验证数据展示
经过测试的应用
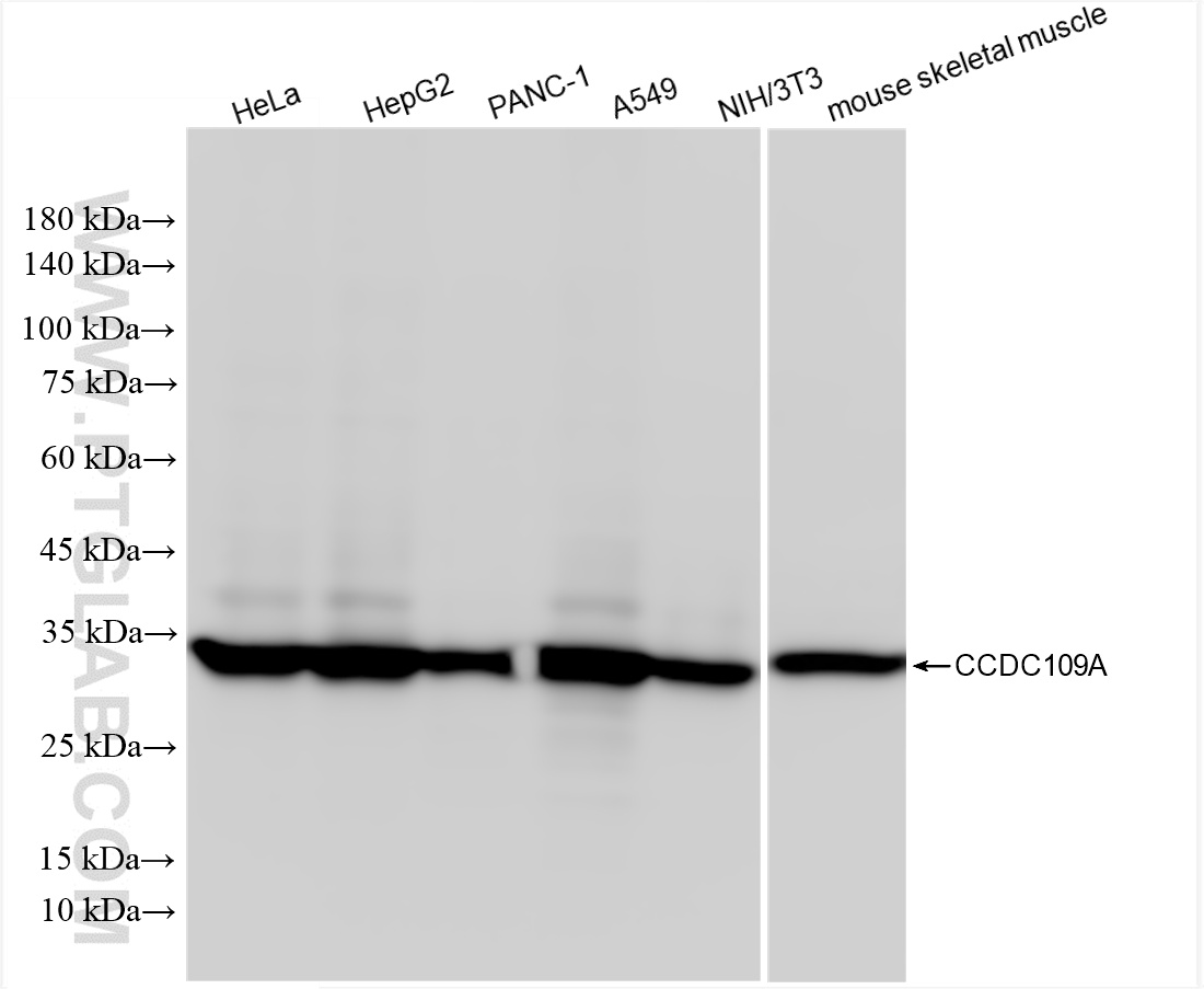
| Positive WB detected in | HeLa cells, HepG2 cells, PANC-1 cells, A549 cells, NIH/3T3 cells, mouse skeletal muscle tissue |
| Positive IF/ICC detected in | HeLa cells |
推荐稀释比
| 应用 | 推荐稀释比 |
|---|---|
| Western Blot (WB) | WB : 1:5000-1:50000 |
| Immunofluorescence (IF)/ICC | IF/ICC : 1:250-1:1000 |
| It is recommended that this reagent should be titrated in each testing system to obtain optimal results. | |
| Sample-dependent, Check data in validation data gallery. | |
产品信息
86274-1-RR targets MCU/CCDC109A in WB, IF/ICC, ELISA applications and shows reactivity with human, mouse samples.
| 经测试应用 | WB, IF/ICC, ELISA Application Description |
| 经测试反应性 | human, mouse |
| 免疫原 |
CatNo: Ag24733 Product name: Recombinant human CCDC109A protein Source: e coli.-derived, PGEX-4T Tag: GST Domain: 155-233 aa of BC034235 Sequence: DLTYHVRPPKRDLLSHENAATLNDVKTLVQQLYTTLCIEQHQLNKERELIERLEDLKEQLAPLEKVRIEISRKAEKRTT 种属同源性预测 |
| 宿主/亚型 | Rabbit / IgG |
| 抗体类别 | Recombinant |
| 产品类型 | Antibody |
| 全称 | coiled-coil domain containing 109A |
| 别名 | CCDC109A, MCU, C10orf42, Calcium uniporter protein, Calcium uniporter protein, mitochondrial |
| 计算分子量 | 35 kDa |
| 观测分子量 | 30-35 kDa |
| GenBank蛋白编号 | BC034235 |
| 基因名称 | CCDC109A |
| Gene ID (NCBI) | 90550 |
| RRID | AB_3744772 |
| 偶联类型 | Unconjugated |
| 形式 | Liquid |
| 纯化方式 | Protein A purification |
| UNIPROT ID | Q8NE86 |
| 储存缓冲液 | PBS with 0.02% sodium azide and 50% glycerol, pH 7.3. |
| 储存条件 | Store at -20°C. Stable for one year after shipment. Aliquoting is unnecessary for -20oC storage. |
背景介绍
MCU, also known as CCDC109A, is highly conserved across all eukaryotes. The MCU protein is composed of two coiled-coil domains, two TMDs, and a short motif of amino acids between the two TMDs. Knockdown of MCU dramatically reduces mitochondrial Ca2+ uptake in isolated mitochondria, in permeabilized cells and living cells. MCU has 3 isoforms with MW 40,37 and 35 kDa (refer to UniProt). The observed MW of MCU is mainly between 30 to 35 kDa in paper (PMID: 26341627; 28337252).
实验方案
| Product Specific Protocols | |
|---|---|
| IF protocol for MCU/CCDC109A antibody 86274-1-RR | Download protocol |
| WB protocol for MCU/CCDC109A antibody 86274-1-RR | Download protocol |
| Standard Protocols | |
|---|---|
| Click here to view our Standard Protocols |


