing vesicles drive late steps of mitochondrial division. | ||
Signal Transduct Target Ther Targeting CRL4 suppresses chemoresistant ovarian cancer growth by inducing mitophagy | ||
Cell CerS6-Derived Sphingolipids Interact with Mff and Promote Mitochondrial Fragmentation in Obesity. |







