验证数据展示
经过测试的应用
| Positive WB detected in | Jurkat cells, mouse testis tissue |
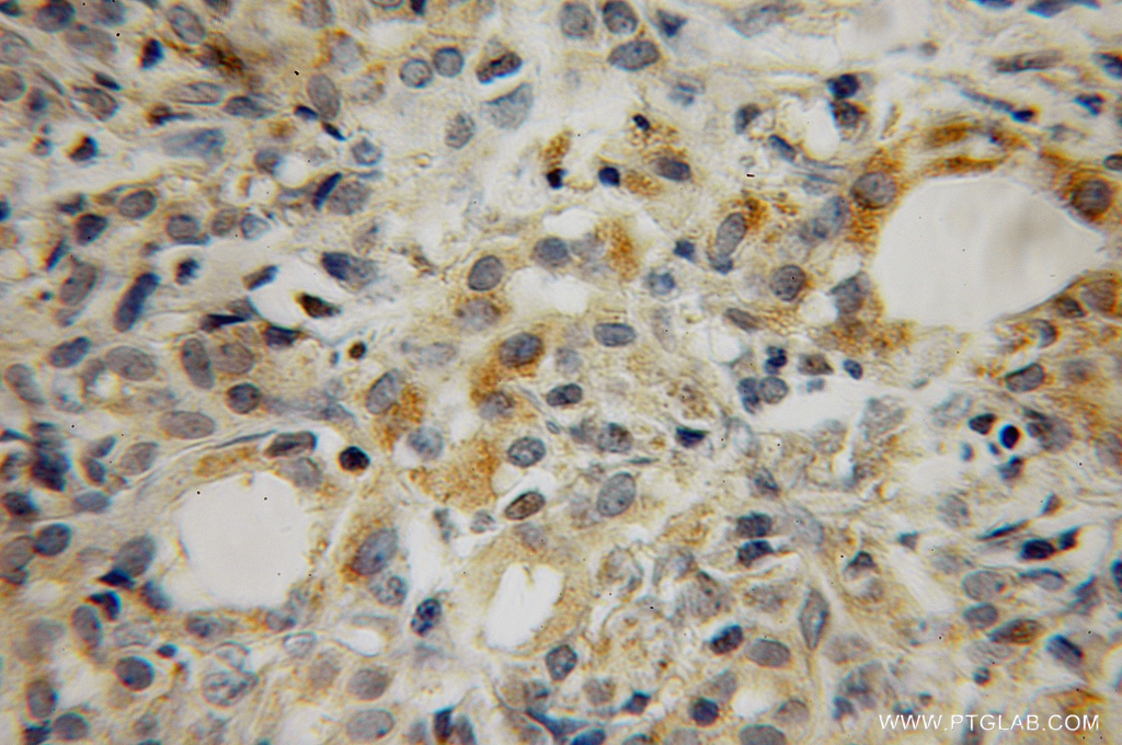
| Positive IHC detected in | human pancreas cancer tissue Note: suggested antigen retrieval with TE buffer pH 9.0; (*) Alternatively, antigen retrieval may be performed with citrate buffer pH 6.0 |
推荐稀释比
| 应用 | 推荐稀释比 |
|---|---|
| Western Blot (WB) | WB : 1:500-1:1000 |
| Immunohistochemistry (IHC) | IHC : 1:20-1:200 |
| It is recommended that this reagent should be titrated in each testing system to obtain optimal results. | |
| Sample-dependent, Check data in validation data gallery. | |
产品信息
10267-1-AP targets MEA1 in WB, IHC, ELISA applications and shows reactivity with human, mouse samples.
| 经测试应用 | WB, IHC, ELISA Application Description |
| 经测试反应性 | human, mouse |
| 免疫原 |
CatNo: Ag0375 Product name: Recombinant human MEA1 protein Source: e coli.-derived, PGEX-4T Tag: GST Domain: 1-185 aa of BC001754 Sequence: MGPERHLSGAPARMATVVLGGDTMGPERIFPNQTEELGHQGPSEGTGDWSSEEPEEEQEETGSGPAGYSYQPLNQDPEQEEVELAPVGDGDVVADIQDRIQALGLHLPDPPLESEDEDEEGATALNNHSSIPMDPEHVELVKRTMAGVSLPAPGVPAWAREISDAQWEDVVQKALQARQASPAWK 种属同源性预测 |
| 宿主/亚型 | Rabbit / IgG |
| 抗体类别 | Polyclonal |
| 产品类型 | Antibody |
| 全称 | male-enhanced antigen 1 |
| 别名 | HYS, male enhanced antigen 1, MEA, MEA 1, MEA1 |
| 计算分子量 | 20 kDa |
| 观测分子量 | 34 kDa and 36 kDa |
| GenBank蛋白编号 | BC001754 |
| 基因名称 | MEA1 |
| Gene ID (NCBI) | 4201 |
| RRID | AB_2143838 |
| 偶联类型 | Unconjugated |
| 形式 | Liquid |
| 纯化方式 | Antigen affinity purification |
| UNIPROT ID | Q16626 |
| 储存缓冲液 | PBS with 0.02% sodium azide and 50% glycerol, pH 7.3. |
| 储存条件 | Store at -20°C. Stable for one year after shipment. Aliquoting is unnecessary for -20oC storage. |
背景介绍
MEA1, also named Male-enhanced antigen 1, is a 185 amino acid protein, which is highly expressed in testis. MEA1 may play an important role in spermatogenesis and/or testis development. Endogenous protein was detected as two bands (34 kDa and 36 kDa). (PMID: 12444059)
实验方案
| Product Specific Protocols | |
|---|---|
| WB protocol for MEA1 antibody 10267-1-AP | Download protocol |
| IHC protocol for MEA1 antibody 10267-1-AP | Download protocol |
| Standard Protocols | |
|---|---|
| Click here to view our Standard Protocols |


