验证数据展示
经过测试的应用
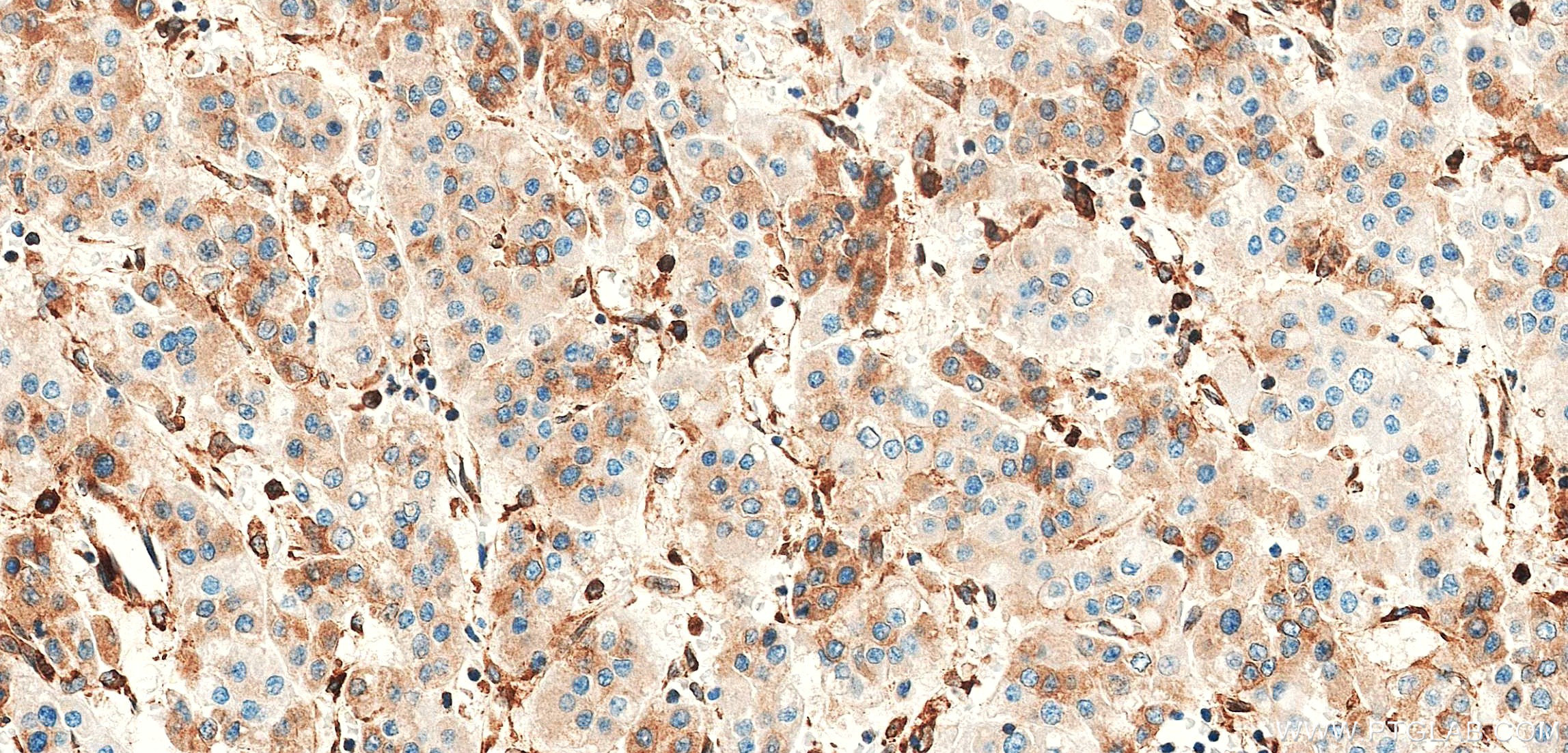
| Positive IHC detected in | Human Hepatocellular cancer, mouse testis tissue Note: suggested antigen retrieval with TE buffer pH 9.0; (*) Alternatively, antigen retrieval may be performed with citrate buffer pH 6.0 |
| Positive IF/ICC detected in | HuH-7 cells |
| Positive FC (Intra) detected in | A549 cells |
推荐稀释比
| 应用 | 推荐稀释比 |
|---|---|
| Immunohistochemistry (IHC) | IHC : 1:500-1:2000 |
| Immunofluorescence (IF)/ICC | IF/ICC : 1:125-1:500 |
| Flow Cytometry (FC) (INTRA) | FC (INTRA) : 0.25 ug per 10^6 cells in a 100 µl suspension |
| It is recommended that this reagent should be titrated in each testing system to obtain optimal results. | |
| Sample-dependent, Check data in validation data gallery. | |
产品信息
83546-3-RR targets MBOAT7 in IHC, IF/ICC, FC (Intra), ELISA applications and shows reactivity with human, mouse samples.
| 经测试应用 | IHC, IF/ICC, FC (Intra), ELISA Application Description |
| 经测试反应性 | human, mouse |
| 免疫原 |
CatNo: Ag24466 Product name: Recombinant human MBOAT7 protein Source: e coli.-derived, PGEX-4T Tag: GST Domain: 284-344 aa of BC006309 Sequence: SSPEKAASLEYDYETIRNIDCYSTDFCVRVRDGMRYWNMTVQWWLAQYIYKSAPARSYVLR 种属同源性预测 |
| 宿主/亚型 | Rabbit / IgG |
| 抗体类别 | Recombinant |
| 产品类型 | Antibody |
| 全称 | membrane bound O-acyltransferase domain containing 7 |
| 别名 | 1-acylglycerophosphatidylinositol O-acyltransferase, 240505E8, BB1, Bladder and breast carcinoma-overexpressed gene 1 protein, EC:2.3.1.- |
| 计算分子量 | 472 aa, 53 kDa |
| GenBank蛋白编号 | BC006309 |
| 基因名称 | MBOAT7 |
| Gene ID (NCBI) | 79143 |
| RRID | AB_3671165 |
| 偶联类型 | Unconjugated |
| 形式 | Liquid |
| 纯化方式 | Protein A purfication |
| UNIPROT ID | Q96N66 |
| 储存缓冲液 | PBS with 0.02% sodium azide and 50% glycerol, pH 7.3. |
| 储存条件 | Store at -20°C. Stable for one year after shipment. Aliquoting is unnecessary for -20oC storage. |
背景介绍
MBOAT7 (membrane-bound O-acyltransferase domain containing 7), also known as LPIAT, LENG4, or BB1, belongs to the MBOAT superfamily. MBOAT7 acylates lyso-phosphatidylinositol (lyso-PI) with arachidonyl-CoA and is involved in phosphatidylinositol acyl-chain remodeling in the Lands cycle (PMID: 30959108; PMID: 35509994). MBOAT7 deficiency in humans leads to developmental disorders of the central nervous system, with intellectual disability, epilepsy, and autism spectrum disorder (PMID: 37316513). The calculated molecular weight of MBOAT7 is 53 kDa. This antibody can recognize the 45 kDa isoform of MBOAT7.
实验方案
| Product Specific Protocols | |
|---|---|
| FC protocol for MBOAT7 antibody 83546-3-RR | Download protocol |
| IF protocol for MBOAT7 antibody 83546-3-RR | Download protocol |
| IHC protocol for MBOAT7 antibody 83546-3-RR | Download protocol |
| Standard Protocols | |
|---|---|
| Click here to view our Standard Protocols |






