验证数据展示
经过测试的应用
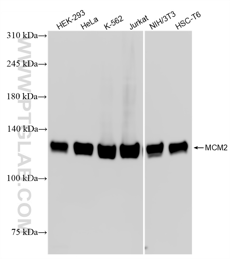
| Positive WB detected in | HEK-293 cells, HeLa cells, K-562 cells, Jurkat cells, NIH/3T3 cells, HSC-T6 cells, A431 cells |
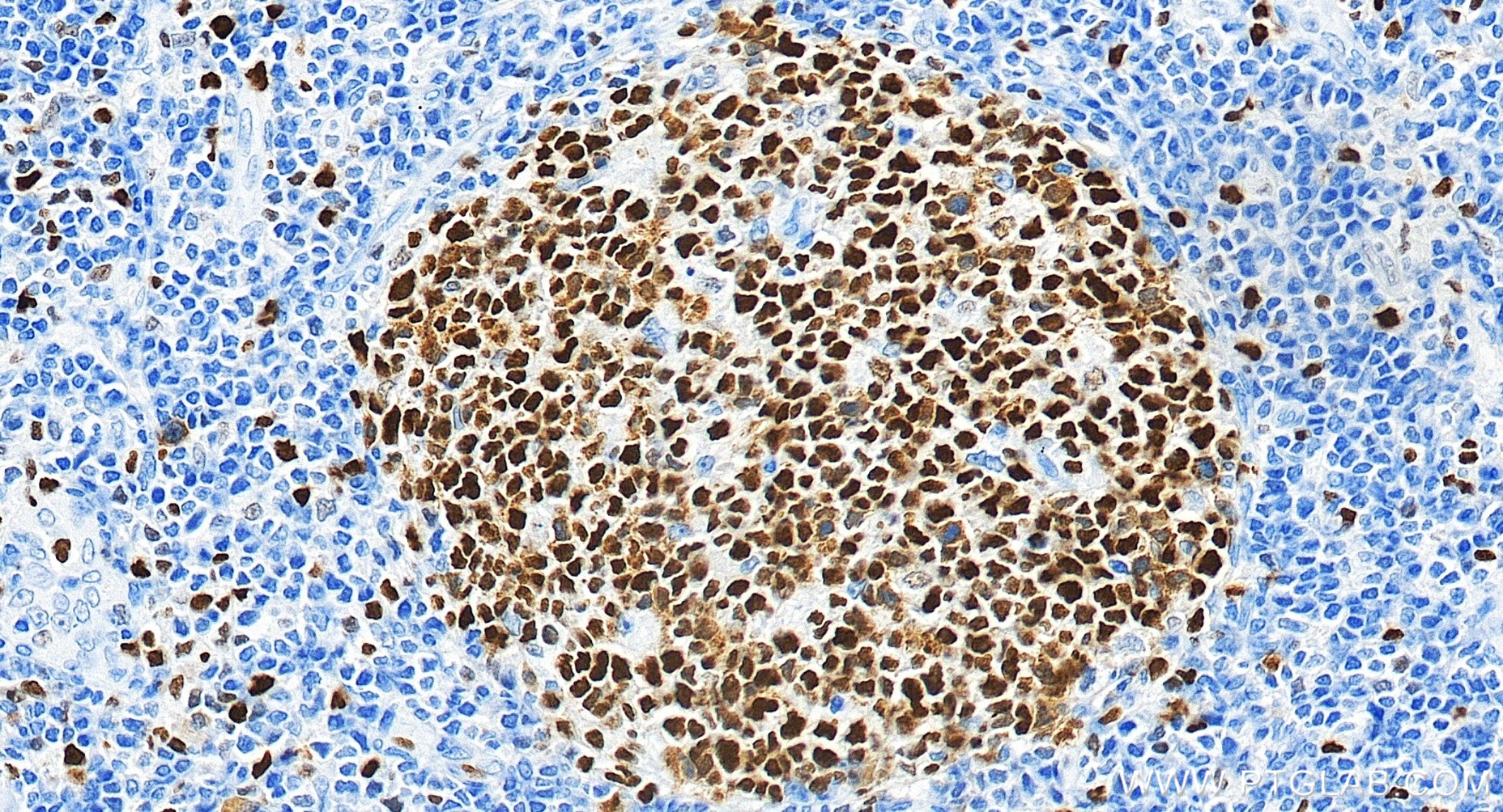
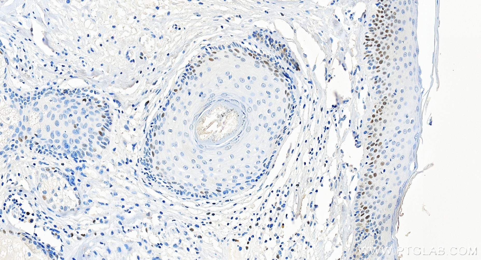
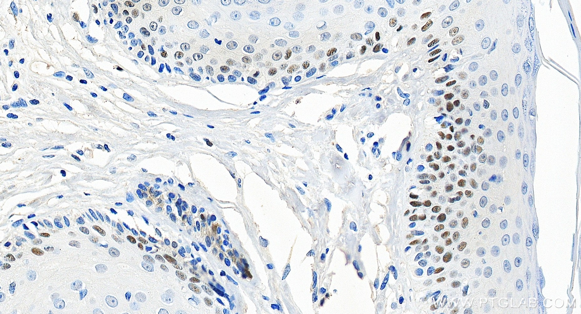
| Positive IHC detected in | human tonsillitis tissue, human cervical squamous cancer tissue, human colon cancer tissue, human placenta tissue, human skin tissue, mouse colon tissue, mouse small intestine tissue Note: suggested antigen retrieval with TE buffer pH 9.0; (*) Alternatively, antigen retrieval may be performed with citrate buffer pH 6.0 |
| Positive IF/ICC detected in | MCF-7 cells, HeLa cells |
推荐稀释比
| 应用 | 推荐稀释比 |
|---|---|
| Western Blot (WB) | WB : 1:5000-1:50000 |
| Immunohistochemistry (IHC) | IHC : 1:1000-1:4000 |
| Immunofluorescence (IF)/ICC | IF/ICC : 1:250-1:1000 |
| It is recommended that this reagent should be titrated in each testing system to obtain optimal results. | |
| Sample-dependent, Check data in validation data gallery. | |
产品信息
84511-5-RR targets MCM2 in WB, IHC, IF/ICC, ELISA applications and shows reactivity with human, mouse, rat samples.
| 经测试应用 | WB, IHC, IF/ICC, ELISA Application Description |
| 经测试反应性 | human, mouse, rat |
| 免疫原 |
CatNo: Ag0798 Product name: Recombinant human MCM2 protein Source: e coli.-derived, PGEX-4T Tag: GST Domain: 657-904 aa of BC007670 Sequence: FDILCVVRDTVDPVQDEMLARFVVGSHVRHHPSNKEEEGLANGSAAEPAMPNTYGVEPLPQEVLKKYIIYAKERVHPKLNQMDQDKVAKMYSDLRKESMATGSIPITVRHIESMIRMAEAHARIHLRDYVIEDDVNMAIRVMLESFIDTQKFSVMRSMRKTFARYLSFRRDNNELLLFILKQLVAEQVTYQRNRFGAQQDTIEVPEKDLVDKARQINIHNLSAFYDSELFRMNKFSHDLKRKMILQQF 种属同源性预测 |
| 宿主/亚型 | Rabbit / IgG |
| 抗体类别 | Recombinant |
| 产品类型 | Antibody |
| 全称 | minichromosome maintenance complex component 2 |
| 别名 | 241968F7, BM28, CCNL1, CDCL1, EC:3.6.4.12 |
| 计算分子量 | 102 kDa |
| 观测分子量 | 116-125 kDa |
| GenBank蛋白编号 | BC007670 |
| 基因名称 | MCM2 |
| Gene ID (NCBI) | 4171 |
| 偶联类型 | Unconjugated |
| 形式 | Liquid |
| 纯化方式 | Protein A purfication |
| UNIPROT ID | P49736 |
| 储存缓冲液 | PBS with 0.02% sodium azide and 50% glycerol, pH 7.3. |
| 储存条件 | Store at -20°C. Stable for one year after shipment. Aliquoting is unnecessary for -20oC storage. |
背景介绍
The MCM2-7 complex forms the core of the replicative helicase which acts as the molecular motor that uses ATP binding and hydrolysis to fuel the unwinding of double-stranded DNA at the replication fork in eukaryotes. This complex is the putative replicative helicase essential for 'once per cell cycle' DNA replication initiation and elongation in eukaryotic cells. MCM2, also named CDCL1 and BM28, is a human nuclear protein that plays an important role in 2 crucial steps of the cell cycle, namely, onset of DNA replication and cell division.
实验方案
| Product Specific Protocols | |
|---|---|
| IF protocol for MCM2 antibody 84511-5-RR | Download protocol |
| IHC protocol for MCM2 antibody 84511-5-RR | Download protocol |
| WB protocol for MCM2 antibody 84511-5-RR | Download protocol |
| Standard Protocols | |
|---|---|
| Click here to view our Standard Protocols |


















