验证数据展示
经过测试的应用
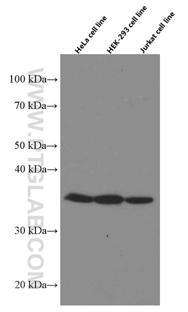
| Positive WB detected in | HeLa cells, HEK-293 cells, NIH/3T3 cells, RAW 264.7 cells, Jurkat cells |
| Positive IHC detected in | rat heart tissue Note: suggested antigen retrieval with TE buffer pH 9.0; (*) Alternatively, antigen retrieval may be performed with citrate buffer pH 6.0 |
| Positive IF/ICC detected in | HepG2 cells |
| Positive FC (Intra) detected in | HEK-293 cells |
推荐稀释比
| 应用 | 推荐稀释比 |
|---|---|
| Western Blot (WB) | WB : 1:2000-1:10000 |
| Immunohistochemistry (IHC) | IHC : 1:1000-1:4000 |
| Immunofluorescence (IF)/ICC | IF/ICC : 1:50-1:500 |
| Flow Cytometry (FC) (INTRA) | FC (INTRA) : 0.40 ug per 10^6 cells in a 100 µl suspension |
| It is recommended that this reagent should be titrated in each testing system to obtain optimal results. | |
| Sample-dependent, Check data in validation data gallery. | |
产品信息
66505-1-Ig targets MDH1 in WB, IHC, IF/ICC, FC (Intra), IP, ELISA applications and shows reactivity with human, mouse, rat samples.
| 经测试应用 | WB, IHC, IF/ICC, FC (Intra), ELISA Application Description |
| 文献引用应用 | WB, IF, IP |
| 经测试反应性 | human, mouse, rat |
| 文献引用反应性 | human, mouse, rat |
| 免疫原 |
CatNo: Ag8744 Product name: Recombinant human MDH1 protein Source: e coli.-derived, PGEX-4T Tag: GST Domain: 1-334 aa of BC001484 Sequence: MSEPIRVLVTGAAGQIAYSLLYSIGNGSVFGKDQPIILVLLDITPMMGVLDGVLMELQDCALPLLKDVIATDKEDVAFKDLDVAILVGSMPRREGMERKDLLKANVKIFKSQGAALDKYAKKSVKVIVVGNPANTNCLTASKSAPSIPKENFSCLTRLDHNRAKAQIALKLGVTANDVKNVIIWGNHSSTQYPDVNHAKVKLQGKEVGVYEALKDDSWLKGEFVTTVQQRGAAVIKARKLSSAMSAAKAICDHVRDIWFGTPEGEFVSMGVISDGNSYGVPDDLLYSFPVVIKNKTWKFVEGLPINDFSREKMDLTAKELTEEKESAFEFLSSA 种属同源性预测 |
| 宿主/亚型 | Mouse / IgG1 |
| 抗体类别 | Monoclonal |
| 产品类型 | Antibody |
| 全称 | malate dehydrogenase 1, NAD (soluble) |
| 别名 | 1F9A2, Aromatic alpha-keto acid reductase, EC:1.1.1.37, EC:1.1.1.96, KAR |
| 计算分子量 | 334 aa, 36 kDa |
| 观测分子量 | 36-37 kDa |
| GenBank蛋白编号 | BC001484 |
| 基因名称 | MDH1 |
| Gene ID (NCBI) | 4190 |
| RRID | AB_2881868 |
| 偶联类型 | Unconjugated |
| 形式 | Liquid |
| 纯化方式 | Protein G purification |
| UNIPROT ID | P40925 |
| 储存缓冲液 | PBS with 0.02% sodium azide and 50% glycerol, pH 7.3. |
| 储存条件 | Store at -20°C. Stable for one year after shipment. Aliquoting is unnecessary for -20oC storage. |
背景介绍
MDH1 (Malate dehydrogenase, cytoplasmic) is also named as MDHA and belongs to the LDH/MDH superfamily and MDH type 2 family which catalyzes the reversible oxidation of malate to oxaloacetate, utilizing the NAD/NADH cofactor system in the citric acid cycle. It can exsit as a dimer and the dimeric MDH1 is the mitochondrial isoenzyme, whereas the tetrameric MDH2 is the glycosomal isoenzyme. (PMID:10693743)
实验方案
| Product Specific Protocols | |
|---|---|
| FC protocol for MDH1 antibody 66505-1-Ig | Download protocol |
| IF protocol for MDH1 antibody 66505-1-Ig | Download protocol |
| IHC protocol for MDH1 antibody 66505-1-Ig | Download protocol |
| WB protocol for MDH1 antibody 66505-1-Ig | Download protocol |
| Standard Protocols | |
|---|---|
| Click here to view our Standard Protocols |
发表文章
| Species | Application | Title |
|---|---|---|
Cell Mol Biol Lett IDH1/MDH1 deacetylation promotes acute liver failure by regulating NETosis | ||
J Proteome Res Characteristics of Myocardial Structure and Central Carbon Metabolism during the Early and Compensatory Stages of Cardiac Hypertrophy | ||
Phytomedicine Hydroxysafflor yellow A ameliorates myocardial ischemia/reperfusion injury by promoting MDH1-mediated mitochondrial metabolic homeostasis | ||
Mol Cell Functional nutrient-genetic profiling reveals biotin and FBXW7 are essential to bypass glutamine addiction | ||
Nat Microbiol Oxaloacetate sensing promotes innate immune antiviral defence against influenza virus infection.
|







