验证数据展示
经过测试的应用
| Positive WB detected in | SH-SY5Y cells, mouse colon tissue, mouse brain tissue, mouse heart tissue | 
| Positive IP detected in | SH-SY5Y cells | 
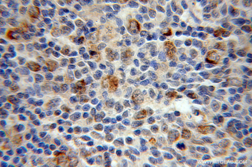
| Positive IHC detected in | human lymphoma tissue Note: suggested antigen retrieval with TE buffer pH 9.0; (*) Alternatively, antigen retrieval may be performed with citrate buffer pH 6.0 | 
| Positive IF/ICC detected in | HepG2 cells | 
| Positive FC (Intra) detected in | HeLa cells | 
推荐稀释比
| 应用 | 推荐稀释比 | 
|---|---|
| Western Blot (WB) | WB : 1:500-1:1000 | 
| Immunoprecipitation (IP) | IP : 0.5-4.0 ug for 1.0-3.0 mg of total protein lysate | 
| Immunohistochemistry (IHC) | IHC : 1:20-1:200 | 
| Immunofluorescence (IF)/ICC | IF/ICC : 1:50-1:500 | 
| Flow Cytometry (FC) (INTRA) | FC (INTRA) : 0.40 ug per 10^6 cells in a 100 µl suspension | 
| It is recommended that this reagent should be titrated in each testing system to obtain optimal results. | |
| Sample-dependent, Check data in validation data gallery. | |
产品信息
10056-1-AP targets MEF2C in WB, IHC, IF/ICC, FC (Intra), IP, chIP, ELISA applications and shows reactivity with human, mouse samples.
| 经测试应用 | WB, IHC, IF/ICC, FC (Intra), IP, ELISA Application Description | 
| 文献引用应用 | WB, IHC, IF, IP, chIP | 
| 经测试反应性 | human, mouse | 
| 文献引用反应性 | human, mouse, rat, pig, bovine, goat | 
| 免疫原 | CatNo: Ag0020 Product name: Recombinant human MEF2C protein Source: e coli.-derived, Unknow Tag: N/A Domain: MEF2C of BC156603 Sequence:种属同源性预测 | 
| 宿主/亚型 | Rabbit / IgG | 
| 抗体类别 | Polyclonal | 
| 产品类型 | Antibody | 
| 全称 | myocyte enhancer factor 2C | 
| 别名 | myocyte enhancer factor 2C, Myocyte-specific enhancer factor 2C | 
| 计算分子量 | 51 kDa | 
| 观测分子量 | 45-70 kDa | 
| GenBank蛋白编号 | BC156603 | 
| 基因名称 | MEF2C | 
| Gene ID (NCBI) | 4208 | 
| RRID | AB_513447 | 
| 偶联类型 | Unconjugated | 
| 形式 | Liquid | 
| 纯化方式 | Antigen affinity purification | 
| UNIPROT ID | Q06413 | 
| 储存缓冲液 | PBS with 0.02% sodium azide and 50% glycerol, pH 7.3. | 
| 储存条件 | Store at -20°C. Stable for one year after shipment. Aliquoting is unnecessary for -20oC storage. | 
背景介绍
MEF2C belongs to the MEF2 family. It is a transcription activator which binds specifically to the MEF2 element present in the regulatory regions of many muscle-specific genes. MEF2C controls cardiac morphogenesis and myogenesis, and is also involved in vascular development[PMID: 20221419]. It plays an essential role in hippocampal-dependent learning and memory by suppressing the number of excitatory synapses and thus regulating basal and evoked synaptic transmission[PMID:18599438]. It is crucial for normal neuronal development, distribution, and electrical activity in the neocortex and is necessary for proper development of megakaryocytes and platelets and for bone marrow B lymphopoiesis[PMID: 21666133]. This protein is required for B-cell survival and proliferation in response to BCR stimulation, efficient IgG1 antibody responses to T-cell-dependent antigens and for normal induction of germinal center B cells. It may also be involved in neurogenesis and in the development of cortical architecture. MEF2C exists some isoforms with MV 50-52 kDa, 47 kDa, and 45 kDa, but modified MEF2C is about 55-66 kDa.
实验方案
| Product Specific Protocols | |
|---|---|
| FC protocol for MEF2C antibody 10056-1-AP | Download protocol | 
| IF protocol for MEF2C antibody 10056-1-AP | Download protocol | 
| IHC protocol for MEF2C antibody 10056-1-AP | Download protocol | 
| IP protocol for MEF2C antibody 10056-1-AP | Download protocol | 
| WB protocol for MEF2C antibody 10056-1-AP | Download protocol | 
| Standard Protocols | |
|---|---|
| Click here to view our Standard Protocols | 
发表文章
| Species | Application | Title | 
|---|---|---|
| Nat Biotechnol Isolation of primitive endoderm, mesoderm, vascular endothelial and trophoblast progenitors from human pluripotent stem cells. | ||
| Cell Res Sequential progenitor states mark the generation of pancreatic endocrine lineages in mice and humans. | ||
| Nat Neurosci Tbr1 haploinsufficiency impairs amygdalar axonal projections and results in cognitive abnormality. | ||
| Nat Commun NitroSynapsin therapy for a mouse MEF2C haploinsufficiency model of human autism. | ||
| Genes Dev Gsx2 controls region-specific activation of neural stem cells and injury-induced neurogenesis in the adult subventricular zone. | 












