验证数据展示
经过测试的应用
| Positive WB detected in | BxPC-3 cells, HEK-293 cells, HeLa cells | 
| Positive IP detected in | Raji cells | 
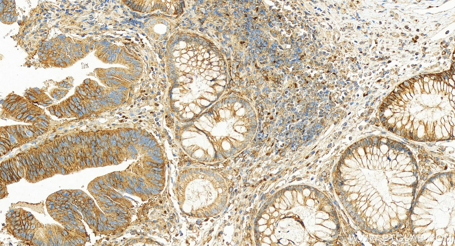
| Positive IHC detected in | human colon cancer tissue, human breast cancer tissue,  human cervical cancer tissue Note: suggested antigen retrieval with TE buffer pH 9.0; (*) Alternatively, antigen retrieval may be performed with citrate buffer pH 6.0  | 
| Positive IF/ICC detected in | HeLa cells | 
推荐稀释比
| 应用 | 推荐稀释比 | 
|---|---|
| Western Blot (WB) | WB : 1:2000-1:10000 | 
| Immunoprecipitation (IP) | IP : 0.5-4.0 ug for 1.0-3.0 mg of total protein lysate | 
| Immunohistochemistry (IHC) | IHC : 1:800-1:3200 | 
| Immunofluorescence (IF)/ICC | IF/ICC : 1:50-1:500 | 
| It is recommended that this reagent should be titrated in each testing system to obtain optimal results. | |
| Sample-dependent, Check data in validation data gallery. | |
产品信息
20139-1-AP targets MCT1 in WB, IHC, IF/ICC, IP, ELISA applications and shows reactivity with human samples.
| 经测试应用 | WB, IHC, IF/ICC, IP, ELISA Application Description | 
| 文献引用应用 | WB, IHC, IF, IP | 
| 经测试反应性 | human | 
| 文献引用反应性 | human, mouse, rat, bovine | 
| 免疫原 | 
                                             CatNo: Ag14098 Product name: Recombinant human MCT1 protein Source: e coli.-derived, PGEX-4T Tag: GST Domain: 451-500 aa of BC026317 Sequence: EQKANEQKKESKEEETSIDVAGKPNEVTKAAESPDQKDTDGGPKEEESPV 种属同源性预测 | 
                                    
| 宿主/亚型 | Rabbit / IgG | 
| 抗体类别 | Polyclonal | 
| 产品类型 | Antibody | 
| 全称 | solute carrier family 16, member 1 (monocarboxylic acid transporter 1) | 
| 别名 | SLC16A1, FLJ36745, HHF7, MCT, MCT 1 | 
| 计算分子量 | 500 aa, 54 kDa | 
| 观测分子量 | 38-45 kDa | 
| GenBank蛋白编号 | BC026317 | 
| 基因名称 | MCT1 | 
| Gene ID (NCBI) | 6566 | 
| RRID | AB_2878645 | 
| 偶联类型 | Unconjugated | 
| 形式 | Liquid | 
| 纯化方式 | Antigen affinity purification | 
| UNIPROT ID | P53985 | 
| 储存缓冲液 | PBS with 0.02% sodium azide and 50% glycerol, pH 7.3. | 
| 储存条件 | Store at -20°C. Stable for one year after shipment. Aliquoting is unnecessary for -20oC storage. | 
背景介绍
MCT1, the SLC16A1 gene product, is a trans-membrane symporter involved in lactate and pyruvate transportation. It plays an important role in lactic acid transport and H+ clearance in cancer cells. MCT overexpression had been observed in various cancers and may play an important role in tumorigenesis. Two isoforms of MCT1 exist due to the alternative splicing, with predicted MW of 54 kDa and 46 kDa, respectively. While western blot analysis detected MCT1 at an apparent molecular mass of 40-50 kDa.
实验方案
| Product Specific Protocols | |
|---|---|
| IF protocol for MCT1 antibody 20139-1-AP | Download protocol | 
| IHC protocol for MCT1 antibody 20139-1-AP | Download protocol | 
| IP protocol for MCT1 antibody 20139-1-AP | Download protocol | 
| WB protocol for MCT1 antibody 20139-1-AP | Download protocol | 
| Standard Protocols | |
|---|---|
| Click here to view our Standard Protocols | 
发表文章
| Species | Application | Title | 
|---|---|---|
Cell Metab High dietary fructose promotes hepatocellular carcinoma progression by enhancing O-GlcNAcylation via microbiota-derived acetate | ||
Cell Metab Acetate enables metabolic fitness and cognitive performance during sleep disruption | ||
Nat Cancer Targeting the bicarbonate transporter SLC4A4 overcomes immunosuppression and immunotherapy resistance in pancreatic cancer | ||
J Exp Clin Cancer Res Lnc AC016727.1/BACH1/HIF-1 α signal loop promotes the progression of non-small cell lung cancer | ||
Clin Cancer Res A Novel Role for DNA-PK in Metabolism by Regulating Glycolysis in Castration Resistant Prostate Cancer. | ||
Theranostics ITGB2-mediated metabolic switch in CAFs promotes OSCC proliferation by oxidation of NADH in mitochondrial oxidative phosphorylation system. | 










