验证数据展示
经过测试的应用
| Positive WB detected in | Jurkat cells, HeLa cells, K-562 cells |
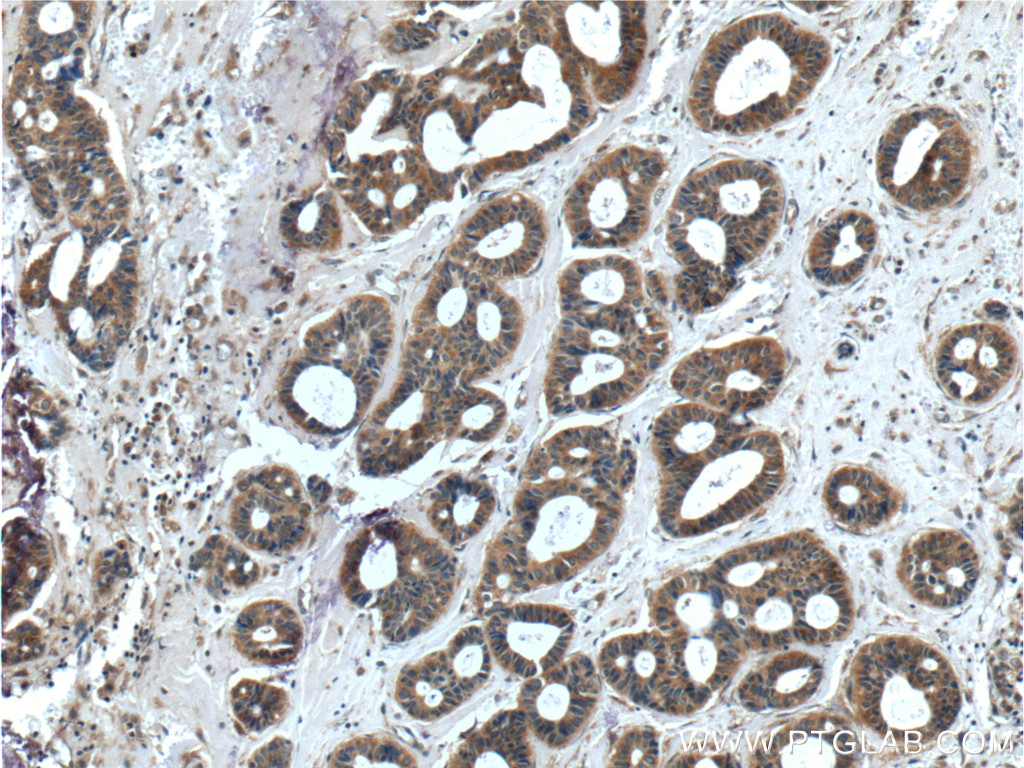
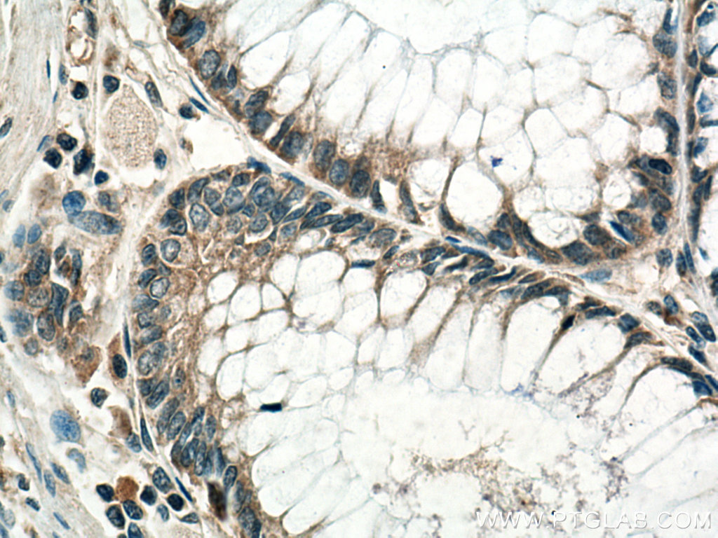
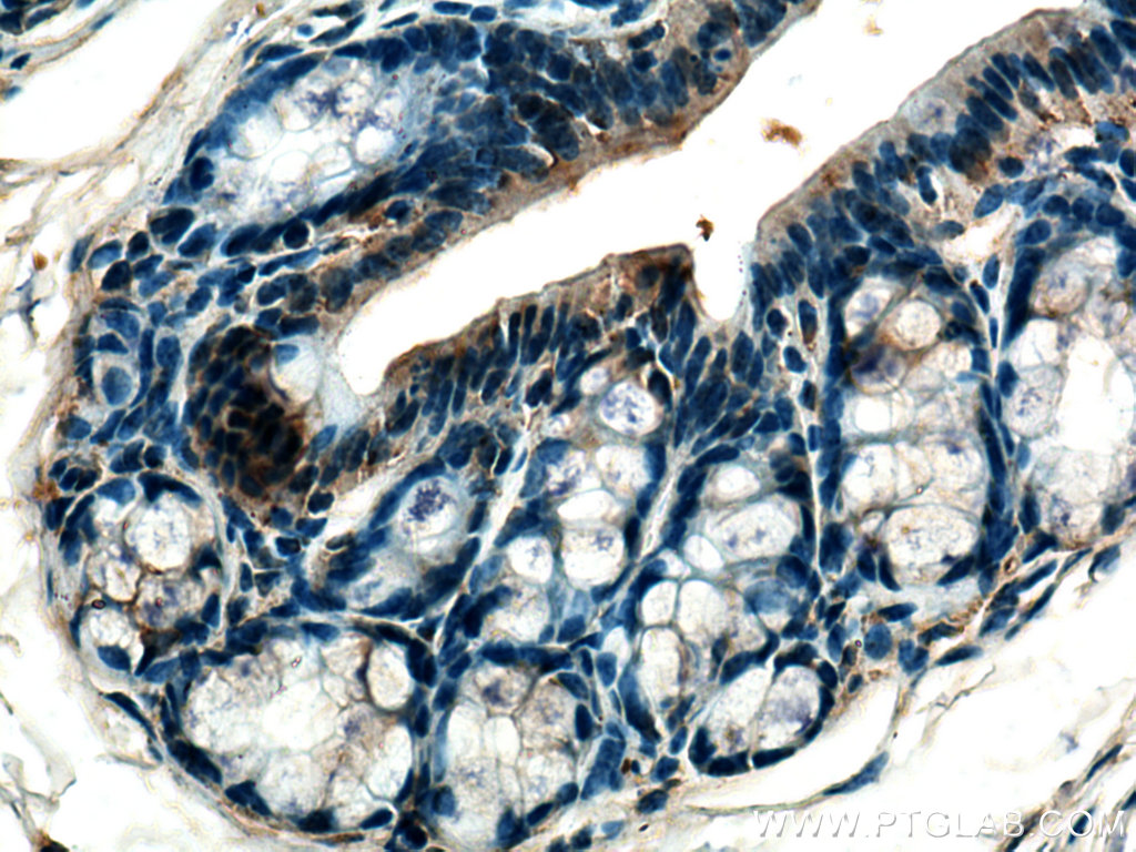
| Positive IHC detected in | human breast cancer tissue, mouse colon tissue, mouse kidney tissue, human lung cancer tissue, human colon cancer tissue Note: suggested antigen retrieval with TE buffer pH 9.0; (*) Alternatively, antigen retrieval may be performed with citrate buffer pH 6.0 |
推荐稀释比
| 应用 | 推荐稀释比 |
|---|---|
| Western Blot (WB) | WB : 1:500-1:1000 |
| Immunohistochemistry (IHC) | IHC : 1:50-1:500 |
| It is recommended that this reagent should be titrated in each testing system to obtain optimal results. | |
| Sample-dependent, Check data in validation data gallery. | |
产品信息
11403-1-AP targets MELK in WB, IHC, IF, CoIP, ELISA applications and shows reactivity with human, mouse samples.
| 经测试应用 | WB, IHC, ELISA Application Description |
| 文献引用应用 | WB, IHC, IF, CoIP |
| 经测试反应性 | human, mouse |
| 文献引用反应性 | human, mouse |
| 免疫原 |
CatNo: Ag1897 Product name: Recombinant human MELK protein Source: e coli.-derived, PGEX-4T Tag: GST Domain: 302-651 aa of BC014039 Sequence: EDLISLWQYDHLTATYLLLLAKKARGKPVRLRLSSFSCGQASATPFTDIKSNNWSLEDVTASDKNYVAGLIDYDWCEDDLSTGAATPRTSQFTKYWTESNGVESKSLTPALCRTPANKLKNKENVYTPKSAVKNEEYFMFPEPKTPVNKNQHKREILTTPNRYTTPSKARNQCLKETPIKIPVNSTGTDKLMTGVISPERRCRSVELDLNQAHMEETPKRKGAKVFGSLERGLDKVITVLTRSKRKGSARDGPRRLKLHYNVTTTRLVNPDQLLNEIMSILPKKHVDFVQKGYTLKCQTQSDFGKVTMQFELEVCQLQKPDVVGIRRQRLKGDAWVYKRLVEDILSSCKV 种属同源性预测 |
| 宿主/亚型 | Rabbit / IgG |
| 抗体类别 | Polyclonal |
| 产品类型 | Antibody |
| 全称 | maternal embryonic leucine zipper kinase |
| 别名 | hMELK, HPK38, KIAA0175, MELK, Protein kinase PK38 |
| 计算分子量 | 651 aa, 75 kDa |
| 观测分子量 | 50-70 kDa |
| GenBank蛋白编号 | BC014039 |
| 基因名称 | MELK |
| Gene ID (NCBI) | 9833 |
| RRID | AB_2877762 |
| 偶联类型 | Unconjugated |
| 形式 | Liquid |
| 纯化方式 | Antigen affinity purification |
| UNIPROT ID | Q14680 |
| 储存缓冲液 | PBS with 0.02% sodium azide and 50% glycerol, pH 7.3. |
| 储存条件 | Store at -20°C. Stable for one year after shipment. Aliquoting is unnecessary for -20oC storage. |
背景介绍
MELK is involved in various processes such as cell cycle regulation, self-renewal of stem cells, apoptosis and splicing regulation. It also plays a key role in cell proliferation and carcinogenesis, and it is required for proliferation of embryonic and postnatal multipotent neural progenitors.
实验方案
| Product Specific Protocols | |
|---|---|
| IHC protocol for MELK antibody 11403-1-AP | Download protocol |
| WB protocol for MELK antibody 11403-1-AP | Download protocol |
| Standard Protocols | |
|---|---|
| Click here to view our Standard Protocols |
发表文章
| Species | Application | Title |
|---|---|---|
Int J Oncol MELK predicts poor prognosis and promotes metastasis in esophageal squamous cell carcinoma via activating the NF‑κB pathway. | ||
Med Sci Monit Up-Regulated Maternal Embryonic Leucine Zipper Kinase Predicts Poor Prognosis of Hepatocellular Carcinoma Patients in a Chinese Han Population. | ||
Drug Des Devel Ther A Novel Tetramethylpyrazine Chalcone Hybrid- HCTMPPK, as a Potential Anti-Lung Cancer Agent by Downregulating MELK | ||
J Cancer Identification and validation of a novel apoptosis-related prognostic risk score model for lung adenocarcinoma | ||
Cancer Cell Int Upregulation of MELK promotes chemoresistance and induces macrophage M2 polarization via CSF-1/JAK2/STAT3 pathway in gastric cancer | ||
Front Cell Dev Biol Melk facilitates pulmonary artery smooth muscle cell proliferation and migration in pulmonary hypertension via modulation of YAP/TAZ signaling. |













