验证数据展示
经过测试的应用
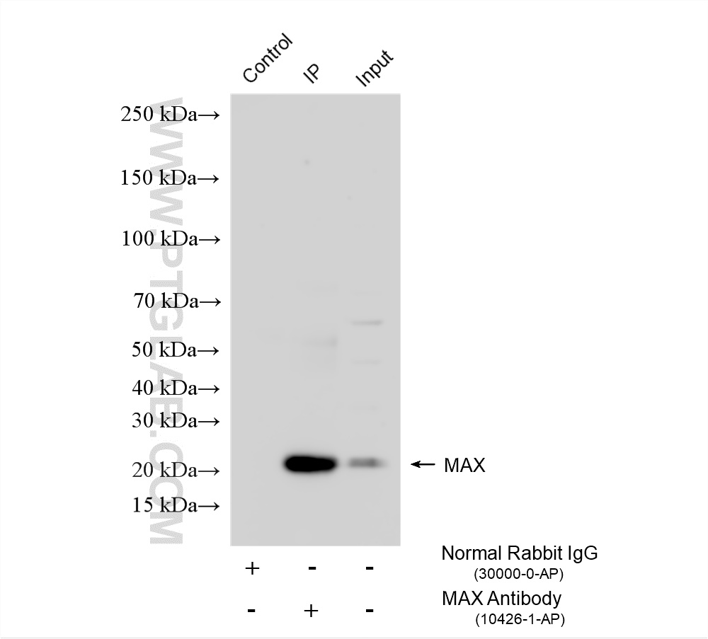
| Positive WB detected in | HEK-293 cells, PC-3 cells |
| Positive IP detected in | PC-3 cells |
推荐稀释比
| 应用 | 推荐稀释比 |
|---|---|
| Western Blot (WB) | WB : 1:500-1:1000 |
| Immunoprecipitation (IP) | IP : 0.5-4.0 ug for 1.0-3.0 mg of total protein lysate |
| It is recommended that this reagent should be titrated in each testing system to obtain optimal results. | |
| Sample-dependent, Check data in validation data gallery. | |
产品信息
10426-1-AP targets MAX in WB, IHC, IF, IP, CoIP, chIP, ELISA applications and shows reactivity with human samples.
| 经测试应用 | WB, IP, ELISA Application Description |
| 文献引用应用 | WB, IHC, IF, IP, CoIP, chIP |
| 经测试反应性 | human |
| 文献引用反应性 | human, mouse |
| 免疫原 |
CatNo: Ag0680 Product name: Recombinant human MAX protein Source: e coli.-derived, PGEX-4T Tag: GST Domain: 1-151 aa of BC003525 Sequence: MSDNDDIEVESDADKRAHHNALERKRRDHIKDSFHSLRDSVPSLQGEKASRAQILDKATEYIQYMRRKNHTHQQDIDDLKRQNALLEQQVRALEKARSSAQLQTNYPSSDNSLYTNAKGSTISAFDGGSDSSSESEPEEPQSRKKLRMEAS 种属同源性预测 |
| 宿主/亚型 | Rabbit / IgG |
| 抗体类别 | Polyclonal |
| 产品类型 | Antibody |
| 全称 | MYC associated factor X |
| 别名 | bHLHd4, bHLHd5, bHLHd6, bHLHd7, bHLHd8 |
| 计算分子量 | 18 kDa |
| 观测分子量 | 22 kDa |
| GenBank蛋白编号 | BC003525 |
| 基因名称 | MAX |
| Gene ID (NCBI) | 4149 |
| RRID | AB_2141660 |
| 偶联类型 | Unconjugated |
| 形式 | Liquid |
| 纯化方式 | Antigen affinity purification |
| UNIPROT ID | P61244 |
| 储存缓冲液 | PBS with 0.02% sodium azide and 50% glycerol, pH 7.3. |
| 储存条件 | Store at -20°C. Stable for one year after shipment. Aliquoting is unnecessary for -20oC storage. |
背景介绍
Max, a member of MAX family, contains a basic helix-loop-helix (bHLH) domain, is a transcription regulator. MAX can form a sequence-specific DNA-binding protein complex with MYC or MAD which recognizes the core sequence 5'-CAC[GA]TG-3'. The MYC-MAX complex is a transcriptional activator, while the MAD-MAX complex is a repressor. MAX could dimerizated with another bHLH protein to form a heterodimer, such MYC or MAD. Thus bands recognized by this antibody much larger than predicted.
实验方案
| Product Specific Protocols | |
|---|---|
| IP protocol for MAX antibody 10426-1-AP | Download protocol |
| WB protocol for MAX antibody 10426-1-AP | Download protocol |
| Standard Protocols | |
|---|---|
| Click here to view our Standard Protocols |
发表文章
| Species | Application | Title |
|---|---|---|
Cancer Cell MAX Functions as a Tumor Suppressor and Rewires Metabolism in Small Cell Lung Cancer.
| ||
Sci Adv A MYC inhibitor selectively alters the MYC and MAX cistromes and modulates the epigenomic landscape to regulate target gene expression. | ||
Sci Adv AKR1B10 dictates c-Myc stability to suppress colorectal cancer metastasis via PP2A nitration | ||
Nat Commun PCGF6 controls neuroectoderm specification of human pluripotent stem cells by activating SOX2 expression. | ||
Cell Death Dis NKD1 enhances colon cancer progression by inhibiting the autophagic degradation of MYC | ||
Elife Loss of MGA repression mediated by an atypical polycomb complex promotes tumor progression and invasiveness. |




