验证数据展示
经过测试的应用
| Positive WB detected in | SH-SY5Y cells, COLO 320 cells, mouse embryo tissue |
| Positive IP detected in | mouse embryo tissue |
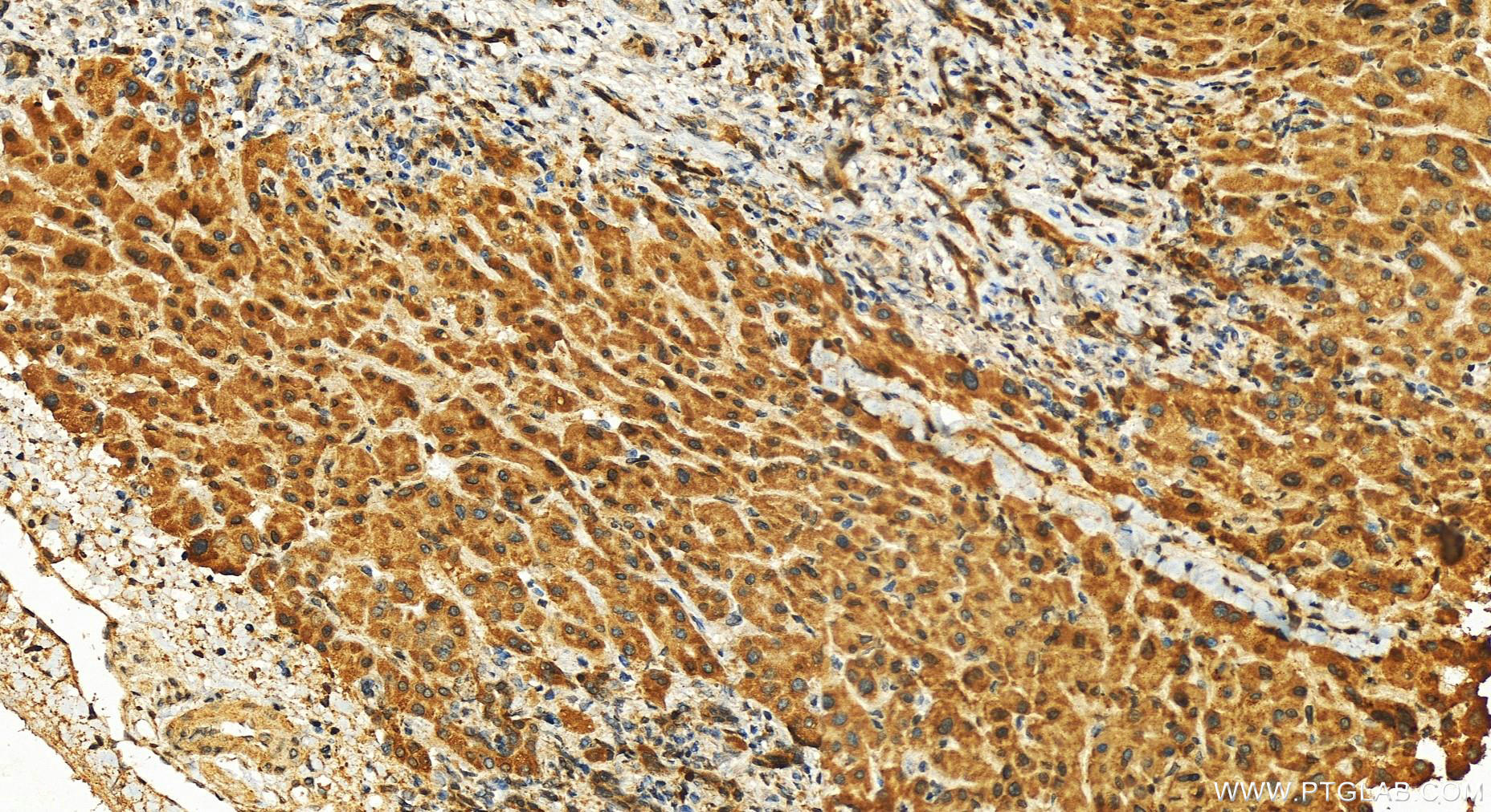
| Positive IHC detected in | human intrahepatic cholangiocarcinoma tissue, human liver cancer tissue Note: suggested antigen retrieval with TE buffer pH 9.0; (*) Alternatively, antigen retrieval may be performed with citrate buffer pH 6.0 |
| Positive IF/ICC detected in | HeLa cells |
推荐稀释比
| 应用 | 推荐稀释比 |
|---|---|
| Western Blot (WB) | WB : 1:1000-1:4000 |
| Immunoprecipitation (IP) | IP : 0.5-4.0 ug for 1.0-3.0 mg of total protein lysate |
| Immunohistochemistry (IHC) | IHC : 1:50-1:500 |
| Immunofluorescence (IF)/ICC | IF/ICC : 1:50-1:500 |
| It is recommended that this reagent should be titrated in each testing system to obtain optimal results. | |
| Sample-dependent, Check data in validation data gallery. | |
产品信息
11009-1-AP targets Midkine in WB, IHC, IF/ICC, IP, ELISA applications and shows reactivity with human, mouse samples.
| 经测试应用 | WB, IHC, IF/ICC, IP, ELISA Application Description |
| 文献引用应用 | WB, IHC, IF |
| 经测试反应性 | human, mouse |
| 文献引用反应性 | human, mouse, rat |
| 免疫原 |
CatNo: Ag1465 Product name: Recombinant human MDK protein Source: e coli.-derived, PGEX-4T Tag: GST Domain: 1-143 aa of BC011704 Sequence: MQHRGFLLLTLLALLALTSAVAKKKDKVKKGGPGSECAEWAWGPCTPSSKDCGVGFREGTCGAQTQRIRCRVPCNWKKEFGADCKYKFENWGACDGGTGTKVRQGTLKKARYNAQCQETIRVTKPCTPKTKAKAKAKKGKGKD 种属同源性预测 |
| 宿主/亚型 | Rabbit / IgG |
| 抗体类别 | Polyclonal |
| 产品类型 | Antibody |
| 全称 | midkine (neurite growth-promoting factor 2) |
| 别名 | MDK, Amphiregulin-associated protein, Neurite outgrowth-promoting factor 2, Neurite outgrowth-promoting protein |
| 计算分子量 | 16 kDa |
| 观测分子量 | 16 kDa |
| GenBank蛋白编号 | BC011704 |
| 基因名称 | Midkine |
| Gene ID (NCBI) | 4192 |
| RRID | AB_2250619 |
| 偶联类型 | Unconjugated |
| 形式 | Liquid |
| 纯化方式 | Antigen affinity purification |
| UNIPROT ID | P21741 |
| 储存缓冲液 | PBS with 0.02% sodium azide and 50% glycerol, pH 7.3. |
| 储存条件 | Store at -20°C. Stable for one year after shipment. Aliquoting is unnecessary for -20oC storage. |
背景介绍
Midkine is a heparin-binding growth factor identified over 20 years ago and enhances the survival, migration and many other activities of target cells. Midkine is rich in both basic amino acids and cysteine, and is not related to most other growth factors/cytokines. It is strongly expressed during embryonic periods, especially at the midgestation stage, and plays important roles in development, especially in neurogenesis. Midkine expression in adult tissue is generally weak or undetectable, and it is induced upon injury and exerts many activities related to tissue repair. The biological activities of midkine in malignant tumors include proliferation, angiogenesis, invasion and metastasis. Various cancers express significantly higher levels of the midkine protein in early stage tumor tissues than in adjacent normal tissue.
实验方案
| Product Specific Protocols | |
|---|---|
| IF protocol for Midkine antibody 11009-1-AP | Download protocol |
| IHC protocol for Midkine antibody 11009-1-AP | Download protocol |
| IP protocol for Midkine antibody 11009-1-AP | Download protocol |
| WB protocol for Midkine antibody 11009-1-AP | Download protocol |
| Standard Protocols | |
|---|---|
| Click here to view our Standard Protocols |
发表文章
| Species | Application | Title |
|---|---|---|
Front Immunol Roles of the m6A Modification of RNA in the Glioblastoma Microenvironment as Revealed by Single-Cell Analyses.
| ||
Front Oncol Targeting MDK Abrogates IFN-γ-Elicited Metastasis inCancers of Various Origins. | ||
Cancer Cell Int Midkine promotes glioblastoma progression via PI3K-Akt signaling.
| ||
Am J Respir Cell Mol Biol Mesenchymal Glucocorticoid Receptor Regulates Development of Multiple Cell Layers of the Mouse Lung. | ||
J Mol Neurosci Electroacupuncture Alleviated Neuronal Apoptosis Following Ischemic Stroke in Rats via Midkine and ERK/JNK/p38 Signaling Pathway. |








