验证数据展示
经过测试的应用
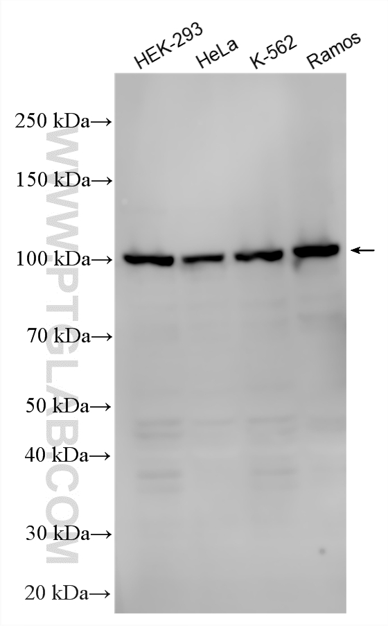
| Positive WB detected in | HEK-293 cells, HeLa cells, K-562 cells, Ramos cells |
推荐稀释比
| 应用 | 推荐稀释比 |
|---|---|
| Western Blot (WB) | WB : 1:1000-1:4000 |
| It is recommended that this reagent should be titrated in each testing system to obtain optimal results. | |
| Sample-dependent, Check data in validation data gallery. | |
产品信息
12251-1-AP targets MCM10 in WB, IHC, IF, ELISA applications and shows reactivity with human, mouse samples.
| 经测试应用 | WB, ELISA Application Description |
| 文献引用应用 | WB, IHC, IF |
| 经测试反应性 | human, mouse |
| 文献引用反应性 | human, mouse, chicken |
| 免疫原 |
CatNo: Ag2899 Product name: Recombinant human MCM10 protein Source: e coli.-derived, PGEX-4T Tag: GST Domain: 259-611 aa of BC009108 Sequence: MDLPTCGARNLKQHLAKASASGIMGSPKPAIKSISASALLKQQKQRMLEMRRRKSEEIQKRFLQSSSEVESPAVPSSSRQPPAQPPRTGSEFPRLEGAPATMTPKLGRGVLEGDDVLFYDESPPPRPKLSALAEAKKLAAITKLRAKGQVLTKTNPNSIKKKQKDPQDILEVKERVEKNTMFSSQAEDELEPARKKRREQLAYLESEEFQKILKAKSKHTGILKEAEAEMQERYFEPLVKKEQMEEKMRNIREVKCRVVTCKTCAYTHFKLLETCVSEQHEYHWHDGVKRFFKCPCGNRSISLDRLPNKHCSNCGLYKWERDGMLKEKTGPKIGGETLLPRGEEHAKFLNSLK 种属同源性预测 |
| 宿主/亚型 | Rabbit / IgG |
| 抗体类别 | Polyclonal |
| 产品类型 | Antibody |
| 全称 | minichromosome maintenance complex component 10 |
| 别名 | CNA43, DNA43, HsMCM10, PRO2249, Protein MCM10 homolog |
| 计算分子量 | 874 aa, 97 kDa |
| 观测分子量 | 97-105 kDa |
| GenBank蛋白编号 | BC009108 |
| 基因名称 | MCM10 |
| Gene ID (NCBI) | 55388 |
| RRID | AB_2266259 |
| 偶联类型 | Unconjugated |
| 形式 | Liquid |
| 纯化方式 | Antigen affinity purification |
| UNIPROT ID | Q7L590 |
| 储存缓冲液 | PBS with 0.02% sodium azide and 50% glycerol, pH 7.3. |
| 储存条件 | Store at -20°C. Stable for one year after shipment. Aliquoting is unnecessary for -20oC storage. |
背景介绍
MCM10, also named as HsMCM10, belongs to the MCM10 family. It acts as a replication initiation factor that brings together the MCM2-7 helicase and the DNA polymerase alpha/primase complex in order to initiate DNA replication. Additionally, it plays a role in preventing DNA damage during replication and is essential for the integrity of the RECQ4-MCM replicative helicase complex. It mediates RECQ4 association with MCM2-7 helicase complex during DNA replication.
实验方案
| Product Specific Protocols | |
|---|---|
| WB protocol for MCM10 antibody 12251-1-AP | Download protocol |
| Standard Protocols | |
|---|---|
| Click here to view our Standard Protocols |
发表文章
| Species | Application | Title |
|---|---|---|
Adv Sci (Weinh) Topoisomerase I Inhibition in ETV4-overexpressed Non-Small Cell Lung Cancer Promotes Replication and Transcription Mediated R-Loop Accumulation and DNA Damage | ||
Nat Commun DONSON and FANCM associate with different replisomes distinguished by replication timing and chromatin domain. | ||
Nat Commun BRCA2 associates with MCM10 to suppress PRIMPOL-mediated repriming and single-stranded gap formation after DNA damage. | ||
Cancer Discov DDX5 regulates DNA replication and is required for cell proliferation in a subset of breast cancer cells. | ||
EMBO J MCM10 mediates RECQ4 association with MCM2-7 helicase complex during DNA replication. | ||
J Cell Biol Regulation of ETAA1-mediated ATR activation couples DNA replication fidelity and genome stability. |
